Research Article | Volume 11, Issue 2, March, 2023

Isolation and partial characterization of serine proteases from jellyfish of the Antarctic region

Nataliia Raksha Teyiana Halenova Tetiana Vovk Tetiana Beregova Tetiana Maievska Victor Tomchuk Olexiy Savchuk Ludmila Ostapchenko   

Open Access   

Published:  Jan 22, 2023

DOI: 10.7324/JABB.2023.110214
Abstract

The growing demand for industrial proteases and enzyme-containing products substantiates the search for cost-effective sources of enzymes. The aim of current research was to find a one-step approach for the isolation of the fraction of serine proteases from the jellyfish of the Antarctic region. Given our data, ion-exchange chromatography on diethylaminoethyl-sepharose carboxymethyl-sepharose was ineffective, in contrast to affinity chromatography on benzamidine-sepharose. The isolated fraction consists of enzymes with a molecular weight of more than 30 kDa and isoelectric points at pH = 3.0; 5.0–6.0 and pH = 9.0, which can break down gelatin, casein, and fibrinogen. The maximal proteolytic activity was found at pH = 12.0 and a temperature of +55°C. Serine proteases showed activity against the chromogenic substrate for trypsin and had no activity against substrates for chymotrypsin and elastase indicating that enzymes are trypsin-like proteases. The presence of enzymes with fibrino(geno)lytic activity and the ability of serine proteases from jellyfish to work at high pH and temperatures suggest their potential use as thrombolytics, as well as agents in the industries requiring a highly alkaline conditions.


Keyword:     Jellyfish The Antarctic region Serine proteases Isolation Biochemical characterization


Citation:

Raksha N, Halenova T, Vovk T, Beregova T, Maievska T, Tomchuk V, Savchuk O, Ostapchenko L. Isolation and partial characterization of serine proteases from jellyfish of the Antarctic region. J App Biol Biotech. 2023;11(2):144-150. https://doi.org/10.7324/JABB.2023.110214

Copyright: Author(s). This is an Open Access article distributed under the terms of the Creative Commons Attribution-NonCommercial-ShareAlike license.

HTML Full Text

1. INTRODUCTION

At present, proteases constitute a significant class of industrial enzymes that are actively used in various industries, as well as in medicine and pharmaceutical, and account for about 60% of the total enzyme sales in the world [1,2]. Among the proteases, serine enzymes are considered the most commercially attractive. These enzymes, due to their stability in a wide range of pH, ability to operate at high temperatures, and at high salinity conditions, find many applications in detergent, leather, and food industries [3]. Moreover, many serine proteases, namely, alkaline proteases, are resistant to the presence of detergents and toxic metals, which greatly expand the possibilities of their practical application. Although serine proteases can be isolated from various species, about 40% of industrial enzymes are produced by microorganisms, in particular bacteria [4]. However, increasing demand for industrial proteases and enzyme-containing products substantiates the search for additional cost-effective sources of enzymes. In this context, marine species, which make up about half of the world’s biodiversity, can be a huge source of enzymes. Industrial enzymes are very often obtained from the by-products of the fishing industry [5]. This significantly reduces the final cost of products and allows solving the problem of maximum processing and disposal of fish waste. Another source of enzymes can be non-commercial hydrobionts, the intensive distribution of which may affect human activity in marine areas.

Using non-industrial species of hydrobionts as sources of enzymes or proteins, it is possible to simultaneously solve two problems – to control their abundance and distribution, and also to obtain molecules that can be used in various industries. Over the past decade, there has been a sharp increase in the world population of jellyfish. Jellyfish blooming has a major impact on ecosystems and causes a range of social, economic, and public health problems.

Considering all of the above, the aim of the current research was to obtain the fraction of serine proteases from the jellyfish of the antarctic region and to characterize the obtained enzymes in the respect of their potential use in industry.


2. MATERIALS AND METHODS

2.1. Source of Serine Proteases

The fraction of serine proteases was isolated from jellyfish Diplulmaris antarctica. Wild jellyfishes were caught near the island Galindez of Argentine Islands archipelago. The material was collected by the Ukrainian Antarctic expedition. The hydrobiont was authenticated by the Department of Zoology and Ecology (ESC “Institute of Biology and Medicine” of Taras Shevchenko National University of Kyiv, Ukraine). The frozen mass of the jellyfish was weighed and powdered with in liquid nitrogen. The powder was dissolved in 50 mM Tris-HCl buffer pH = 7.4 with 1 mM EDTA, 0.25% sucrose, 0.5% Triton X-100 in a ratio of 1:2, w/v, and continuously stirred at +4ºC for 30 min. After that, the sample was centrifuged at 10,000 g for 30 min at +4ºC and the supernatant was lyophilized.

2.2. Serine Proteases Purification by Ion-Exchange Chromatography

The lyophilized jellyfish material (0.5 mg) was dissolved in 5 mL of 10 mM Tris-HCl buffer pH = 7.4 and 5 mL of 10 mM Tris-HCl buffer pH = 10.0 for the purification on diethylaminoethyl-sepharose (DEAE-sepharose) or in 5 mL of 10 mM glycine buffer pH = 5.0 for the purification on carboxymethyl-sepharose (CM-sepharose). After incubation (15 min, +4°C), the insoluble material was removed by centrifugation (10,000 g, 15 min, +4°C). The clear supernatant was applied to a DEAE-sepharose or CM-sepharose column previously equilibrated with the appropriate buffers. The bound fractions were eluted with the same buffers using step gradient NaCl – 25%, 40%, and 100% by monitoring the absorbance of protein at 280 nm. The samples were loaded and fractions were collected at a flow rate of 2 mL/min.

2.3. Serine Proteases Purification by Affinity Chromatography on Benzamidine-Sepharose Column

The lyophilized jellyfish material (0.5 mg) was dissolved in 5 mL of 10 mM Tris-HCl buffer pH = 8.0 with 0.13 M NaCl and incubated for 15 min at +4°C. After centrifugation (10,000 g, 15 min, +4°C), the supernatant was loaded on benzamidine-sepharose column previously equilibrated with the buffer. Elution of the bound material was carried out with 50 mM glycine buffer pH = 8.0 with 1 M NaCl. The sample was loaded and the fraction was collected at a flow rate of 2 mL/min. The materials from affinity and ion-exchange chromatography were applied to a size exclusion chromatography on Superdex G 25 column to remove of NaCl. The concentration of protein in the fractions was evaluated by the method [6].

2.4. Electrophoretic Methods

Sodium dodecyl sulfate polyacrylamide gel electrophoresis (SDS-PAGE) was performed in 10% polyacrylamide gel following the method of Laemmli [7]. The samples were heated at +95ºC for 1 min before electrophoresis. To calculate the molecular weight of proteins, a calibration kit (Bio Rad, USA) was used. The total amount of proteins loaded per lane was 20 mg.

Enzyme-electrophoresis was carried out as reported by Ostapchenko et al. [8]. The separating gel solution (15%) was polymerized in the presence of gelatin or fibrinogen (1 mg/mL). After electrophoresis, the gels were washed with 2.5% Triton X-100 for 1 h to remove SDS. To visualize active enzymes, the gels were kept for 12 h at +37°C in 50 mM Tris-HCl buffer pH = 7.5. The next day, the gels were stained with Coomassie Brilliant Blue R-250. Light areas on the dark background of the gel meant the presence of active enzymes.

2D-electrophoresis was carried out following the method [9]. The isoelectric focusing (IEF) was performed on Ettan IPGphor 2 IEF System with 7/24 cm Immobiline DryStrip Gels in gradient pH from 3.0 to 10.0. Before IEF, the IPG dry strip was rehydrated in DeSteak Rehydration Solution with IPG Buffer, pH = 3.0–10.0 for 12 h at +20ºC. After IEF, the strips were equilibrated in a two steps procedure: first in 0.37 M Tris-HCl buffer, pH 8.8 with 6 M urea, 2% sodium dodecyl sulfate, 20% glycerol, and 0.13 M dithiothreitol; further – in the same buffer, in which dithiothreitol was replaced by 0.13 M iodoacetamide. Electrophoresis, in the second dimension, was performed according to the method described above.

2.5. Proteolytic Activity Determination

The proteolytic activity was measured in the reaction with casein as described in the method [10]. Casein (2%) in 50 mM Tris-HCl buffer, pH = 7.4 with 0.13 M NaCl, was incubated with the fraction (50 mg of total protein) at +37°C for 30 min. The reaction was terminated by addition of 7% trichloroacetic acid. After 15 min, the samples were centrifuged (15,000, 30 min). The optical density was measured at 280 nm against the blank, in which the sample was replaced with the buffer. In each experiment (n = 6), all samples were tested in triplicate.

2.6. Chromogenic Assay

Activity against N-a-benzoyl-DL-Arg-p-nitroanilide (BApNA), Suc-(Ala)2-Pro-Phe-pNA, and Suc-Ala-Ala-Ala-pNA were measured according to the method [11]. Reaction mixture consisted of 50 mM Tris–HCl (pH = 9.0) and the sample (20 mg of total protein). The reaction was initiated by the addition of correspondent substrate (0.3 mM). Production of p-nitroanilide (pNA) was measured by monitoring the increment in at 405 nm every 60 s for 60 min. The amount of released pNA was calculated using molar extinction coefficient for pNA (8800 M-1·cm-1). In each experiment (n = 6), all samples were tested in triplicate.

2.7. Determination of Class Specificity of the Obtained Enzymes

Effect of soybean trypsin inhibitor (SBTI) on the enzyme activity in the obtained fraction was determined. The fractions were preincubated with SBTI (1 mg/mL) for 15 min at +4°C. After incubation, 2% casein was added to the reaction mixture, and residual enzyme activity was determined. Appropriate control (without the addition of inhibitor) was done in parallel. The percentage of inhibition was calculated as (1-[Vi/V0]) × 100, where Vi - the enzyme activity in the presence of SBTI and V0 – the enzyme activity without the addition of SBTI.

2.8. Determination of pH and Temperature Optimum

To determine the temperature optimum, the fraction of serine proteases was incubated at pH = 7.4 in 50 mM Tris-HCl buffer with 0.13 M NaCl at various temperatures (+4–80 °C) and the proteolytic activity was determined afterward using 2% casein as a substrate. The optimum pH was determined by monitoring enzyme activity at various pHs (from 2.0 to 13.0). The following buffer systems were used: 50 mM citric acid/sodium citrate (pH = 2.0–5.0); 50 mM Tris-HCl (pH = 6.0–8.0); and 50 mM glycine (pH = 9.0–13.0).

2.9. Statistical Analysis

The statistical analysis was performed using the Statistical Package for the Social Sciences (SPSS 11.0, 2001) software. The data were expressed as mean ± SD.


3. RESULTS AND DISCUSSION

Although serine proteases could be isolated from various sources, there are few reports on the purification of serine enzymes from marine organisms, in particular the hydrobionts of the Antarctic region. In general, the procedure of the isolation of enzymes consists of several steps that combine different approaches. However, in the present study, we sought to find an effective and time-saving one-step method for the isolation of the fraction enriched in serine proteases. Ion exchange and affinity chromatography were compared to find a more appropriate way to isolate serine proteases from jellyfish.

The first approach to isolate the fraction of serine protease included DEAE-sepharose ion-exchange chromatography. To find out the optimal parameters, the samples were loaded on a DEAE-sepharose column at pH 7.4 and 10.0. Elution was performed with step gradient at 25%, 40%, and 100% NaCl and three fractions were isolated. The presence of active enzymes was checked by enzyme-electrophoresis using gelatin as substrate. According to our results, the enzymatic activity against gelatin was found only in the fractions eluted with 25% NaCl [Figure 1a]. However, in the case of chromatography on DEAE-sepharose at pH = 7.4, the areas of hydrolysis were more pronounced and were located along the entire length of the track. The chromatography on DEAE-sepharose at pH = 10.0 has revealed the presence of active enzymes with a molecular weight of more than 45 kDa. Given our previous results on the presence in the tissues of hydrobionts of enzymes capable of cleaving fibrinogen [12], as well as the result of Bae et al. [13], which revealed a chymotrypsin-like serine protease with fibrinolytic activity in the venom of jellyfish, all obtained fractions were tested by enzyme-electrophoresis with fibrinogen. To date, the search for available sources of fibrino(geno)lytic enzymes is quite relevant. The literature review shows that enzymes with fibrino(geno)lytic activity may be promising agents for the treatment of pathologies associated with excessive thrombus formation. Our findings indicated the presence of fibrino(geno)lytic enzymes in the tissue of jellyfish, as evidenced by the clear area on the electropherogram of the lyophilized sample [Figure 1b]. According to the data of enzyme-electrophoresis, both fractions eluted with 25% NaCl contained proteins which possessed fibrino(geno)lytic activity. In addition, in the fraction eluted with 100% NaCl (chromatography on DEAE-sepharose at pH = 7.4), trace fibrino(geno)lytic activity was detected. Comparing the results of enzyme-electrophoresis using gelatin and fibrinogen as substrates, it can be concluded that not all enzymes presented in the fractions possess fibrino(geno)lytic activity. Only those whose molecular weight is about 60–70 kDa.

Figure 1: Enzyme-electrophoregrams of the fractions isolated by ion-exchange chromatography on diethylaminoethyl -sepharose at pH = 7.4 and pH = 10.0: (a) Gelatin as a substrate, (b) Fibrinogen as a substrate; ?1 and ?2 – Molecular weight markers; 1 – Primary sample; 2 – Unbound fraction; 3 – Fraction eluted with 25% NaCl; and 4 – Fraction eluted with 40% NaCl; 5 – Fraction eluted with 100% NaCl. The total amount of protein per well was 20 μg.



[Click here to view]

Then, the effectiveness of CM-sepharose ion-exchange chromatography for the isolation of serine proteases was also tested. The purified homogenate was loaded onto a column of CM-sepharose column in 10 mM glycine, pH = 5.0. Under these conditions, all proteins with isoelectric points below pH = 5.0 adsorbed to the functional groups of the carrier. At the stage of protein elution, a step gradient with the same buffer was applied. As a result, three protein fractions were separated. Following the established algorithm, all fractions were checked for the presence of active enzymes. As in the previous results, the enzyme-electrophoresis using gelatin as a substrate revealed the presence of active enzymes in the fraction eluted with 25% NaCl [Figure 2a]. Slight activity was also found in the fraction eluted with 100% NaCl. The applied method was not suitable to isolate enzymes capable of cleaving fibrinogen since no activity was detected when fibrinogen was used as a substrate in enzyme-electrophoresis.

Figure 2: Enzyme-electrophoregrams of the fractions isolated by ion-exchange chromatography on carboxymethyl-sepharose at pH = 5.0 using gelatin (a) and fibrinogen (b) as a substrate: ?1 and ?2 – Molecular weight markers; 1 – Primary sample; 2 – Unbound fraction; 3 – Fraction eluted with 25% NaCl; 4 – Fraction eluted with 40% NaCl; and 5 – Fraction eluted with 100% NaCl. The total amount of protein per well was 20 μg.



[Click here to view]

The effectiveness of the applied chromatographic approaches was also monitored by determining the proteolytic activity against casein for each fraction. As shown in Table 1, proteolytic activity was predominantly associated with fractions eluted with 25% NaCl. The highest activity of 22.34 ± 1.10 rel.units·(mg of protein)-1 was found in the fraction eluted from the CM-cellulose column with 25% NaCl. Comparing the results of determination of the proteolytic activity using casein with the results of enzyme-electrophoresis, some inconsistencies were revealed. Thus, in some fractions, despite the absence of areas of hydrolysis on electropherograms, the activity against casein was detected. This can be explained by the different substrate specificity of the enzymes – some of them can cleave casein, which, however, do not have activity against gelatin.

Table 1: Proteolytic activity in the fractions purified from the jellyfish of the Antarctic region by ion-exchange chromatography (M±m, n=6).

Obtained fractionCM-sepharose, pH=5.0DEAE-sepharose, pH=7.4DEAE-sepharose, pH=10.0
rel.units?(mg of protein)-1
Fraction eluted with 25% NaCl22.34±1.1013.27±0.5113.79±0.73
Fraction eluted with 40% NaCl19.82±0.920.27±0.010
Fraction eluted with 100% NaCl007.51±0.25

DEAE-sepharose: Diethylaminoethyl-sepharose, CM-sepharose: Carboxymethyl-sepharose.

In general, ion exchange chromatography is not a specific tool for the isolation of serine proteases since purification is based on the difference in the isoelectric points of the separated proteins, and not on the structural features of the active site of enzymes or specific interactions with ligands. Therefore, to check whether purified fractions include serine proteases, an analysis with SBTI, which is an inhibitor of serine proteases, particularly trypsin and other trypsin-like proteases, was done. The data obtained indicated that the fractions eluted with 25% NaCl consisted mainly of serine proteases since the degree of inhibition of proteolytic activity was the most pronounced. Thus, a serine-specific inhibitor of SBTI caused inhibition of enzyme activity by 40%, 25%, and 45% in fractions purified by CM-sepharose, pH = 5.0, DEAE-sepharose, pH = 7.4 and DEAE-sepharose, and pH = 10.0, respectively [Table 2]. It should be noted that the absence of complete inhibition of proteolytic activity means the presence in the fractions of enzymes other than serine proteases. The % of inhibition in the fractions eluted with 40% NaCl (for CM-sepharose, pH = 5.0 and DEAE-sepharose, pH = 7.4) and 100% NaCl (for DEAE-sepharose, pH = 10.0) was not sufficient to consider these fractions enriched in serine proteases.

Table 2: Effect of inhibitor SBTI on the enzymatic activity in the fractions purified from jellyfish of the Antarctic region by ion-exchange chromatography (M±m, n=6).

Obtained fractionCM-sepharose, pH=5.0DEAE-sepharose, pH=7.4DEAE-sepharose, pH=10.0

Residual activity, %
Fraction eluted with 25% NaCl60±3.075±3.555±2.5
Fraction eluted with 40% NaCl85±3.095±4.5100±4.5
Fraction eluted with 100% NaCl100±4.5100±4.585±2.5

DEAE-sepharose: Diethylaminoethyl-sepharose, CM-sepharose: Carboxymethyl-sepharose, SBTI: Soybean trypsin inhibitor

Taking into account the results of this stage, it was reasonable to apply a more specific method for purification of the serine protease fraction from tissue of jellyfish. For this, affinity chromatography was chosen. Due to the high selectivity for trypsin and trypsin-like enzymes, the affinity sorbent benzamidine sepharose is widely used for the purification of serine proteases. The elution profile of the serine proteases from benzamidine-sepharose column is shown in Figure 3a. On the SDS-PAGE electropherogram [Figure 3b], the isolated fraction consisted of several protein bands with molecular weights in the region of 14–90 kDa; the most pronounced bands had a molecular weight of 45 and 30 kDa. Enzyme-electrophoresis assay using gelatin as substrate revealed a complex profile of serine proteases. Considering the distribution of the areas of hydrolysis over the entire track, active enzymes of different molecular weight can be present in the isolated fraction [Figure 4a]. In the case of fibrinogen as a substrate, enzymatic activity was observed at region that correspond to high molecular weight proteins [Figure 4b]. It should be noted that most serine proteases have a molecular weight in the region of 30 kDa. However, the presence of enzymes with a molecular weight of 68 kDa and higher has also been reported [14,15].

Figure 3: Isolation of serine proteases from the jellyfish of the Antarctic region: (a) Chromatogram of the purification of serine proteases by affinity chromatography on benzamidine-sepharose column and (b) electropherogram of the isolated fraction: ? – Molecular weight markers; 1 – Unbound fraction and 2 – the fraction of serine proteases.



[Click here to view]
Figure 4: Enzyme-electrophoregrams of the fraction isolated by affinity chromatography on benzamidine-sepharose using: (a) Gelatin as a substrate; (b) Fibrinogen as a substrate; ?1 and ?2 – Molecular weight markers; 1 – The fraction of serine proteases. The total amount of protein per well was 20 μg.



[Click here to view]

The proteolytic activity using casein as substrate was also estimated. According to the data [Table 3], the proteolytic activity in the fraction purified by affinity chromatography was twice higher than that in the fractions obtained by ion-exchange chromatography on DEAE-sepharose and was the same as the activity in the fraction obtained by chromatography on CM-sepharose. In addition, chromogenic substrates specific for different types of serine proteases have been used to determine which type of proteases isolated from jellyfish are. The activity against BApNA, which is a substrate for trypsin or trypsine-like enzymes, was 126.0 ± 5.5 mmol pNA·(min·mg protein)-1. The enzymes have no specificity for Suc-(Ala)2-Pro-Phe-pNA and Suc-Ala-Ala-Ala-pNA that are substrates for chymotrypsin and elastase, respectively. Thus, the isolated fraction consists of trypsin-like serine proteases.

Table 3: Proteolytic activity and activity against chromogenic substrates for serine proteases in the fraction purified from the jellyfish of the Antarctic region by affinity chromatography (M±m, n=6).

Obtained fractionProteolytic activity, rel.units?(mg of protein)-1Activity against chromogenic substrates, mmol pNA?(min?mg protein)-1
BApNASuc-(Ala) 2-Pro-Phe-pNASuc-Ala-Ala-Ala-pNA
Purified fraction25.45±1.25126.0±5.5--

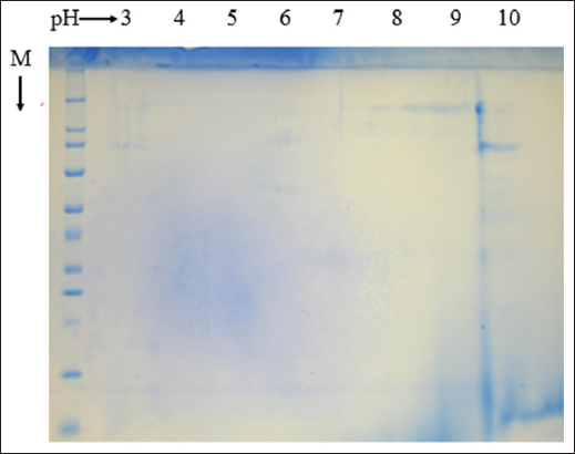
To further characterize the serine proteases from the jellyfish of the Antarctic region, 2D-electrophoresis was performed. As shown in Figure 5, the fraction eluted from benzamidine sepharose includes proteins with pI at pH = 3.0 (116 kDa and 66 kDa) and 5.0–6.0 (66 kDa and 50 kDa); however, most proteins have pI at 9.0 (116–14 kDa). This clearly indicates that proteins in the fraction of serine proteases presented by anionic, neutral, as well as alkali forms. At the same time, these data can explain an inefficiency of using ion-exchange chromatography as the main approach to obtain a fraction of serine proteases from the jellyfish of the Antarctic region. According to the literature data, the isoelectric points of the most common hydrolytic enzymes of hydrobionts, namely, trypsin-like enzymes, are in the range of acidic pH values [16,17]. In amphibians and birds, trypsins are represented by both acidic and alkaline proteins, but anionic trypsins predominate quantitatively. In contrast, mammalian trypsins and chymotrypsins, as well as microbial serine proteases, typically have isoelectric points at pH = 9.0–11.0.

Figure 5: 2D-electropherogram of the fraction of serine proteases purified from the jellyfish of the Antarctic region: ? – Molecular weight markers (200; 116; 97; 66; 55; 45; 36; 29; 24; 20; 14 and 6 kDa).



[Click here to view]

The influence of temperature on the activity of enzymes was investigated. The enzymes were found to remain activity from +5°C to +80°C [Figure 6a]. However, the highest activity was detected at +55ºC. This value was higher than that reported for canonical trypsin (+40°–45°C) or for enzymes of many psychrophilic organisms (+20–45°C). At the same time, temperature optimum for serine proteases isolated from the jellyfish of the Antarctic region coincided with the temperature optimum for other hydrobionts of this region, namely, the red king crab Paralithodes camtschatica and the Antarctic krill Euphausia superba [18,19]. The serine proteases isolated from the jellyfish of the Antarctic region were found to be active at pH = 5–13; however, the maximum enzymatic activity was detected at pH = 12.0. At this pH value, enzymes activity was two times higher than at pH = 5.0–11.0. It has been established that serine proteases isolated from the jellyfish of the Antarctic region were active in the pH range from 5 to 13; however, maximum enzymatic activity was detected at pH = 12.0. At this pH value, the enzyme activity was two times higher than at pH = 5.0–11.0. The data on the highest enzymatic activity at extremely alkaline pH values allow us to consider jellyfish serine proteases as alkaline proteases. In general, the main source of alkaline enzymes are microorganisms, especially bacteria and fungi. According to the literature data, the optimal pH for alkaline proteases of various species of Bacillus sp. is within pH = 10.0–11.0; however, for some organisms, this value is even in around 12.0–13.0 [20].

Figure 6: Temperature (a) and pH (b) optimum of serine proteases from the jellyfish of the Antarctic region. Each symbol represents the mean of three replicates (n = 6). Vertical bars indicate standard errors of the means.



[Click here to view]

Taking into account obtained results, the effectiveness of serine proteases isolated from jellyfish was studied under the condition of their long-term incubation at acidic, neutral, and strongly alkaline pHs. The enzyme-electrophoretic analysis using gelatin as a substrate revealed that serine proteases from jellyfish maintain their activity at all pH values; however, the highest degree of hydrolysis was observed at pH = 12.0 [Figure 7].

Figure 7: The proteolytic activities of serine proteases from the jellyfish of the Antarctic region after long-term incubation at different pH. The total amount of protein per well was 5 μg.



[Click here to view]

4. CONCLUSION

In this work, several chromatographic approaches were tested to find the effective and time-saving method for the purification of serine proteases from the jellyfish of the Antarctic region. Taking into account obtained results on the distribution of trypsin-like activity among all isolated fractions, both anionic- and cationic ion-exchange chromatography cannot be recommended as an excellent tool for the isolation of serine proteases. The serine enzymes from the jellyfish of the Antarctic region was isolated by affinity chromatography on benzamidine-sepharose. The fraction consists of enzymes with a molecular weight of more than 30 kDa and isoelectric points at pH = 3.0; 5.0–6.0, and pH = 9.0. The jellyfish serine proteases likely belong to the trypsin family; among them, some high-molecular weight enzymes exhibit fibrino(geno)lytic activity. This opens up prospects for the use of jellyfish serine proteases to create pharmaceuticals for the diagnosis and prevention of thrombotic complications. In addition, the enzymes showed the highest proteolytic activity at +55°C and pH = 12.0, which indicates the possibility of commercial use of jellyfish serine proteases in the industries requiring a highly alkaline conditions.


5. ACKNOWLEDGMENT

The authors express their sincere gratitude to the National Antarctic Scientific Center of the Ministry of Education and Science of Ukraine for providing material for study.


6. AUTHORS’ CONTRIBUTIONS

All authors made substantial contributions to conception and design, acquisition of data, or analysis and interpretation of data; took part in drafting the article or revising it critically for important intellectual content; agreed to submit to the current journal; gave final approval of the version to be published; and agreed to be accountable for all aspects of the work. All the authors are eligible to be an author as per the International Committee of Medical Journal Editors (ICMJE) requirements/guidelines.


7. FUNDING

There is no funding to report.


8. CONFLICTS OF INTEREST

The authors report no financial or any other conflicts of interest in this work.


9. ETHICAL APPROVALS

The study was approved by the Ethical Committee of Taras Shevchenko National University of Kyiv. Approval number: 036/178 Date: 03/11/2022.


10. DATA AVAILABILITY

All data generated and analyzed are included within this research article.


11. PUBLISHER’S NOTE

This journal remains neutral with regard to jurisdictional claims in published institutional affiliation.

REFERENCES

1.  Jablaoui A, Kriaa A, Akermi N, Mkaouar H, Gargouri A, Maguin E, et al. Biotechnological applications of serine proteases:A patent review. Recent Pat Biotechnol 2018;12:280-7. [CrossRef]

2.  Thakur N, Goyal M, Sharma S, Kumar D. Proteases:Industrial applications and approaches used in strain improvement. Int J 2018;10:158-67.

3.  Rai SK, Mukherjee AK. Ecological significance and some biotechnological application of an organic solvent stable alkaline serine protease from Bacillus subtilisstrain DM-04. Bioresour Technol 2009;100:2642-5. [CrossRef]

4.  Karaboga MN, Logoglu E. Purification of alkaline serine protease from local bacillus subtilis M33 by two steps:A novel organic solvent and detergent tolerant enzyme. Gazi Univ J Sci 2019;32:116-29.

5.  Ideia P, Pinto J, Ferreira R, Figueiredo L, Spínola V, Castilho PC. Fish processing industry residues:A review of valuable products extraction and characterization methods. Waste Biomass Valorization 2019;11:3223-46. [CrossRef]

6.  Bradford MM. A rapid and sensitive method for the quantitation of microgram quantities of protein utilizing the principle of protein-dye binding. Anal Biochem 1976;72:248-54. [CrossRef]

7.  Laemmli UK. Cleavage of structural proteins during the assembly of the head of bacteriophage T4. Nature 1970;227:680-5. [CrossRef]

8.  Ostapchenko L, Savchuk O, Burlova-Vasilieva N. Enzyme electrophoresis method in analysis of active components of haemostasis system. Adv Biosci Biotech 2011;2:20-6. [CrossRef]

9.  2-D Electrophoresis Principles and Methods Amersham Biosciences. Little Chalfon:UK Limited Amersham Place;2004. p. 168.

10.  Munilla-Moran R, Stark JR. Protein digestion in early turbot larvae, Scophthalmus maximus (L.). Aquaculture 1989;8:315-27. [CrossRef]

11.  Raksha N, Halenova T, Kravchenko O, Vovk T, Savchuk O, Ostapchenko L. Purification and biochemical characterization of trypsin-like enzyme from Antarctic hydrobiont Adamussium colbecki. Res J Biotech 2020;15:1-7.

12.  Raksha NG, Gladun DV, Savchuk OM, Ostapchenko LI. New fibrinogenases isolated from marine hydrobiont Adamussium colbecki. J Biochem Int 2016;3:21-30.

13.  Bae SK, Lee H, Heo Y, Pyo MJ, Choudhary I, Han CH, et al. In vitrocharacterization of jellyfish venom fibrin (ogen) olytic enzymes from Nemopilema nomurai. J Venom Anim Toxins Incl Trop Dis 2017;23:35. [CrossRef]

14.  Singh J, Vohra RM, Sahoo DK. Purification and characterization of two extracellular alkaline proteases from a newly isolated obligate alkalophilic Bacillus sphaericus. J Ind Microbiol Biotechnol 2001;26:387-93. [CrossRef]

15.  Veiga SS, Da Silveira RB, Dreyfus JL, Haoach J, Pereira AM, Mangili OC, et al. Identification of high molecular weight serine-proteases in Loxosceles intermedia (brown spider) venom. Toxicon 2000;38:825-39. [CrossRef]

16.  Henrique B. Purification and characterization of trypsin-like enzyme from the pyloric caeca of cod (Gadus morhud)II IB.L. Arch Biol Technol 2001;44:33-40. [CrossRef]

17.  Bougatef A, Balti R, Nasri R, Jellouli K, Souissi N, Nasri M. Biochemical properties of anionic trypsin acting at high concentration of NaCl purified from the intestine of a carnivorous fish:Smooth hound (Mustelus mustelus). J Agric Food Chem 2010;58:5763-9. [CrossRef]

18.  Kimoio K, Kusama S, Murakami K. Purification and characterization of serine proteinases from Euphausia superba. Agric Biol Chem1983;47:529-34. [CrossRef]

19.  Sakharov IY, Litvin FE, Artyukov AA. Purification and characterization of two serine collagenolytic proteases from crab Paralithodes camtschatica. Comp Biochem Physiol Biochem Mol Biol 1994;108:561-8. [CrossRef]

20.  Huang Q, Peng Y, Li X, Wang H, Zhang Y. Purification and characterization of an extracellular alkaline serine protease with dehairing function from Bacillus pumilus. Curr Microbiol 2003;46:169-73. [CrossRef]

Reference

1. Jablaoui A, Kriaa A, Akermi N, Mkaouar H, Gargouri A, Maguin E, et al. Biotechnological applications of serine proteases: A patentreview. Recent Pat Biotechnol 2018;12:280-7. https://doi.org/10.2174/1872208312666180924112007

2. Thakur N, Goyal M, Sharma S, Kumar D. Proteases: Industrial applications and approaches used in strain improvement. Int J 2018;10:158-67.

3. Rai SK, Mukherjee AK. Ecological significance and some biotechnological application of an organic solvent stable alkaline serine protease from Bacillus subtilis strain DM-04. Bioresour Technol 2009;100:2642-5. https://doi.org/10.1016/j.biortech.2008.11.042

4. Karaboga MN, Logoglu E. Purification of alkaline serine protease from local bacillus subtilis M33 by two steps: A novel organic solvent and detergent tolerant enzyme. Gazi Univ J Sci 2019;32:116-29.

5. Ideia P, Pinto J, Ferreira R, Figueiredo L, Spínola V, Castilho PC. Fish processing industry residues: A review of valuable products extraction and characterization methods. Waste Biomass Valorization 2019;11:3223-46. https://doi.org/10.1007/s12649-019-00739-1

6. Bradford MM. A rapid and sensitive method for the quantitation of microgram quantities of protein utilizing the principle of protein-dye binding. Anal Biochem 1976;72:248-54. https://doi.org/10.1016/0003-2697(76)90527-3

7. Laemmli UK. Cleavage of structural proteins during the assembly of the head of bacteriophage T4. Nature 1970;227:680-5. https://doi.org/10.1038/227680a0

8. Ostapchenko L, Savchuk O, Burlova-Vasilieva N. Enzyme electrophoresis method in analysis of active components of haemostasis system. Adv Biosci Biotech 2011;2:20-6. https://doi.org/10.4236/abb.2011.21004

9. 2-D Electrophoresis Principles and Methods Amersham Biosciences. Little Chalfon: UK Limited Amersham Place; 2004. p. 168.

10. Munilla-Moran R, Stark JR. Protein digestion in early turbot larvae, Scophthalmus maximus (L.). Aquaculture 1989;8:315-27. https://doi.org/10.1016/0044-8486(89)90156-7

11. Raksha N, Halenova T, Kravchenko O, Vovk T, Savchuk O, Ostapchenko L. Purification and biochemical characterization of trypsin-like enzyme from Antarctic hydrobiont Adamussium colbecki. Res J Biotech 2020;15:1-7.

12. Raksha NG, Gladun DV, Savchuk OM, Ostapchenko LI. New fibrinogenases isolated from marine hydrobiont Adamussium colbecki. J Biochem Int 2016;3:21-30.

13. Bae SK, Lee H, Heo Y, Pyo MJ, Choudhary I, Han CH, et al. In vitro characterization of jellyfish venom fibrin (ogen) olytic enzymes from Nemopilema nomurai. J Venom Anim Toxins Incl Trop Dis 2017;23:35. https://doi.org/10.1186/s40409-017-0125-8

14. Singh J, Vohra RM, Sahoo DK. Purification and characterization of two extracellular alkaline proteases from a newly isolated obligate alkalophilic Bacillus sphaericus. J Ind Microbiol Biotechnol 2001;26:387-93. https://doi.org/10.1038/sj.jim.7000151

15. Veiga SS, Da Silveira RB, Dreyfus JL, Haoach J, Pereira AM, Mangili OC, et al. Identification of high molecular weight serine-proteases in Loxosceles intermedia (brown spider) venom. Toxicon 2000;38:825-39. https://doi.org/10.1016/S0041-0101(99)00197-X

16. Henrique B. Purification and characterization of trypsin-like enzyme from the pyloric caeca of cod (Gadus morhud) II I B.L. Arch Biol Technol 2001;44:33-40. https://doi.org/10.1590/S1516-89132001000100005

17. Bougatef A, Balti R, Nasri R, Jellouli K, Souissi N, Nasri M. Biochemical properties of anionic trypsin acting at high concentration of NaCl purified from the intestine of a carnivorous fish: Smooth hound (Mustelus mustelus). J Agric Food Chem 2010;58:5763-9. https://doi.org/10.1021/jf100534a

18. Kimoio K, Kusama S, Murakami K. Purification and characterization of serine proteinases from Euphausia superba. Agric Biol Chem1983;47:529-34. https://doi.org/10.1080/00021369.1983.10865676

19. Sakharov IY, Litvin FE, Artyukov AA. Purification and characterization of two serine collagenolytic proteases from crab Paralithodes camtschatica. Comp Biochem Physiol Biochem Mol Biol 1994;108:561-8. https://doi.org/10.1016/0305-0491(94)90110-4

20. Huang Q, Peng Y, Li X, Wang H, Zhang Y. Purification and characterization of an extracellular alkaline serine protease with dehairing function from Bacillus pumilus. Curr Microbiol 2003;46:169-73. https://doi.org/10.1007/s00284-002-3850-2

Article Metrics
431 Views 112 Downloads 543 Total

Year

Month

Related Search

By author names

Similar Articles

Isolation and identification of Salmonella spp. from broiler and their antibiogram study in Sylhet, Bangladesh

Md. Jakirul Islam, A. T. M. Mahbub-E-Elahi, Tanvir Ahmed, Md. Kamrul Hasan

Comparative analysis of metagenomic DNA extraction methods from gut microbiota of zebrafish (Danio rerio) for downstream next-generation sequencing

Venetia D’Rose, Tina Kollannoor Johny, Sarita Bhat

An efficient algae cell wall disruption methodology for recovery of intact chloroplasts from microalgae

Smita Patil, Arvind M Lali, Gunjan Prakash

Distribution and diversity of endophytic fungi associated with three medicinal tree species from Eturnagaram Wildlife Sanctuary, TS, India

Bhavani Vemireddy, Abhinesh Madasi, Aruna Ajmeera, Krishna Reddy Vanteru

Molecular characterization and antibacterial properties of endophytic fungi Lasidiplodia theobromae in Lobelia nicotianifolia Roth ex Schult. of central Western Ghats of Karnataka, India

Krishnappa Vinu, Maddappa Krishnappa, Venkatarangaiah Krishna

Optimization strategy for purification and isolation of active lectin from Colocasia esculenta L. Schott rhizome

Yesi Desmiaty, Chaidir Chaidir,, Ariefta Vera Utami, Fauzia Noprima Okta, Gumilar Adhi Nugroho

Infectious characteristics of some Vibrio spp. phages isolated in shrimp farming of the Mekong delta

Le Hoang Bao Ngoc,, Nguyen Thi Loan Anh, Vo Ngoc Tram Anh, Nguyen Thi Phuong Uyen, Le Viet Dung, Truong Thi Bich Van

Screening and characterization of thermostable protease-producing bacteria isolated from slaughter site soil samples from Southern India

Nafila Puthiya Punnarath,, Anjana Meppat,, Anitha Subash, Servin Wesley Ponraj, Shobana Arunachalam

Response surface methodology for rapid removal of an azo dye methyl orange by indigenous bacterial strain (Bacillus cereus J4)

Jyoti Rani, Surojit Bera, Vinita Gaur, Joginder Singh, Umesh Goutam,

Potential of bacteria from paddy fields rhizosphere with termite mounds ecosystems

Kiriya Sungthongwises, Sirinat Phumat, Sirikanlaya Hongkhammueang, Penkhae Rungrueng