Research Article | Volume 12, Issue 1, January, 2024

Toxicity and safety profiling of Flacourtia jangomas (Lour.) Raeusch fruit and leaf methanolic extract in Sprague Dawley rats

Akshaya Pai K. Chandrakala Shenoy   

Open Access   

Published:  Dec 26, 2023

DOI: 10.7324/JABB.2024.152315
Abstract

Flacourtia jangomas (Lour.) Raeusch is a fruit plant that belongs to the Salicaceae family and is generally known as the Indian plum. F. jangomas has been explored for the curing of various diseases. The present study intended to evaluate the safety profiling of F. jangomas fruit (FJF) and leaf (FJL) methanolic extract at a single-dose oral administration of 50 mg/kg body weight (b.wt), 300 mg/kg b.wt, and 2000 mg/kg b.wt in Sprague Dawley rats. Behavioural patterns, signs, body weight, water, and feed consumption of rats were observed throughout the 14-day study period. At the end of the study, the parameters such as hematological and biochemical were evaluated. Further, the architecture and histology of the organs (heart, kidney, liver, and lung) were also observed. The study revealed that the methanolic extract of FJF and FJL did not cause any mortality up to 2000 mg/kg b.wt. No significant variations were found in the haematological and biochemical parameters of all treated groups when compared to the control group. In addition, histological changes were not detected in the heart, kidney, liver, and lung of the treated groups. Overall, there were neither any toxicity signs nor deaths were noticed during the study period. The oral administration of methanolic extract of FJF and FJL did not have any toxic effect in rats. Hence, it could be considered safe to use for further exploring the medicinal value of this plant.


Keyword:     Flacourtia jangomas Sprague Dawley rats Histology Toxicity


Citation:

Pai A, Chandrakala Shenoy K. Toxicity and safety profiling of Flacourtia jangomas (Lour.) Raeusch fruit and leaf methanolic extract in Sprague Dawley rats. J App Biol Biotech. 2024;12(1):258-264. http://doi.org/10.7324/JABB.2024.152315

Copyright: Author(s). This is an Open Access article distributed under the terms of the Creative Commons Attribution-NonCommercial-ShareAlike license.

HTML Full Text

1. INTRODUCTION

Plants have been used widely for curing various ailments from ancient periods. Plants contain a wide variety of chemical compounds, many of which can have both positive and negative effects on living organisms, including humans. It is very much mandatory to scientifically validate the safety and efficacy of any plant before using it for medicinal purposes [1].

Flacourtia jangomas (Lour.) Raeusch (Salicaceae) locally known as Paniala or Indian plum [2]. F. jangomas possess alternate, spirally arranged, pale pink (young) leaves, and subglobose and dark red (ripen) fruit. F. jangomas possess fungicidal, bactericidal, antihyperglycemic, antidiarrheal, analgesic, antioxidant, cytotoxic activity [3], and hepatoprotective activity [2].

Toxicity studies help to know the toxic dose, and whether the plant is safe to use. These toxicity studies were carried out as per the Organization for Economic Cooperation and Development (OECD) guidelines [4]. An acute toxicity test is to determine the detrimental effects of the drug (single dose) within 14 days of administration, that is, short-term exposure [5].

It is important to note that while many plant compounds have shown promising medicinal properties, further research and clinical trials are often necessary to determine their safety and effectiveness for human use. Hence, the present study aims to evaluate the safety profiling of F. jangomas fruit and leaf methanolic extract in in vivo model using female Sprague Dawley (SD) rats using acute oral toxicity.


2. MATERIALS AND METHODS

2.1. Plant Material and Extraction

F. jangomas plant was authenticated (Accession number KUBH10169) and deposited in the herbarium, Department of Botany, University of Kerala. The fruits and leaves of F. jangomas were collected, shade dried, powdered, and extracted in methanol using Soxhlet apparatus [6]. Excessive solvent was removed by solvent distillation apparatus and residue was concentrated using a rotary evaporator. Moreover, the residue extract was dried.

The percentage yield was obtained using dry weight from the equation. Percentage yield of extract = (W1 × 100)/W2, where W1 is the weight of the extract residue after solvent removal and W2 is the weight of dried plant powder.

2.2. Experimental Animal

An 8–10-week-old female SD rats with a weight range of 160–250 g were used in the study. The rats were caged and acclimatized for a week before the study period. Animals were maintained as per CPCSEA guidelines at temperatures of 20–22°C with a Humidity of 46–69% under 12 h dark and 12 h light cycles. The rats were fed with a standard diet (AMRUT Laboratory Animal Feed manufactured by Pranav Agro Industries Limited, Sangli) and water ad libitum. The study protocol was approved by the Institute Research and Ethics Committee, Skanda Life Sciences (Organization), Bangalore (IAEC-SLS2021-037).

2.3. Acute Oral Toxicity Studies

The acute oral toxicity study was conducted according to OECD guideline 423 on SD rats (160–250 g). All the animals were kept overnight fasting for 12 h before the experiment with water ad libitum. The animals were equally distributed into seven groups of five animals per group. The first group served as a control and was administered with vehicle (0.5% CMC) orally, while the second to the seventh group was considered as the test group that received a methanolic extract of F. jangomas (Lour.) Raeusch leaf and fruit extracts. Group II, III, and IV received the FJF orally at a dose of 50, 300, and 2000 mg/kg body weight (b.wt), respectively, and Group V, VI, and VII received the FJL orally at a dose of 50, 300, and 2000 mg/kg b.wt, respectively. The study was performed for about 14 days.

2.4. Mortality, Body Weight, Feed, and Water Consumption in Acute Toxicity Studies

The animals were observed for toxic effects and mortality throughout the 14-day study period. The body weight of all the animals was recorded on day 1, day 7, and day 14. The average feed and water intake of rats were also recorded in 1st week and 2nd weeks.

2.5. Hematological and Biochemical Parameters Evaluated in Acute Toxicity Studies

On day 15th, all animals were anesthetized with ketamine (ketamine (40 mg/kg b.wt) and xylazine (4.5 mg/kg b.wt) i.p. injection), and blood samples were collected by retro-orbital plexus. The EDTA-coated vials were used for the collection of blood samples for blood biochemistry. The estimation of hematological parameters was performed using Erba transasia; H360 and various serum biochemistry tests were performed using Erba, Chem5X. In concern to hematology, hemoglobin, white blood cells, neutrophils, lymphocytes, eosinophils, platelet, red blood cells, packed cell volume, mean corpuscular volume, mean corpuscular hemoglobin, and mean corpuscular hemoglobin concentration were analyzed. For analysis of biochemical markers, serum was prepared. Liver function parameters (total bilirubin, total protein, serum albumin, serum globulin, albumin-globulin ratio, aspartate aminotransferase, alanine aminotransferase, and alkaline phosphatase), and kidney function parameters (serum creatinine, blood urea nitrogen) were assessed.

2.6. Histopathological Examination

The animals were humanely sacrificed using an overdose of sodium thiopental (250 mg/kg b.wt, i.p. injection) and subjected to gross necropsy. The heart, kidney, liver, and lungs were collected and preserved in 10% of neutral buffer formalin for histopathological examination. The heart, kidney, liver and lungs specimens were embedded in paraffin wax; sections of 5-micron thickness were stained with hematoxylin and eosin (H & E) and examined for pathological changes using light microscope under 40X.

2.7. Statistical Analysis

The results of acute oral toxicity studies were expressed as the mean ± standard deviation (SD). One-way analysis of variance (ANOVA) followed by Dunnet’s multiple comparison tests (P < 0.05) was used for the analysis of data statistically (GraphPad Instat Software).


3. RESULTS

3.1. Extractive Yield

Extractive yield of F. jangomas fruit and leaf extract was found to be 76.11% and 19.22 %, respectively.

3.2. Effect of Extract on Mortality

There was no mortality or detrimental signs spotted in rats during 14 days of observation following oral route administration of FJF and FJL [Table 1].

Table 1: Toxicity signs and mortality in rats during 14-day observation period in acute oral toxicity study of F. jangomas fruit and leaf extract.

GroupTreatment and doseDay 1–7Day 8–14Mortality
G - INormal controlNADNADNil
G - IIFJF (50 mg/kg b.wt)NADNADNil
G - IIIFJF (300 mg/kg b.wt)NADNADNil
G - IVFJF (2000 mg/kg b.wt)NADNADNil
G - VFJL (50 mg/kg b.wt)NADNADNil
G - VIFJL (300 mg/kg b.wt)NADNADNil
G - VIIFJL (2000 mg/kg b.wt)NADNADNil

The NAD indicates no abnormality detected (n=5). FJF: F. jangomas fruit extract, FJL: F. jangomas leaf extract.

3.3. Effect of Extract on Body Weight, Feed, and Water Consumption

The body weight of all the animals in the treated groups showed an increase on 14th day of the study period when compared to the control group; although the gain in body weight was not statistically significant [Table 2]. Feed and water consumption were increased in week 2 when compared to week 1 in both treated and control groups [Table 3].

Table 2: Body weight of rats in acute oral toxicity study of F. jangomas fruit and leaf extract.

GroupTreatment and doseDay 1Day 7Day 14
G - INormal Control183.32±31.66188.84±27.48183.44±28.62
G - IIFJF (50 mg/kg b.wt)182.78±31.92193.12±29.87190.12±30.02ns
G - IIIFJF (300 mg/kg b.wt)183.04±30.94186.84±31.32186.56±30.98ns
G - IVFJF (2000 mg/kg b.wt)182.5±26.08193.9±28.92194.96±27.57ns
G - VFJL (50 mg/kg b.wt)182.34±26.03187.08±25.73187.18±23.88ns
G - VIFJL (300 mg/kg b.wt)182.42±31.44187.1±33.56190.42±30.78ns
G - VIIFJL (2000 mg/kg b.wt)182.56±33.72193.36±30.49185.72±39.29ns

Values are expressed as the mean±standard deviation (n=5). No significant change compared with the control (P>0.05, Dunnett’s multiple comparison test). ns: Non-significant, FJF: F. jangomas fruit extract, FJL: F. jangomas leaf extract.

Table 3: Weekly average feed and water consumption in rats in acute oral toxicity study of F. jangomas fruit and leaf extract.

GroupTreatment and doseFeed consumption (g/rat/day)Water consumption (ml/rat/day)


Day 1–7Day 8–14Day 1–7Day 8–14
G - INormal control10.1115.1811.8623.00
G - IIFJF (50 mg/kg b.wt)9.6715.2715.7122.71
G - IIIFJF (300 mg/kg b.wt)10.1015.9614.7123.29
G - IVFJF (2000 mg/kg b.wt)11.7917.7913.4324.43
G - VFJL (50 mg/kg b.wt)10.6215.4915.4319.86
G - VIFJL (300 mg/kg b.wt)12.116.1017.0022.29
G - VIIFJL (2000 mg/kg b.wt)9.517.2211.0016.71

Values are average feed consumption in grams per rat per day and average water consumption in ml per rat per day. FJF: F. jangomas fruit extract, FJL: F. jangomas leaf extract.

3.4. Effect of Extract on Hematological Parameters

The study reveals that the outcome of the control and treated groups shows no significant difference in hematological parameters [Figure 1].

Figure 1: Hematological parameters measured at the end of acute toxicity study of F. jangomas fruit and leaf extract. (a) Hemoglobin (gm %), (b) White blood cells (×103/cumm), (c) Neutrophils (%), (d) Lymphocyte (%), (e) Eosinophil (%), (f) Platelet (Lakhs/cumm), (g) Red blood cells (mill/cumm), (h) Packed cell volume (%), (i) Mean corpuscular volume (fl), (j) Mean corpuscular hemoglobin (pg), (k) Mean corpuscular hemoglobin concentration (%), (G I) Normal control, (G II) FJF (50 mg/kg b.wt), (G III) FJF(300 mg/kg b.wt), (G IV) FJF(2000 mg/kg b.wt), (G V) FJL (50 mg/kg b.wt), (G VI) FJL(300 mg/kg b.wt), (G VII) FJL(2000 mg/kg b.wt). FJF: F. jangomas fruit extract, FJL: F. jangomas leaf extract. Values are expressed as the mean ± standard deviation (n = 5), P > 0.05, and no significant change compared with the control (one-way ANOVA followed by Dunnet’s multiple comparison tests).



[Click here to view]

3.5. Effect of Extract on Biochemical Parameters

Figure 2 shows the biochemical markers of the rats. The treated groups did not manifest unusual values when compared to the control groups, that is, no significant difference was observed and the values were coming under the normal range [7].

Figure 2: Biochemical parameters measured at the end of acute toxicity study of F. jangomas fruit and leaf extract. (a) Total bilirubin, (b) Total protein, (c) Serum albumin, (d) Serum globulin, (e) Albumin-Globulin ratio, (f) Aspartate aminotransferase, (g) Alanine aminotransferase, (h) Alkaline phosphatase, (i) Serum creatinine, (j) Blood urea nitrogen, (G I) Normal control, (G II) FJF (50 mg/kg b.wt), (G III) FJF(300 mg/kg b.wt), (G IV) FJF(2000 mg/kg b.wt), (G V) FJL (50 mg/kg b.wt), (G VI) FJL(300 mg/kg b.wt), (G VII) FJL (2000 mg/kg b.wt). FJF: F. jangomas fruit extract, FJL: F. jangomas leaf extract. Values are expressed as the mean ± standard deviation (n = 5), P > 0.05, and no significant change compared with the control (one-way ANOVA followed by Dunnet’s multiple comparison tests).



[Click here to view]

3.6. Effect of Extract on Histopathological Change

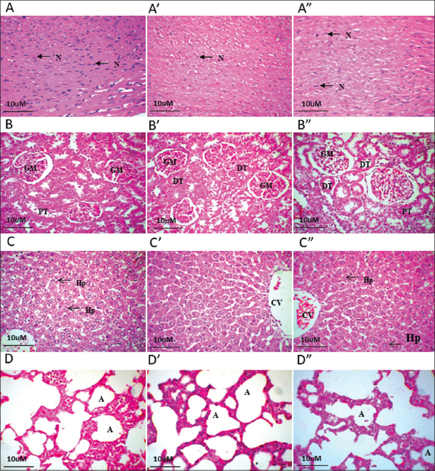
Figure 3 shows the histopathological results of organs (heart, kidney, liver, and lung) investigated in this study. There were no histopathological abnormalities detected in the heart, kidneys, liver, and lungs in all animal groups.

Figure 3: Histopathologic results of sections of the heart (A, A’, A”), kidney (B, B’, B”), liver (C, C’, C”), and Lungs (D, D’, D”). A–D represented the results of the control group. A’- D’ represented the results of the FJF high-dose group (2000 mg/kg b.wt). A” –D” represented the results of the FJL high dose group (2000 mg/kg b.wt) (H and E 40×). N: Nucleus, GM: Glomeruli, DT: Distal tubule, PT: Proximal tubule, Hp: Hepatocytes, CV: Central vein, A: Alveoli.



[Click here to view]

3.7. Summary of the Results

Results are summarized diagrammatically [Figure 4] to highlight the relevant findings of the study.

Figure 4: Diagrammatic representation summarizing the results.



[Click here to view]

4. DISCUSSION

As primary healthcare, about 80% of the overall population in the world depends on herbal medicine. Moreover, more than 25% of the medication available in markets are from plant origin. A toxicity study helps to know whether the product is safe and to ensure whether the product can be used for the medication [8].

The present investigation was performed to assess the toxicity of F. jangomas leaf and fruit extract on female SD rats. Toxicity signs such as behavioral patterns and mortality in both FJL, FJF treated groups, and control groups were studied and results did not show any changes in behavioral pattern and mortality. Hence, FJL and FJF can be classified into category 5 with LD50 value more than 2000 mg/kg b.wt. as per the OECD 423 guidelines [9].

Further adverse effect was studied by evaluating body weight; feed and water consumption; hematological and biochemical parameters, and histopathological changes. Results indicated no adverse effect on rats in treated and control groups. Our findings on acute oral toxicity studies showed similarity with previous toxicity studies of Flacourtia species. F. jangomas leaf and stem (1:1) methanolic had no adverse effect on albino Wistar rats [10] according to OECD guideline 425. Acute oral toxicity tests of petroleum ether leaf extract of F. indica indicated a 1750 mg/kg tolerance limit in mice [11], and methanolic leaf extract of F. montana had no toxic effect at dose 2000 mg/kg in rats [12].

Body weight, feed, and water consumption are measured to ensure the safety of the extract as proper intake of water and feed are important to maintain the body weight and health status of rats [13]. The results of body weight and dietary intake revealed that the treated groups were similar to the control groups. The food intake and water consumption also were not affected by the administration of FJF and FJL extracts. The extracts did not cause appetite suppression or have deleterious effects, suggesting that no harmful or negative effects on the body’s metabolism of carbohydrates, proteins, or fats. This implies that the extracts did not disrupt the normal processes involved in the breakdown, utilization, and storage of these macronutrients [14]. Blood act as the carrier for the transport of drugs and other molecules to different parts of the body. An appropriate amount of blood cells is required for normal functioning in animals as well as in humans. Any toxic compounds that reach the body are exposed to blood primarily and these toxic compounds can alter the growth and development of blood components; hence, hematological parameters help to ascertain the toxicity by measuring the blood cells [1].

By examining blood parameters, such as complete blood count (CBC), hemoglobin levels, red blood cell counts and white blood cell counts, platelet count, and other relevant markers, researchers can identify any alterations or abnormalities in the hematopoietic system caused by the tested substances. Changes in these parameters can indicate potential toxic effects on blood cells, bone marrow, or other components of the hematopoietic system. While such findings in animal models cannot be directly extrapolated to humans, they provide valuable information for evaluating the relative risk and potential impacts in humans. These data, along with other toxicity endpoints and additional studies, help inform the overall safety assessment of drugs or chemicals [15]. The results of the hematological parameters of the rats did not show statistically significant differences when compared to the control group. Hence, the FJL and FJF extracts may not have any harmful effects on bone marrow function. This justifies the fact that all doses of F. jangomas leaf and fruit extract used in this study do not induce any significant alterations in hematological profile, making it safe for therapeutic applications.

The kidneys and liver are among the primary organs that can exhibit toxicity symptoms when exposed to toxic substances. The functionality of the liver and kidney can be assessed by biochemical tests. Monitoring specific biomarkers can help assess the potential damage to these organs. Urea and creatinine are commonly used as biomarkers to evaluate kidney function and detect kidney lesions. Urea is a waste product produced by the liver and eliminated through the kidneys, while creatinine is a waste product generated by muscle metabolism and excreted through the kidneys. Elevated levels of urea and creatinine in the blood can indicate impaired kidney function and suggest the presence of kidney damage or dysfunction.

Aminotransferases, such as alanine aminotransferase (ALT) and aspartate aminotransferase (AST), are enzymes primarily found in liver cells. When liver cells are damaged or undergo injury, ALT and AST can leak into the bloodstream, resulting in elevated levels. Therefore, measuring ALT and AST levels in the blood can serve as indicators of hepatic (liver) damage or dysfunction. Overall, monitoring biomarkers such as urea, creatinine, ALT, and AST can provide valuable insights into potential kidney and liver damage caused by toxic substances. These biomarkers, along with clinical observations and other diagnostic tests, contribute to a comprehensive evaluation of organ toxicity [16].

An increased or elevated level of these liver and kidney markers indicates hepatotoxicity and nephrotoxicity, respectively [17]. The liver enzymes provide information regarding cellular integrity, while total protein and albumin levels provide information regarding its functions [18]. In the present study, there was no significant difference in liver and kidney markers when compared to the control groups and the results were matching with the reference range shown in the previous studies [7]. All other biochemical parameters were not showed significant differences from the control group.

Histopathological results of the heart showed normal myocardial fiber in treated groups. Damaged muscle fibers nor signs of inflammation were not observed [Figure 3-A’, A”]. Kidney showed the normal distal and proximal tubules coated with a layer of cuboidal cells populated with eosinophils [Figure 3-B’, B”]. There were no abnormalities such as necrosis or inflammation observed in the liver section and hepatocytes were normal, sponge-like structures with rounded nuclei [Figure 3-C’, C”]. The lungs of the treated animals showed normal alveolar structure and there was no presence of alveolar septa thickening and dilated alveoli spaces [Figure 3-D’, D”] [17,19].


5. CONCLUSION

In light of observations of acute oral toxicity study, according to the physical observations, mortality, hematology, biochemical markers, and histopathological study confirms the safety and tolerability of F. jangomas methanolic leaf (FJL) and fruit (FJF) extract. There was an insignificant change in a few parameters in all treated groups when compared to the normal control. The LD50 of F. jangomas methanolic leaf (FJL) and fruit (FJF) extract is greater than 2,000 mg/kg b.wt (single dose) in SD rats. Hence, the results propose that the plant is non-toxic and safe for medicinal benefit. However, the drug can also be studied for chronic toxicity study to check the dose-time relationship of the drug that can be studied in the future.


6. ACKNOWLEDGMENT

The authors acknowledge the Department of Biosciences, Mangalore University, for providing DST-FIST and UGC-SAP supported laboratory facilities and Skanda life sciences, Bangalore for laboratory facilities. The authors acknowledge the Council of Scientific and Industrial Research University Grants Commission (CSIR-UGC), New Delhi, for financial assistance to perform this work.


7. AUTHORS’ CONTRIBUTIONS

All authors made considerable contributions to the concept and designing the study, data acquisition, analysis, and interpretation; drafted and revised the article critically; agreed to submit to the present journal; gave final confirmation of the version to be published; and agree to be responsible for all aspects of the work.


8. CONFLICTS OF INTEREST

The authors report no financial or any other conflicts of interest in this work.


9. ETHICAL APPROVALS

The study protocol was approved by the Institute Research and Ethics Committee, Skanda Life Sciences (Organization), Bangalore (IAEC-SLS2021-037).


10. DATA AVAILABILITY

All data are available in the manuscript.


11. PUBLISHER’S NOTE

This journal remains neutral with regard to jurisdictional claims in published institutional affiliation.

REFERENCES

1.  Al-Afifi NA, Alabsi AM, Bakri MM, Ramanathan A. Acute and sub-acute oral toxicity of Dracaena cinnabari resin methanol extract in rats. BMC Complement Altern Med 2018;18:50. [CrossRef]

2.  Pai A, Shenoy C. Hepatoprotective activity of Flacourtia jangomas (Lour.) Raeuschleaves and fruit methanolic extract on paracetamol-induced hepatotoxicity in HepG2 Cells. Biomedicine 2021a;41:587-91. [CrossRef]

3.  Sasi S, Anjum N, Tripati YC. Ethnomedicinal, phytochemical and pharmacological aspects of Flacourtia jangomas:A review. Int J Pharm Pharm Sci 2018;10:9-15. [CrossRef]

4.  Balijepalli MK, Suppaiah V, Chin AM, Buru AS, Sagineedu SR, Pichika MR. Acute oral toxicity studies of Swietenia macrophylla seeds in Sprague Dawley rats. Pharmacognosy Res 2015;7:38-44. [CrossRef]

5.  Alelign T, Chalchisa D, Fekadu N, Solomon D, Sisay T, Debella A, et al. Evaluation of acute and sub-acute toxicity of selected traditional antiurolithiatic medicinal plant extracts in Wistar Albino Rats. Toxicol Rep 2020;7:1356-65. [CrossRef]

6.  Pai A, Shenoy C. Physicochemical and phytochemical analysis of methanolic extract of leaves and fruits of Flacourtia Jangomas (Lour.) Raeusch. Int J Pharm Sci Res 2021b;12:1671-8.

7.  Delwatta SL, Gunatilake M, Baumans V, Seneviratne MD, Dissanayaka ML, Batagoda SS, et al. Reference values for selected hematological, biochemical and physiological parameters of Sprague-Dawley rats at the Animal House, Faculty of Medicine, University of Colombo, Sri Lanka. Animal Model Exp Med 2018;1:250-4. [CrossRef]

8.  Abdulhafiz F, Reduan MF, Hamzah Z, Kari ZA, Dawood MA, Mohammed A. Acute oral toxicity assessment and anti-hyperuricemic activity of Alocasia longiloba extracts on Sprague-Dawley rats. Saudi J Biol Sci 2022;29:3184-93. [CrossRef]

9.  Bedi O, Krishan P. Investigations on acute oral toxicity studies of purpurin by application of OECD guideline 423 in rodents. Naunyn Schmiedebergs Arch Pharmacol 2020;393:565-71. [CrossRef]

10.  Singh AK, Singh J, George M, Joseph L. Anti-diabetic effect of Flacourtia jangomas extract in alloxan-induced diabetic rats. Pharmacologyonline 2010;2:253-9.

11.  Patro SK, Behera P, Kumar PM, Sasmal D, Padhy RK. Pharmacological review of Flacourtia sepiaria (Ruxb.). Sch Acad J Pharm 2013;2:89-93.

12.  Sindhu K, Sujith S, Shynu M, Rani SS, Juliet S, Nair D. Anti-hyperglycemic activity of methanolic extract of Flacourtia montana in streptozotocin induced diabetic rats. Pharm Innov 2018;7:22-7.

13.  Aamir K, Khan HU, Hossain CF, Afrin MR, Shaik I, Salleh N, et al. Oral toxicity of arjunolic acid on hematological, biochemical and histopathological investigations in female Sprague Dawley rats. PeerJ 2019;7:e8045. [CrossRef]

14.  Jothy SL, Zakaria Z, Chen Y, Lau YL, Latha LY, Sasidharan S. Acute oral toxicity of methanolic seed extract of Cassia Fistula in mice. Molecules 2011;16:5268-82. [CrossRef]

15.  Kasthuri OR, Ramesh B. Toxicity studies on leaf extracts of Alternanthera brasiliana (L.) Kuntze and Alternanthera bettzickiana (Regel) voss. J Appl Pharm Sci 2018;8:82-9. [CrossRef]

16.  Da Silva AR, Lopes LQ, Cassanego GB, de Jesus PR, Figueredo KC, Santos RC, et al. Acute toxicity and antimicrobial activity of leaf tincture Baccharis trimera (less). Biomed J 2018;41:194-201. [CrossRef]

17.  Khoo LW, Kow AS, Maulidiani M, Lee MT, Tan CP, Shaari K, et al. Hematological, biochemical, histopathological and ¹H-NMR metabolomics application in acute toxicity evaluation of Clinacanthus nutans water leaf extract. Molecules 2018;23:2172. [CrossRef]

18.  Ugwah-Oguejiofor CJ, Okoli CO, Ugwah MO, Umaru ML, Ogbulie CS, Mshelia HE, et al. Acute and sub-acute toxicity of aqueous extract of aerial parts of Caralluma dalzielii N. E. Brown in mice and rats. Heliyon 2019;5:e01179. [CrossRef]

19.  Zohdi RM, Mukhtar SM, Kaharudin FA, Hamid KA, Sidek HM, Rasol NE, et al. Acute oral toxicity study of root methanol extract of Goniothalamus lanceolatus Miq. and its isolated bioactive compound (Parvistone D) in murine model. Malays Appl Biol 2022;51:77-86. [CrossRef]

Reference

1. Al-Afifi NA, Alabsi AM, Bakri MM, Ramanathan A. Acute and sub-acute oral toxicity of Dracaena cinnabari resin methanol extract in rats. BMC Complement Altern Med 2018;18:50. https://doi.org/10.1186/s12906-018-2110-3

2. Pai A, Shenoy C. Hepatoprotective activity of Flacourtia jangomas (Lour.) Raeuschleaves and fruit methanolic extract on paracetamol- induced hepatotoxicity in HepG2 Cells. Biomedicine 2021a;41:587-91. https://doi.org/10.51248/.v41i3.1197

3. Sasi S, Anjum N, Tripati YC. Ethnomedicinal, phytochemical and pharmacological aspects of Flacourtia jangomas: A review. Int J Pharm Pharm Sci 2018;10:9-15. https://doi.org/10.22159/ijpps.2018v10i3.23998

4. Balijepalli MK, Suppaiah V, Chin AM, Buru AS, Sagineedu SR, Pichika MR. Acute oral toxicity studies of Swietenia macrophylla seeds in Sprague Dawley rats. Pharmacognosy Res 2015;7:38-44. https://doi.org/10.4103/0974-8490.147197

5. Alelign T, Chalchisa D, Fekadu N, Solomon D, Sisay T, Debella A, et al. Evaluation of acute and sub-acute toxicity of selected traditional antiurolithiatic medicinal plant extracts in Wistar Albino Rats. Toxicol Rep 2020;7:1356-65. https://doi.org/10.1016/j.toxrep.2020.10.001

6. Pai A, Shenoy C. Physicochemical and phytochemical analysis of methanolic extract of leaves and fruits of Flacourtia Jangomas (Lour.) Raeusch. Int J Pharm Sci Res 2021b;12:1671-8.

7. Delwatta SL, Gunatilake M, Baumans V, Seneviratne MD, Dissanayaka ML, Batagoda SS, et al. Reference values for selected hematological, biochemical and physiological parameters of Sprague- Dawley rats at the Animal House, Faculty of Medicine, University of Colombo, Sri Lanka. Animal Model Exp Med 2018;1:250-4. https://doi.org/10.1002/ame2.12041

8. Abdulhafiz F, Reduan MF, Hamzah Z, Kari ZA, Dawood MA, Mohammed A. Acute oral toxicity assessment and anti-hyperuricemic activity of Alocasia longiloba extracts on Sprague-Dawley rats. Saudi J Biol Sci 2022;29:3184-93. https://doi.org/10.1016/j.sjbs.2022.01.050

9. Bedi O, Krishan P. Investigations on acute oral toxicity studies of purpurin by application of OECD guideline 423 in rodents. Naunyn Schmiedebergs Arch Pharmacol 2020;393:565-71. https://doi.org/10.1007/s00210-019-01742-y

10. Singh AK, Singh J, George M, Joseph L. Anti-diabetic effect of Flacourtia jangomas extract in alloxan-induced diabetic rats. Pharmacologyonline 2010;2:253-9.

11. Patro SK, Behera P, Kumar PM, Sasmal D, Padhy RK. Pharmacological review of Flacourtia sepiaria (Ruxb.). Sch Acad J Pharm 2013;2:89-93.

12. Sindhu K, Sujith S, Shynu M, Rani SS, Juliet S, Nair D. Anti-hyperglycemic activity of methanolic extract of Flacourtia montana in streptozotocin induced diabetic rats. Pharm Innov 2018;7:22-7.

13. Aamir K, Khan HU, Hossain CF, Afrin MR, Shaik I, Salleh N, et al. Oral toxicity of arjunolic acid on hematological, biochemical and histopathological investigations in female Sprague Dawley rats. PeerJ 2019;7:e8045. https://doi.org/10.7717/peerj.8045

14. Jothy SL, Zakaria Z, Chen Y, Lau YL, Latha LY, Sasidharan S. Acute oral toxicity of methanolic seed extract of Cassia Fistula in mice. Molecules 2011;16:5268-82. https://doi.org/10.3390/molecules16065268

15. Kasthuri OR, Ramesh B. Toxicity studies on leaf extracts of Alternanthera brasiliana (L.) Kuntze and Alternanthera bettzickiana (Regel) voss. J Appl Pharm Sci 2018;8:82-9. https://doi.org/10.7324/JAPS.2018.81011

16. Da Silva AR, Lopes LQ, Cassanego GB, de Jesus PR, Figueredo KC, Santos RC, et al. Acute toxicity and antimicrobial activity of leaf tincture Baccharis trimera (less). Biomed J 2018;41:194-201. https://doi.org/10.1016/j.bj.2018.04.006

17. Khoo LW, Kow AS, Maulidiani M, Lee MT, Tan CP, Shaari K, et al. Hematological, biochemical, histopathological and ¹H-NMR metabolomics application in acute toxicity evaluation of Clinacanthus nutans water leaf extract. Molecules 2018;23:2172. https://doi.org/10.3390/molecules23092172

18. Ugwah-Oguejiofor CJ, Okoli CO, Ugwah MO, Umaru ML, Ogbulie CS, Mshelia HE, et al. Acute and sub-acute toxicity of aqueous extract of aerial parts of Caralluma dalzielii N. E. Brown in mice and rats. Heliyon 2019;5:e01179. https://doi.org/10.1016/j.heliyon.2019.e01179

19. Zohdi RM, Mukhtar SM, Kaharudin FA, Hamid KA, Sidek HM, Rasol NE, et al. Acute oral toxicity study of root methanol extract of Goniothalamus lanceolatus Miq. and its isolated bioactive compound (Parvistone D) in murine model. Malays Appl Biol 2022;51:77-86. https://doi.org/10.55230/mabjournal.v51i2.2262

Article Metrics
421 Views 98 Downloads 519 Total

Year

Month

Related Search

By author names

Similar Articles

Acute toxicity evaluation of homeopathic preparation of Gymnema sylvestre and analysis of its chemical constituents

Avanish Shukla, Imtiaz Khalid Muhammed, Ravi Sheshala, Ibrahim Usman Mhaisker, Krishna Rampal

The effect of fresh stem juice extract of Costus afer on the cytohistomorphology of the kidney in aspirin-treated Wistar rats

Idorenyin U Umoh, AN Aquaisua, NM Udo

Comparative morphological, histological, and RAPD analysis of Columba livia domestica strains

Dalia A. Sabry, Yosra A. Fouda

A subchronic toxicity test of a combination of n-hexane and ethyl acetate fraction of rose myrtle leaves (Rhodomyrtus tomentosa [Ait.] Hassk) on male white rats

Salni Salni, Herlina Herlina, Aprila Purnamasari

Biodegradation potential of an estuarine bacterium Bacillus megaterium PNS 15 against an azo dye, Reactive Blue 194

Kandasamy Sivasubramani, Punamalai Ganesh, Paramasivam Sivagurunathan, Kasinathan Kolanjinathan, Hemalatha Raman

In silico studies of viral protein inhibitors of Marburg virus using phytochemicals from Andrographis paniculata

Ragupathy Hariprasath, Chandrasekar Akashpriya, Vasantha Veerappa Lakshmaiah, Nagella Praveen

Detrimental effects of microplastics in aquatic fauna on marine and freshwater environments – A comprehensive review

Irene Monica Jaikumar, Majesh Tomson, Manikantan Pappuswamy, Krishnakumar V, Anushka Shitut, Arun Meyyazhagan, Balamuralikrishnan Balasubramnaian, Vijaya Anand Arumugam

Multitargeted molecular docking study of phytochemicals on hepatocellular carcinoma

Vikas Jha, Anjali Bhosale, Prakruti Kapadia, Agraj Bhargava, Arpita Marick, Zahra Charania, Omkar Parulekar, Mafiz Shaikh, Bhakti Madaye