Research Article | Volume: 6, Issue: 6, Nov-Dec, 2018

Assessment of biomarkers in acrylamide-induced neurotoxicity and brain histopathology in rat

Sreenivasulu Dasari Muni Swamy Ganjayi Sailaja Gonuguntla Keerthi Ramineedu Prabhakar Yellanur Konda Balaji Meriga   

Open Access   

Published:  Oct 20, 2018

DOI: 10.7324/JABB.2018.60613
Abstract

The effects of acrylamide (ACR), a synthetic neurotoxic chemical compound on non-enzymatic and enzymatic stress markers and brain histopathology, were studied in Wistar rats. ACR (50 mg/300 ml) was ingested through drinking water on alternative days, and brain tissues were collected on the 13th and 27th days post-ingestion for analysis. Results revealed that ACR causes significant increase in non-enzymatic stress markers such as lipid peroxidation (P < 0.05) and nitric oxide (P < 0.05), but depletion of glutathione (P < 0.05). Enzymatic stress markers, glutathione peroxidase, and glutathione s-transferase activities significantly increased (P < 0.05) at the 13th day post-ingestion, but decreased at the 27th day. However, acetylcholine esterase activity dropped significantly (P < 0.05) at the 13th and 27th days post-ingestion. In addition, ACR induced histological changes in brain such as degeneration of pyramidal and glial cells, mild vacuolation of pyramidal cells, and spongiosis in glia cells on 13th day post-ingestion. On the 27th day, brain tissue necrosis and pyknosis, necrosis of neurons and neurophagia, focal gliosis, and demyelination of nerve fibers were observed. In conclusion, ACR influences non-enzymatic and enzymatic stress markers in brain tissue and induces neurodegeneration in Wistar rats.


Keyword:     Acrylamide Brain degeneration Stress markers.


Citation:

Dasari S, Ganjayi MS, Gonuguntla S, Ramineedu K, Konda PY, Meriga B. Assessment of biomarkers in acrylamide-induced neurotoxicity and brain histopathology in rat. J App Biol Biotech. 2018;6(06):79-86. DOI: 10.7324/JABB.2018.60613

Copyright: Author(s). This is an Open Access article distributed under the terms of the Creative Commons Attribution-NonCommercial-ShareAlike license.

HTML Full Text

1. INTRODUCTION

Acrylamide (ACR) is simple compound, highly soluble in water, α, β-unsaturated carbonyl chemical compound with many advantages as well as so many disadvantages. ACR is used in many fields including in laboratories, and it is absorbed during occupational exposure [1,2]. ACR is a synthetic monomer, found in a variety of deep fried foods at high temperature. ACR can found in foods that are daily consumed, such as chips/French fries, crisps, and bread, biscuits, crackers, and breakfast cereals [3]. Mottram et al. [4] reported that the ACR formed from an amino acid asparagine and reducing sugars (e.g., glucose) by the Maillard reaction. Due to ACR exposure, free radical and hydroperoxide generation was increased followed by lipid peroxidation (LPO) in animals [5]. Generation of an excess of free radicals (reactive oxygen species [ROS]) may cause biological molecules oxidation, mainly LPO, enzymes oxidation, and DNA base oxidation. Free radicals are the main reason for the pathogenesis of many diseases such as neurodegeneration, diabetes, diseases of cardiovascular system, and neoplasm formation [6,7]. Biomarkers are indicators of normal biological processes, pathological processes, and pharmacological responses those relevance to therapeutic intervention [8].

Lipids are easily susceptible to both reactive oxygen and reactive nitrogen species (ROS/RNS) than the other biomolecules [9]. Dotan et al [10] has reported that the levels of LPO products were extensively measured in biological fluids as well as tissues of human. Usually, thiobarbituric acid reactive substances (TBARS), ethane and pentane in breath gas, lipid hydroperoxides, and aldehydes such as malondialdehyde (MDA) are markers of LPO, those measured for in vivo studies [11]. Maiorino et al. [12] and Takrbe et al. [13] were reported that lipid hydroperoxides are substrates of enzyme-like glutathione peroxidase (GPx). LPO is associated with free radicals those produced by oxidative stress promotes cellular damage. Usually, serum MDA is the final product of polyunsaturated fatty acid peroxidation so that it is a reliable marker of oxidative stress [14].

Nitric oxide (NO) is a chemical mediator, which is an integral part in the maintenance of physiological homeostasis because of its both regulatory and protective functions.NO that produced by many cells including cells of immune system which shows systematic action on various organs, tissues and tumor cellls [15,16]. In general, NO has played numerous roles in the brain that includes soluble guanylate cyclase activation [17] as well as modulation of synaptic vesicle exocytosis [18,19]. In 2003, Boehning and Snyder [20] reported that NO action as neurotransmission modulator is an important role in the nervous system. In general, alteration in the NO production that leads to the pathological lesions of brain disorders like Alzheimer’s disease [21].

Glutathione (GSH) is a tripeptide (γ-Gln-Cys-Gly) that serves as a major antioxidant, ACR causes GSH depletion, and this depletion leads to redox imbalance. Due to reactions with hydrogen peroxide [22,23], conjugation reaction with ACR, and its metabolite glycidamide catalyzed by glutathione S-transferase (GST) [24], GSH consumption occurs in high level. The systematic increase of TBARS concentration was observed when ACR given orally to rats [25]. The non-enzymatic antioxidants such as reduced GSH play a key role in neutralization of free radicals by donating their electrons [26]. GSH is the thiol compound that abundants in cells of all organs, and it plays a major role in protection from oxidative stress in the brain [27]. Glutathione reductase (GR) main function is recycling of oxidized GSH to reduced GSH, i.e., antioxidant form and it is upregulated in oxidative stress [27,28].

GPx catalyze the reduction of hydrogen peroxide as well as organic hydroperoxides in the presence of GSH, and it was extensively studied from the time of discovery [29]. The essential role of GPx about the defensive response to oxidative stress was intensively demonstrated [30,31]. Most GPx isoenzymes of mammalian contain selenocysteine but not epididymal secretary GPx [32]. GPx is present in cytosol and mitochondria; it is major antioxidant enzyme in the brain, predominantly expressed in microglia [33]. GPx family isoenzymes are catalyzing the reduction H2O2 and lipid peroxides using GSH [34,35]. Ursini et al. and Takrbe et al. [13,36] reported that lipid hydroperoxides are substrates of enzyme-like GPx.

GSTs are one of the versatile detoxification enzymes among Phase II enzymes, which are involved in the xenobiotic metabolism and play a major role in cellular protection against oxidative stress. GSTs (EC 2.5.1.18) are widely distributed in prokaryotes and eukaryotes, but in eukaryotes, they are Phase II detoxification enzymes [37], which protect cellular macromolecules from ROS, environmental carcinogens and chemotherapeutic drugs [38], which catalyse the nucleophilic addition of GSH to numerous toxic chemical agents (xenobiotics) and electrophilic and carcinogenic metabolites those generated by phase I enzymes [39-41].

Acetylcholine is a neurotransmitter which involved in various functions of the brain such as reward, learning, memory formation, or neuronal development [42]. Acetylcholine esterase (AChE) (EC 3.1.1.7) is an enzyme that catalyzes the hydrolysis of acetylcholine [43]. That the AChE activity which associates with the release of acetylcholine into the synoptic clefts [44]. In addition to that, AChE activity may alter by free radicals [45]. The present study is aimed to study the evaluation of biomarkers in ACR-induced neurotoxicity and brain degeneration in rat.


2. MATERIALS AND METHODS

2.1. Chemicals

ACR (98% purity), thiobarbituric acid (TBA), GSH, 5, 5’-dithiobis (2-nitrobenzoic acid) (DNTB), n-butanol, pyridine, and nicotinamide adenine dinucleotide phosphate (reduced) tetrasodium salt (NADPH) were purchased from HiMedia Laboratories Pvt. Ltd. Mumbai, India. Griess reagent was obtained from SRL, Mumbai, India. All other chemicals (analytical grade) were purchased from Standard Chemical Company (India).

2.2. Maintenance of Rats

Rats were allowed for acclimatized for about 1 week, housed in plastic cages and maintained them under standard conditions as per the Institutional Ethics Committee, S. V. University, through the experimental period. They were housed in 12:12 light:dark photoperiod at 23°C ± 2°C and fed them with ad libitum and allowed to drink tap water.

2.3. ACR Administration

Male Wistar rats weighing about 200 g were selected for experimentation, and each group has six animals (n = 6). ACR has administered to the rat through drinking water (50 mg ACR/300 ml water) for 24 h but 300 ml water to that rat for 24 h. Such a way, ACR was administered in alternative days up to 27 days (14 doses) as shown in Figure 1. Each animal has drunk 30–40 ml that means 5–6.65 mg per day. Only tap water (vehicle) given to control group.

Figure 1: Exposure of acrylamide through drinking water

[Click here to view]

2.4. Determination of Protein

Control and ACR-treated brain sample protein content was measured by the method of Lowry et al. [46].

2.5. TBA Test for LPO

According to Ohkawa et al. [47], LPO levels were estimated in ACR-administered rat brain. Briefly, 10% brain tissue homogenate was prepared with 1.15%, and 0.2 ml 8.1% sodium dodecyl sulfate (SDS) and 0.1 ml 0.8% TBA were added to 0.1 ml homogenate. Made up them to 4 ml with distilled water and those tubes were incubated for 1 h at 95°C and allowed them to cool. Distilled water 1 ml and n-butanol-pyridine mixture (15:1 v/v) 5 ml were added to cooled tubes, and those contents were mixed thoroughly. Those tubes were centrifuged at 4000 rpm for 10 min at room temperature, and finally, organic layer was measured by spectrophotometer at 532 nm and the results were expressed as nmol MDA/h/g tissue.

2.6. Estimation of NO

NO was estimated in terms total nitrites at 540 nm according to Jablonska et al. [48]. In the presence of cadmium, nitrate in the sample was reduced to nitrite and finally converted as nitric acid that has given color reaction with Griess reagent and they were expressed in μ moles.

2.7. Determination of GSH

According to Kurtel et al. [49], GSH levels were determined in ACR-administered rat brain. To that 0.5 ml of brain homogenate added 1 ml of solution containing 100 mM Tris HCl (pH 8.2), 1% SDS, and 2 mM EDTA, this mixture was incubated at 25°C. It was centrifuged to remove any precipitate and 2.5 ml of 0.3 mM DNTB was added, and the reaction mixture was incubated at 37°C for 15 min. Finally, the absorbance was measured at 412 nm by spectrophotometer. GSH levels were calculated with 13,000/M/cm as molar extinction coefficient, and the results were expressed as μmol/g tissue.

2.8. GPx Activity Assay

According to Wendel [50], GPx activity assay was done. Assay buffer:0.25 mM phosphate buffer (pH 7.0) containing 2.5 mM EDTA and 2.5 mM sodium azide (NaN3). The reaction mixture contains assay buffer 1.8 ml, 100 μl GR, 100 μl GSH, 100 μl NADPH, and 250 μg of enzyme source. The reaction was initiated by the addition of 100 μl CHP/H2O2 and a linear decrease in NADPH absorption at 340 nm was measured for 3 min. A blank was maintained without enzyme source.

2.9. GST Activity Assay

Rat brain GST activity assay was done by the method of Habig et al. [51]. The reaction mixture consists of 1 ml of 0.3 M phosphate buffer (pH 6.5), 30 mM CDNB 100 μl, 30 mM GSH 100 μl, and enzyme source 100 μl. This reaction mixture was made up to 3 ml with distilled water. An increase in absorbance was measured at 340 nm using spectrophotometer. One unit of GST activity was defined either as formation 1 μ mole of 2,4 dinitrophenol-GSH conjugate per minute or 1 μ mole of substrate consumed per minute. GST activity was calculated using molar extinction coefficient (9.6×103/Mcm).

2.10. Activity of AChE

According to the method of Ellman et al. [52], acetylcholinesterase activity was measured. Thiocholine will form by hydrolysis of acetylcholine iodide that reacts with DNTB, resulting in a yellow color. The color intensity is proportional to the activity of AChE. Briefly, 20% brain tissue was prepared in ice-cold 1 M sodium phosphate buffer (pH 8.0). The homogenate was centrifuged at 15,000 rpm at 4°C. 0.5 ml of homogenate was added to a cuvette that contains 2.5 ml of 1 M phosphate buffer (pH 8.0) and 100 μl of 0.01 M 5,5’-dithiobis-(2-nitrobenzoic acid). The contents in the cuvette were mixed well by bubbling air, and absorbance was measured using spectrophotometer until get stable value at 412 nm that basal reading was recorded. Then, 20 μl of 0.75 M acetylcholine iodide substrate was added, and absorbance was measured for 8 min at an interval of 2 min. AChE activity was expressed in μM of acetylcholine iodide/ gram protein×h-1.

2.11. Histopathology

According to Humason [53], brain tissue histological examinations were conducted. Briefly, collected brain tissues from both control and experimental rats were washed with physiological saline (0.9% NaCl) to remove blood and fat debris adheres to the brain. After fixation in 10% of formalin, the tissues were allowed to process. In the first step, the tissues were washed under running tap water to remove the fixative. In the second step, tissues were allowed for dehydration by a graded series of alcohol and the tissues were allowed to clear using methyl benzoate and subjected to embed in paraffin wax. In the third step, the tissue was subjected to cut with 6 μ thickness and such sections allowed for staining with hematoxylin and eosin (H and E). In the fourth step, the sections were mounted with Canada balsam and observed under light microscope.

2.12. Statistical Analysis

All the data related to this study and their results were calculated from three experiments and presented as the mean ± standard deviation. Student t-test was performed to identify the ACR-treated brain samples differed from the mean for the respective vehicle controls. The differences between the experimental groups at the level of P < 0.05 were considered as statistically significant.


3. RESULTS AND DISCUSSION

3.1. Chemostress Markers

In this study, as shown in Table 1 and Figure 2a & b that the LPO, NO and GSH levels as well as Table 1 and Figure 3a & b that the GPx, GST and AChE levels disturbances were observed in ACR-administered rat brain, at the 13th and 27th day post-ingestion.

Table 1: ACR-induced non-enzymatic and enzymatic antioxidant biomarkers modulation

[Click here to view]

Figure 2: (a and b) Adverse alterations of non-enzymatic molecules by the administration of acrylamide

[Click here to view]

Figure 3: (a and b) Adverse alterations of enzymes activity by the administration of acrylamide

[Click here to view]

LPO levels were significantly increased (P < 0.05) to 2.08-fold and 3.63-fold at 13th day and 27th day, respectively, when compared to control, i.e., 2.0-fold. NO level in terms of total nitrite was significantly increased (P < 0.05) to 3.25-fold at 13th day but decreased (P < 0.05) to 1.43-fold at the 27th day than control, i.e., 4.62- fold. GSH levels were significantly decreased (P < 0.05) to 0.85-fold and 2.67-fold at 13th day and 27th day, respectively, than control, i.e., 3.79-fold.

With the substrate H2O2, GPx activity was significantly increased (P < 0.05) to 1.53 fold at the 13th day post-ingestion but decreased (P < 0.05) to 1.2-fold at the 27th day post-ingestion than control, i.e., 3.83-fold. With the substrate CDNB, GST activity was significantly increased (P < 0.05) to 2.86-fold at 13th day post-ingestion but decreased (P < 0.05) to 1.75-fold at 27th post-ingestion than control, i.e., 4.97-fold. AChE activity was significantly decreased (P < 0.05) to 1.03-fold and 2.65 at 13th and 27th days post-ingestion, respectively, than control, i.e., 5.62-fold.

3.2. Histopathology Study

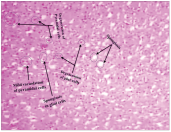
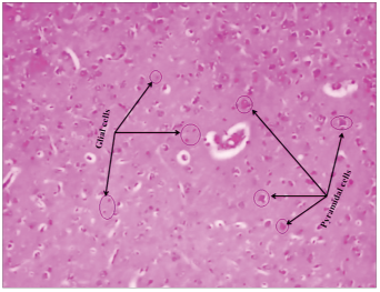
In control rat brain section, normal glial cells and pyramidal cells were noticed as shown in Figure 4. But in ACR administered (50 mg/300 ml water up to 27 days in alternative days), rat brain that histological variations were observed like degeneration of pyramidal cells, degeneration of glial cells, mild vacuolation of pyramidal cells, spongiosis in glia cells and spongiosis, on 13th day post-ingestion as shown in Figure 5, and necrosis and pyknosis, necrosis of neurons and neurophagia, focal gliosis and demyelination of nerve fibers, on 27th day post-ingestion as shown in Figure 6.

Figure 4: Control rat brain section shows normal glial cells and pyramidal cells (H and E stain) (×10)

[Click here to view]

Figure 5: Rat cerebellum section shows that degeneration of pyramidal cells, degeneration of glial cells, mild vacuolation of pyramidal cells, spongiosis in glial cells, and spongiosis on 13th day post-ingestion of acrylamide (H and E stain) (×10)

[Click here to view]

Figure 6: Rat cerebellum section shows that pyknosis, necrosis of neurons and neurophagia, focal gliosis, and demyelination of nerve fibers on 27th day post-ingestion of acrylamide (H and E stain) (×10)

[Click here to view]

The brain is a vital, most complex organ, it serves as the center of the nervous system, and functionally, it is a coordinating and regulatory system of the body. Production of cellular energy that mediated by aerobic metabolism which generates toxic oxygen intermediates, in terms of ROS, excessive production of them causes a significant threat to cellular homeostasis [54]. ROS is the main reason for activation or deactivation of cellular signaling pathways, in the stress condition [55]. The cellular defense system that mediated by enzymatic and non-enzymatic antioxidants, which necessary to maintain normal cellular function [56]. That the detoxification systems which necessary for the survival of organisms, certainly when they exposed to various stressful conditions [57].

In the present study, as shown in Figure 1, ACR was administered in alternative days in drinking water (50 mg/300 ml) to rat and evaluate the modulation of the non-enzymatic and enzymatic chemo-stress markers in the brain, as shown in Table 1 and Figures 2a and b, 3a and b and observed brain tissue derangements, as shown in Figures 5 and 6. ACR can enter into the body through occupation, cigarette smoke, food, water, and breast milk and distribute entire the body. Zhu et al. [22] said that the ACR can induce oxidative stress in the brain, spinal cord, and sciatic nerve, including sensory and motor dysfunction in rats. Oxidative stress is a process that excessive production of ROS/ RNS as well as depletion of antioxidant system, therefore, generate an imbalance between ROS/RNS and antioxidant system that leads to apoptosis [58].

Dotan et al. [10] reported that the LPO products levels were measured extensively in biological fluids and tissues of humans. The LPO can drastically alter the permeability and fluidity of the membrane lipid bilayer that needs for the cell integrity [59]. Gutteridge [11] reported a thorough observation of several studies that the TBARS, ethane and pentane, lipid hydroperoxides, and aldehydes such as MDA were measured as a marker of LPO in vivo.Lucca et al (2009) [60] has reported through their study that the oxidative stress generates LPO. In the present study, as shown in Table 1 and Figures 2a and b, 3a and b, in ACR-administered rat brain, LPO levels were significantly increased (P < 0.05) to 2.08-fold and 3.63-fold at 13th and 27th day post-ingestion, respectively, when compared to control, i.e., 2.0-fold. This is suggested that ACR stress has induced LPO as stated by Lucca et al. [60].

Neurons, endothelial cells, platelets, and neutrophils can release NO in response to homeostatic and pathologic stimuli [61]. The NO produced from inducible nitric oxide synthase (iNOS) is apparently very important in host defence and chronic inflammatory response [62]. The ACR-induced neurotoxicity leads to NO homeostasis disturbance by the contrast expression of neuronal form NO synthase and iNOS [63]. In rat brain, the chronic mild stress has induced NO levels [64]. Administration of high-dose ACR (50 mg/kg bwt) has enhanced NO production in terms of total nitrite (NO2) found in rat liver [65]. As shown in Table 1 and Figures 2a and b and 3a and b, NO level in terms of total nitrite was significantly increased (P < 0.05) to 3.25fold at 13th day post-ingestion but decreased (P < 0.05) to 1.43 fold at 27th day than control, i.e., 4.62 fold, In the present study, we observed the similar results as stated by Kim [63] and Eren et al. [64], in ACR administered rat brain.

GSH is abundant in cells of all organs, playing a key role in the protection of brain from oxidative stress [27,65]. The GSH is involved in the disposal of peroxides by brain cells and hence protects from ROS, and that astroglial GSH system is an oxidative stress marker in neurological disorders [66]. GSH is involved in antioxidant reactions in two ways, non-enzymatically can react with ROS like O2- and OH·, hence remove them [67]. The GSH depletion due to toxicity has increased the susceptibility to oxidative stress [68] and susceptibility of animals to oxidative stress [69]. As shown in Table 1 and Figures 2a and b and 3a and b, GSH levels were significantly decreased (P < 0.05) to 0.85-fold and 2.67-fold at 13th and 27th day post-ingestion, respectively, than control, i.e., 3.79 fold. In this study, in ACR treated rat brain that the depletion of GSH has revealed its role in non enzymatic antioxidant reaction. This study result has coincided with the studies of Gawryluk et al. [27], Dringen [66], Gandhi and Abramov [67], Peña-Llopis et al. [68] and Trevisan et al. [69].

The GPx family of isoenzymes are catalyzing the reduction of H2O2 and lipid peroxides with GSH [35,67]. There are five selenium-dependent GPxs, but non-selenium GPx contains selenocysteine [70], several studies were suggested that the GPx upregulation is the protective response in case of neuronal injury [33], and it exists in both cytosol and mitochondria. The lower GPx activity has associated to higher levels of ROS and cellular damage [71]. GST-specific activity with the substrate CHP is the presence of peroxidase activity that associated with GST [72]. Both peroxidase system and GSH impairment that lead to immune cells dysfunction, and lower survival rate of animal when exposed to a pro-oxidant [73]. As shown in Table 1 and Figures 2a and b, 3a and b, with the substrate H2O2, GPx activity was significantly increased (P < 0.05) to 1.53-fold at 13th day post ingestion, but decreased (P < 0.05) to 1.2 fold at 27th day, than control, i.e., 3.83 fold. In this study, we observed the perturbation in GPx activity at 13th and 27th day post ingestion as stated by Dasari et al. [72] and Trevisan et al. [73].

Usually, GST that detoxify the various environmental pollutants, carcinogens and endogenous toxic agents (e.g., oxidative stress products) which have electrophilic functional groups, hence produce neutralized, more water-soluble compound, and finally, remove them from the cell [74]. GST that have many functions such as xenobiotic detoxification, removal of oxidative stress products, transport of protein, modulation of cell proliferation, and induction of the apoptosis signaling pathway [75]. GSTs have additional functions such as peroxidase, isomerase, and thiol transferases [76]. It detoxify the wide range of hazardous substances through transferase activity and GST-associated peroxidase activity [77]. GST activity assay has high importance to develop the efficient therapeutics and screening of new anticancer drugs that substrate CDNB is the efficient probe for GST activity [51]. GSTs can protect cells through detoxification from reactive electrophile that reduces cell metabolizing ability [78]. As shown in Table 1 and Figures 2a and b and 3a and b, with the substrate CDNB, GST activity was significantly increased (P < 0.05) to 2.86fold at 13th day post-ingestion, but decreased (P < 0.05) to 1.75 fold 27th day, than control, i.e., 4.97 fold. We observed that GST activity was significantly increased on 13th day but significantly decreased on 27th day, so CDNB is the potential probe for GST activity as stated by Habig et al. [51], and GST has expressed to detoxify neurotoxic xenobiotic like ACR, as stated by Laborde[75] and Dasari et al. [77].

Mehhri et al. [79] studied an increased level of LPO and GSH reduction in cerebral cortex and cerebellum of rat that administered with ACR. Thiobarbituric TBARS levels and GST activity levels were increased in plasma, testis, kidney, and brain, and GSH levels were decreased in carpus striatum in ACR-treated rats [25]. In this study, as shown in Table 1 and Figure 2, we observed similar result in case LPO and GSH.

AChE is essential for normal functioning of both the central and peripheral nervous system [80]. This enzyme is distributed in both the neural and non-neural tissues [81]. Many studies proved that the drugs can alter the AChE activity of rat brain [82-84]. AChE activity has declined in ACR-treated mice brain [23]. As shown in Table 1 and Figures 2a and b and 3a and b, in this study, we observed the similar activity of AChE as stated by Kopanska et al. [23], Friboulet et al. [81] and Tüzmen et al. [83], in ACR-administered rat brain.

In the present study, ACR-administered rat brain histopathological changes such as degeneration of pyramidal cells, degeneration of glial cells, mild vacuolation of pyramidal cells, spongiosis in glia cells, and spongiosis were observed by 13th day, as shown in Figure 5 as well as necrosis and pyknosis, necrosis of neurons and neurophagia, focal gliosis, and demyelination of nerve fibers were observed by 27th day, as shown in Figure 6 when compared to control, i.e., as shown in Figure 4. Cells such as astrocytes, microglia, neurons, and oligodendrocytes of central nervous system have various functions [85]. Communication disturbances between the brain cells lead to the development of neurodegeneration disorders as well as initiation and progression of neurotoxicity that induced by xenobiotics [86,87]. Jangir et al. [88] has notice the histopathological variations like neuronal degeneration, edema and congestion in ACR treated rat brain. Sub-acute exposure of ACR leads to the degeneration of cerebral cortex and cerebellum in rats [89]. Brain possesses low levels of antioxidant enzymes so that the brain is susceptible to toxic agents. As shown in Figures 5 and 6, in the present study, we observed the degenerative changes in ACR-administered rat brain as stated by Cerbai et al. [86], Li et al. [87], Jangir et al. [88] and Zhao et al. [89].


CONCLUSION

This study suggested that the increase of LPO, depletion of GSH, upregulation and downregulation of NO levels as well as GPx and GST, and dropped AChE activities revealed that ACR (50 mg/300 ml water, up to 27 days in alternative days) shows significant (P < 0.05) perturbation of chemostress markers of biological cell and causes brain degeneration in rats. In conclusion, ACR has a remarkable influence on non-enzymatic and enzymatic antioxidants and made severe brain injury at the level of histology.


ACKNOWLEDGMENTS

I am thankful to University Grants Commission, New Delhi, India (PDFSS-2011-12-SC-AND-3355), for inancial assistance as Postdoctoral Fellow.


REFERENCES

1. Meng FG, Zhou HW, Zhou HM. Effects of acrylamide on creatine kinase from rabbit muscle. Int J Biochem Cell Biol 2001;33:1064-70. Crossref

2. Boettcher MI, Schettgen T, Kütting B, Pischetsrieder M, Angerer J. Mercapturic acids of acrylamide and glycidamide as biomarkers of the internal exposure to acrylamide in the general population. Mutat Res 2005;580:167-76. Crossref

3. Tareke E, Rydberg P, Karlsson P, Eriksson S, Törnqvist M. Analysis of acrylamide, a carcinogen formed in heated foodstuffs. J Agric Food Chem 2002;50:4998-5006. Crossref

4. Mottram DS, Wedzicha BL, Dodson AT. Acrylamide is formed in the maillard reaction. Nature 2002;419:448-9. Crossref

5. Prasad SN. Evidence of acrylamide induced oxidative stress and neurotoxicity in Drosophila melanogaster-Its amelioration with spice active enrichment: Relevance to neuropathy. Neurotoxicology 2012;33:1254-64. Crossref

6. Rahman T, Hosen I, Islam MT, Shekhar HU. Oxidative stress and human health. Adv Biosci Biotechnol 2012;3:997. Crossref

7. Greń A. Effects of vitamin E, C and D supplementation on inflammation and oxidative stress in streptozotocin-induced diabetic mice. Int J Vitam Nutr Res 2013;83:168-75. Crossref

8. Katz R. Biomarkers and surrogate markers: An FDA perspective. NeuroRx 2004;1:189-95. Crossref

9. Niki E, Yoshida Y, Saito Y, Noguchi N. Lipid peroxidation: Mechanisms, inhibition, and biological effects. Biochem Biophys Res Commun 2005;338:668-76. Crossref

10. Dotan Y, Lichtenberg D, Pinchuk I. Lipid peroxidation cannot be used as a universal criterion of oxidative stress. Prog Lipid Res 2004;43:200-27. Crossref

11. Gutteridge JM. Lipid peroxidation and antioxidants as biomarkers of tissue damage. Clin Chem 1995;41:1819-28.

12. Maiorino FM, Brigelius-Flohé R, Aumann KD, Roveri A, Schomburg D, Flohé L. Diversity of glutathione peroxidases. Methods Enzymol 1995;252:38-53. Crossref

13. Takebe G, Yarimizu J, Saito Y, Hayashi T, Nakamura H, Yodoi J, et al. A comparative study on the hydroperoxide and thiol specificity of the glutathione peroxidase family and selenoprotein P. J Biol Chem 2002;277:41254-8. Crossref

14. Irmak MK, Fadillioglu E, Sogut S, Erdogan H, Gulec M, Ozer M. Effects of caffeic acid phenethyl ester and alpha-tocopherol on reperfusion injury in rat brain. Cell Biochem Funct 2003;21:283-9. Crossref

15. Moncada S, Higgs EA. Molecular mechanisms and therapeutic strategies related to nitric oxide. FASEB J 1995;9:1319-30. Crossref

16. Singh S, Gupta AK. Nitric oxide: Role in tumour biology and iNOS/ NO-based anticancer therapies. Cancer Chemother Pharmacol 2011;67:1211-24. Crossref

17. Garthwaite J. Glutamate, nitric oxide and cell-cell signalling in the nervous system. Trends Neurosci 1991;14:60-7. Crossref

18. Wildemann B, Bicker G. Nitric oxide and cyclic GMP induce vesicle release at drosophila neuromuscular junction. J Neurobiol 1999;39:337-46. Crossref

19. Meffert MK, Calakos NC, Scheller RH, Schulman H. Nitric oxide modulates synaptic vesicle docking fusion reactions. Neuron 1996;16:1229-36. Crossref

20. Boehning D, Snyder SH. Novel neural modulators. Annu Rev Neurosci 2003;26:105-31. Crossref

21. Seyidova D, Aliyev A, Rzayev N, Obrenovich M, Lamb BT, Smith MA, et al. The role of nitric oxide in the pathogenesis of brain lesions during the development of Alzheimer’s disease. In Vivo 2004;18:325-33.

22. Zhu YJ, Zeng T, Zhu YB, Yu SF, Wang QS, Zhang LP, et al. Effects of acrylamide on the nervous tissue antioxidant system and sciatic nerve electrophysiology in the rat. Neurochem Res 2008;33:2310-7. Crossref

23. Kopanska M, Lukac N, Kapusta E, Formicki G. Acrylamide influence on activity of acetylcholinesterase, thiol groups, and malondialdehyde content in the brain of swiss mice. J Biochem Mol Toxicol 2015;29:472-8. Crossref

24. Paulsson B, Rannug A, Henderson AP, Golding BT, Törnqvist M, Warholm M, et al. In vitro studies of the influence of glutathione transferases and epoxide hydrolase on the detoxification of acrylamide and glycidamide in blood. Mutat Res 2005;580:53-9. Crossref

25. Yousef MI, El-Demerdash FM. Acrylamide-induced oxidative stress and biochemical perturbations in rats. Toxicology 2006;219:133-41. Crossref

26. Lobo V, Patil A, Phatak A, Chandra N. Free radicals, antioxidants and functional foods: Impact on human health. Pharm Rev 2010;4:118-26. Crossref

27. Gawryluk JW, Wang JF, Andreazza AC, Shao L, Young LT. Decreased levels of glutathione, the major brain antioxidant, in postmortem prefrontal cortex from patients with psychiatric disorders. Int J Neuropsychopharmacol 2011;14:123-30. Crossref

28. Schuliga M, Chouchane S, Snow ET. Upregulation of glutathione-related genes and enzyme activities in cultured human cells by sublethal concentrations of inorganic arsenic. Toxicol Sci 2002;70:183-92. Crossref

29. Mills GC. Hemoglobin catabolism. I. Glutathione peroxidase, an erythrocyte enzyme which protects hemoglobin from oxidative breakdown. J Biol Chem 1957;229:189-97.

30. Bela K, Horváth E, Gallé Á, Szabados L, Tari I, Csiszár J. Plant glutathione peroxidases: Emerging role of the antioxidant enzymes in plant development and stress responses. J Plant Physiol 2015;176:192-201. Crossref

31. Brigelius-Flohé R, Banning A, Schnurr K. Selenium-dependent enzymes in endothelial cell function. Antioxid Redox Signal 2003;5:205-15. Crossref

32. Margis R, Dunand C, Teixeira FK, Margis-Pinheiro M. Glutathione peroxidase family–an evolutionary overview. FEBS J 2008;275:3959-70. Crossref

33. Power JH, Blumbergs PC. Cellular glutathione peroxidase in human brain: Cellular distribution, and its potential role in the degradation of lewy bodies in Parkinson’s disease and dementia with lewy bodies. Acta Neuropathol 2009;117:63-73. Crossref

34. Lin MT, Beal MF. Mitochondrial dysfunction and oxidative stress in neurodegenerative diseases. Nature 2006;443:787-95. Crossref

35. Dasuri K, Zhang L, Keller JN. Oxidative stress, neurodegeneration, and the balance of protein degradation and protein synthesis. Free Radic Biol Med 2013;62:170-85. Crossref

36. Ursini F, Mariorino M, Brigelius-Flohe R, Aumann KD, Roveri A, Schomburg D, et al. Diversity of glutathione peroxidase. Methods Enzymol 1995;252:38-53. Crossref

37. Hayes JD, Flanagan JU, Jowsey IR. Glutathione transferases. Annu Rev Pharmacol Toxicol 2005;45:51-88. Crossref

38. Strange RC, Jones PW, Fryer AA. Glutathione S-transferase: Genetics and role in toxicology. Toxicol Lett 2000;112-113:357-63. Crossref

39. Senhaji N, Kassogue Y, Fahimi M, Serbati N, Badre W, Nadifi S, et al. Genetic polymorphisms of multidrug resistance gene-1 (MDR1/ABCB1) and glutathione S-transferase gene and the risk of inflammatory bowel disease among moroccan patients. Mediators Inflamm 2015;2015:248060. Crossref

40. Nebert DW, Vasiliou V. Analysis of the glutathione S-transferase (GST) gene family. Hum Genomics 2004;1:460-4. Crossref

41. Hayes JD, Strange RC. Glutathione S-transferase polymorphisms and their biological consequences. Pharmacology 2000;61:154-66. Crossref

42. Mansvelder HD, De Rover M, McGehee DS, Brussaard AB. Cholinergic modulation of dopaminergic reward areas: Upstream and downstream targets of nicotine addiction. Eur J Pharmacol 2003;480:117-23. Crossref

43. Massoulié J, Pezzementi L, Bon S, Krejci E, Vallette FM. Molecular and cellular biology of cholinesterases. Prog Neurobiol 1993;41:31-91. Crossref

44. Li B, Stribley JA, Ticu A, Xie W, Schopfer LM, Hammond P, et al. Abundant tissue butyrylcholinesterase and its possible function in the acetylcholinesterase knockout mouse. J Neurochem 2000;75:1320-31. Crossref

45. Melo JB, Agostinho P, Oliveira CR. Involvement of oxidative stress in the enhancement of acetylcholinesterase activity induced by amyloid beta-peptide. Neurosci Res 2003;45:117-27. Crossref

46. Lowry OH, Rosebrough NJ, Farr AL, Randall RJ. Protein measurement with the folin phenol reagent. J Biol Chem 1951;193:265-75.

47. Ohkawa H, Ohishi N, Yagi K. Assay for lipid peroxides in animal tissues by thiobarbituric acid reaction. Anal Biochem 1979;95:351-8. Crossref

48. Jabłońska E, Kiersnowska-Rogowska B, Ratajczak W, Rogowski F, Sawicka-Powierza J. Reactive oxygen and nitrogen species in the course of B-CLL. Adv Med Sci 2007;52:154-8.

49. Kurtel H, Granger DN, Tso P, Grisham MB. Vulnerability of intestinal interstitial fluid to oxidant stress. Am J Physiol 1992;263:G573-8.

50. Wendel A. Glutathione peroxidase. Methods Enzymol 1981;77:325-33. Crossref

51. Habig WH, Pabst MJ, Jakoby WB. Glutathione S-transferases. The first enzymatic step in mercapturic acid formation. J Biol Chem 1974;249:7130-9.

52. Ellman GL, Courtney KD, Andres V Jr. Feather-Stone RM. A new and rapid colorimetric determination of acetylcholinesterase activity. Biochem Pharmacol 1961;7:88-95. Crossref

53. Humason GL. Specific Staining Methods. Animal Tissue Techniques. San Francisco, CA: WH Freeman and Co; 1972.

54. Cadenas E, Davies KJ. Mitochondrial free radical generation, oxidative stress, and aging1. Free Radic Biol Med 2000;29:222-30. Crossref

55. Schieber M, Chandel NS. ROS function in redox signaling and oxidative stress. Curr Biol 2014;24:R453-62. Crossref

56. Valko M, Leibfritz D, Moncol J, Cronin MT, Mazur M, Telser J, et al. Free radicals and antioxidants in normal physiological functions and human disease. Int J Biochem Cell Biol 2007;39:44-84. Crossref

57. Vasseur P, Leguille C. Defense systems of benthic invertebrates in response to environmental stressors. Environ Toxicol 2004;19:433-6. Crossref

58. Maiese K, Chong ZZ, Hou J, Shang YC. Oxidative stress: Biomarkers and novel therapeutic pathways. Exp Gerontol 2010;45:217-34. Crossref

59. Dix TA, Aikens J. Mechanisms and biological relevance of lipid peroxidation initiation. Chem Res Toxicol 1993;6:2-18. Crossref

60. Lucca G, Comim CM, Valvassori SS, Réus GZ, Vuolo F, Petronilho F, et al. Effects of chronic mild stress on the oxidative parameters in the rat brain. Neurochem Int 2009;54:358-62. Crossref

61. Ferrario R, Takahashi K, Fogo A, Badr KF, Munger KA. Consequences of acute nitric oxide synthesis inhibition in experimental glomerulonephritis. J Am Soc Nephrol 1994;4:1847-54.

62. Nussler AK, Billiar TR. Inflammation, immunoregulation, and inducible nitric oxide synthase. J Leukoc Biol 1993;54:171-8. Crossref

63. Kim K. Effect of subchronic acrylamide exposure on the expression of neuronal and inducible nitric oxide synthase in rat brain. J Biochem Mol Toxicol 2005;19:162-8. Crossref

64. Eren I, NaziroÄŸlu M, DemirdaÅŸ A, Celik O, UÄŸuz AC, AltunbaÅŸak A, et al. Venlafaxine modulates depression-induced oxidative stress in brain and medulla of rat. Neurochem Res 2007;32:497-505. Crossref

65. Dringen R, Hirrlinger J. Glutathione pathways in the brain. Biol Chem 2003;384:505-16. Crossref

66. Dringen R. Metabolism and functions of glutathione in brain. Prog Neurobiol 2000;62:649-71. Crossref

67. Gandhi S, Abramov AY. Mechanism of oxidative stress in neurodegeneration. Oxid Med Cell Longev 2012;2012:428010. Crossref

68. Peña-Llopis S, Ferrando MD, Peña JB. Impaired glutathione redox status is associated with decreased survival in two organophosphate-poisoned marine bivalves. Chemosphere 2002;47:485-97. Crossref

69. Trevisan R, Arl M, Sacchet CL, Engel CS, Danielli NM, Mello DF, et al. Antioxidant deficit in gills of pacific oyster (Crassostrea gigas) exposed to chlorodinitrobenzene increases menadione toxicity. Aquat Toxicol 2012;108:85-93. Crossref

70. Brigelius-Flohé R, Maiorino M. Glutathione peroxidases. Biochim Biophys Acta 2013;1830:3289-303. Crossref

71. Chatziargyriou V, Dailianis S. The role of selenium-dependent glutathione peroxidase (Se-GPx) against oxidative and genotoxic effects of mercury in haemocytes of mussel Mytilus galloprovincialis (Lmk.). Toxicol In Vitro 2010;24:1363-72. Crossref

72. Dasari S, Gonuguntla S, Meriga B, Kedam T. Adverse influence of β-methylcholanthrene on detoxification function of chick embryo brain glutathione S-transferases and degenerative changes of brain. J Appl Pharm Sci 2018;8:111-9.

73. Trevisan R, Mello DF, Uliano-Silva M, Delapedra G, Arl M, Dafre AL, et al. The biological importance of glutathione peroxidase and peroxiredoxin backup systems in bivalves during peroxide exposure. Mar Environ Res 2014;101:81-90. Crossref

74. Coleman J, Blake-Kalff M, Davies E. Detoxification of xenobiotics by plants: chemical modification and vacuolar compartmentation. Trends Plant Sci 1997;2:144-51. Crossref

75. Laborde E. Glutathione transferases as mediators of signaling pathways involved in cell proliferation and cell death. Cell Death Differ 2010;17:1373-80. Crossref

76. Board PG, Coggan M, Chelvanayagam G, Easteal S, Jermiin LS, Schulte GK, et al. Identification, characterization, and crystal structure of the omega class glutathione transferases. J Biol Chem 2000;275:24798-806. Crossref

77. Dasari S, Ganjayi MS, Oruganti L, Balaji H, Meriga B. Glutathione s-transferases detoxify endogenous and exogenous toxic agents-minireview. J Dairy Vet Anim Res 2017;5:154. Crossref

78. Di Pietro G, Magno LA, Rios-Santos F. Glutathione S-transferases: An overview in cancer research. Expert Opin Drug Metab Toxicol 2010;6:153-70. Crossref

79. Mehri S, Abnous K, Khooei A, Mousavi SH, Shariaty VM, Hosseinzadeh H, et al. Crocin reduced acrylamide-induced neurotoxicity in wistar rat through inhibition of oxidative stress. Iran J Basic Med Sci 2015;18:902-8.

80. Hart AD. Relationships between behavior and the inhibition of acetylcholinesterase in birds exposed to organophosphorus pesticides. Environ Toxicol Chem 1993;12:321-36. Crossref

81. Friboulet A, Rieger F, Goudou D, Amitai G, Taylor P. Interaction of an organophosphate with a peripheral site on acetylcholinesterase. Biochemistry 1990;29:914-20. Crossref

82. Singh AK, Saxena PN, Sharma HN. Stress induced by beta-cyfluthrin, a type-2 pyrethroid, on brain biochemistry of Albino rat (Rattus norvegicus). Biol Med 2009;1:74-86.

83. Tüzmen MN, Candan N, Kaya E. The evaluation of altered antioxidative defense mechanism and acetylcholinesterase activity in rat brain exposed to chlorpyrifos, deltamethrin, and their combination. Toxicol Mech Methods 2007;17:535-40. Crossref

84. Sharma P, Firdous S, Singh R. Neurotoxic effect of cypermethrin and protective role of resveratrol in Wistar rats. Int J Nutr Pharmacol Neurol Dis 2014;4:104. Crossref

85. Anderson CM, Swanson RA. Astrocyte glutamate transport: Review of properties, regulation, and physiological functions. Glia 2000;32:1-4. Crossref

86. Cerbai F, Lana D, Nosi D, Petkova-Kirova P, Zecchi S, Brothers HM, et al. The neuron-astrocyte-microglia triad in normal brain ageing and in a model of neuroinflammation in the rat hippocampus. PLoS One 2012;7:e45250. Crossref

87. Li Y, Tan MS, Jiang T, Tan L. Microglia in Alzheimer’s disease. Biomed Res Int 2014;2014:1-7. Crossref

88. Jangir BL, Mahaprabhu R, Rahangadale S, Bhandarkar AG, Kurkure NV. Neurobehavioral alterations and histopathological changes in brain and spinal cord of rats intoxicated with acrylamide. Toxicol Ind Health 2016;32:526-40. Crossref

89. Zhao M, Wang P, Zhu Y, Liu X, Hu X, Chen F, et al. The chemoprotection of a blueberry anthocyanin extract against the acrylamide-induced oxidative stress in mitochondria: Unequivocal evidence in mice liver. Food Funct 2015;6:3006-12. Crossref

Reference

1. Meng FG, Zhou HW, Zhou HM. Effects of acrylamide on creatine kinase from rabbit muscle. Int J Biochem Cell Biol 2001;33:1064-70. https://doi.org/10.1016/S1357-2725(01)00079-6

2. Boettcher MI, Schettgen T, Kütting B, Pischetsrieder M, Angerer J. Mercapturic acids of acrylamide and glycidamide as biomarkers of the internal exposure to acrylamide in the general population. Mutat Res 2005;580:167-76. https://doi.org/10.1016/j.mrgentox.2004.11.010

3. Tareke E, Rydberg P, Karlsson P, Eriksson S, Törnqvist M. Analysis of acrylamide, a carcinogen formed in heated foodstuffs. J Agric Food Chem 2002;50:4998-5006. https://doi.org/10.1021/jf020302f

4. Mottram DS, Wedzicha BL, Dodson AT. Acrylamide is formed in the maillard reaction. Nature 2002;419:448-9. https://doi.org/10.1038/419448a

5. Prasad SN. Evidence of acrylamide induced oxidative stress and neurotoxicity in Drosophila melanogaster-Its amelioration with spice active enrichment: Relevance to neuropathy. Neurotoxicology 2012;33:1254-64. https://doi.org/10.1016/j.neuro.2012.07.006

6. Rahman T, Hosen I, Islam MT, Shekhar HU. Oxidative stress and human health. Adv Biosci Biotechnol 2012;3:997. https://doi.org/10.4236/abb.2012.327123

7. Greń A. Effects of vitamin E, C and D supplementation on inflammation and oxidative stress in streptozotocin-induced diabetic mice. Int J Vitam Nutr Res 2013;83:168-75. https://doi.org/10.1024/0300-9831/a000156

8. Katz R. Biomarkers and surrogate markers: An FDA perspective. NeuroRx 2004;1:189-95. https://doi.org/10.1602/neurorx.1.2.189

9. Niki E, Yoshida Y, Saito Y, Noguchi N. Lipid peroxidation: Mechanisms, inhibition, and biological effects. Biochem Biophys Res Commun 2005;338:668-76. https://doi.org/10.1016/j.bbrc.2005.08.072

10. Dotan Y, Lichtenberg D, Pinchuk I. Lipid peroxidation cannot be used as a universal criterion of oxidative stress. Prog Lipid Res 2004;43:200-27. https://doi.org/10.1016/j.plipres.2003.10.001

11. Gutteridge JM. Lipid peroxidation and antioxidants as biomarkers of tissue damage. Clin Chem 1995;41:1819-28.

12. Maiorino FM, Brigelius-Flohé R, Aumann KD, Roveri A, Schomburg D, Flohé L. Diversity of glutathione peroxidases. Methods Enzymol 1995;252:38-53. https://doi.org/10.1016/0076-6879(95)52007-4

13. Takebe G, Yarimizu J, Saito Y, Hayashi T, Nakamura H, Yodoi J, et al. A comparative study on the hydroperoxide and thiol specificity of the glutathione peroxidase family and selenoprotein P. J Biol Chem 2002;277:41254-8. https://doi.org/10.1074/jbc.M202773200

14. Irmak MK, Fadillioglu E, Sogut S, Erdogan H, Gulec M, Ozer M. Effects of caffeic acid phenethyl ester and alpha-tocopherol on reperfusion injury in rat brain. Cell Biochem Funct 2003;21:283-9. https://doi.org/10.1002/cbf.1024

15. Moncada S, Higgs EA. Molecular mechanisms and therapeutic strategies related to nitric oxide. FASEB J 1995;9:1319-30. https://doi.org/10.1096/fasebj.9.13.7557022

16. Singh S, Gupta AK. Nitric oxide: Role in tumour biology and iNOS/ NO-based anticancer therapies. Cancer Chemother Pharmacol 2011;67:1211-24. https://doi.org/10.1007/s00280-011-1654-4

17. Garthwaite J. Glutamate, nitric oxide and cell-cell signalling in the nervous system. Trends Neurosci 1991;14:60-7. https://doi.org/10.1016/0166-2236(91)90022-M

18. Wildemann B, Bicker G. Nitric oxide and cyclic GMP induce vesicle release at drosophila neuromuscular junction. J Neurobiol 1999;39:337-46. https://doi.org/10.1002/(SICI)1097-4695(19990605)39:3<337::AID-NEU1>3.0.CO;2-9

19. Meffert MK, Calakos NC, Scheller RH, Schulman H. Nitric oxide modulates synaptic vesicle docking fusion reactions. Neuron 1996;16:1229-36. https://doi.org/10.1016/S0896-6273(00)80149-X

20. Boehning D, Snyder SH. Novel neural modulators. Annu Rev Neurosci 2003;26:105-31. https://doi.org/10.1146/annurev.neuro.26.041002.131047

21. Seyidova D, Aliyev A, Rzayev N, Obrenovich M, Lamb BT, Smith MA, et al. The role of nitric oxide in the pathogenesis of brain lesions during the development of Alzheimer's disease. In Vivo 2004;18:325-33.

22. Zhu YJ, Zeng T, Zhu YB, Yu SF, Wang QS, Zhang LP, et al. Effects of acrylamide on the nervous tissue antioxidant system and sciatic nerve electrophysiology in the rat. Neurochem Res 2008;33:2310-7. https://doi.org/10.1007/s11064-008-9730-9

23. Kopanska M, Lukac N, Kapusta E, Formicki G. Acrylamide influence on activity of acetylcholinesterase, thiol groups, and malondialdehyde content in the brain of swiss mice. J Biochem Mol Toxicol 2015;29:472-8. https://doi.org/10.1002/jbt.21717

24. Paulsson B, Rannug A, Henderson AP, Golding BT, Törnqvist M, Warholm M, et al. In vitro studies of the influence of glutathione transferases and epoxide hydrolase on the detoxification of acrylamide and glycidamide in blood. Mutat Res 2005;580:53-9. https://doi.org/10.1016/j.mrgentox.2004.11.006

25. Yousef MI, El-Demerdash FM. Acrylamide-induced oxidative stress and biochemical perturbations in rats. Toxicology 2006;219:133-41. https://doi.org/10.1016/j.tox.2005.11.008

26. Lobo V, Patil A, Phatak A, Chandra N. Free radicals, antioxidants and functional foods: Impact on human health. Pharm Rev 2010;4:118-26. https://doi.org/10.4103/0973-7847.70902

27. Gawryluk JW, Wang JF, Andreazza AC, Shao L, Young LT. Decreased levels of glutathione, the major brain antioxidant, in post-mortem prefrontal cortex from patients with psychiatric disorders. Int J Neuropsychopharmacol 2011;14:123-30. https://doi.org/10.1017/S1461145710000805

28. Schuliga M, Chouchane S, Snow ET. Upregulation of glutathione-related genes and enzyme activities in cultured human cells by sublethal concentrations of inorganic arsenic. Toxicol Sci 2002;70:183-92. https://doi.org/10.1093/toxsci/70.2.183

29. Mills GC. Hemoglobin catabolism. I. Glutathione peroxidase, an erythrocyte enzyme which protects hemoglobin from oxidative breakdown. J Biol Chem 1957;229:189-97.

30. Bela K, Horváth E, Gallé Á, Szabados L, Tari I, Csiszár J. Plant glutathione peroxidases: Emerging role of the antioxidant enzymes in plant development and stress responses. J Plant Physiol 2015;176:192-201. https://doi.org/10.1016/j.jplph.2014.12.014

31. Brigelius-Flohé R, Banning A, Schnurr K. Selenium-dependent enzymes in endothelial cell function. Antioxid Redox Signal 2003;5:205-15. https://doi.org/10.1089/152308603764816569

32. Margis R, Dunand C, Teixeira FK, Margis-Pinheiro M. Glutathione peroxidase family–an evolutionary overview. FEBS J 2008;275:3959-70. https://doi.org/10.1111/j.1742-4658.2008.06542.x

33. Power JH, Blumbergs PC. Cellular glutathione peroxidase in human brain: Cellular distribution, and its potential role in the degradation of lewy bodies in Parkinson's disease and dementia with lewy bodies. Acta Neuropathol 2009;117:63-73. https://doi.org/10.1007/s00401-008-0438-3

34. Lin MT, Beal MF. Mitochondrial dysfunction and oxidative stress in neurodegenerative diseases. Nature 2006;443:787-95. https://doi.org/10.1038/nature05292

35. Dasuri K, Zhang L, Keller JN. Oxidative stress, neurodegeneration, and the balance of protein degradation and protein synthesis. Free Radic Biol Med 2013;62:170-85. https://doi.org/10.1016/j.freeradbiomed.2012.09.016

36. Ursini F, Mariorino M, Brigelius-Flohe R, Aumann KD, Roveri A, Schomburg D, et al. Diversity of glutathione peroxidase. Methods Enzymol 1995;252:38-53. https://doi.org/10.1016/0076-6879(95)52007-4

37. Hayes JD, Flanagan JU, Jowsey IR. Glutathione transferases. Annu Rev Pharmacol Toxicol 2005;45:51-88. https://doi.org/10.1146/annurev.pharmtox.45.120403.095857

38. Strange RC, Jones PW, Fryer AA. Glutathione S-transferase: Genetics and role in toxicology. Toxicol Lett 2000;112-113:357-63. https://doi.org/10.1016/S0378-4274(99)00230-1

39. Senhaji N, Kassogue Y, Fahimi M, Serbati N, Badre W, Nadifi S, et al. Genetic polymorphisms of multidrug resistance gene-1 (MDR1/ABCB1) and glutathione S-transferase gene and the risk of inflammatory bowel disease among moroccan patients. Mediators Inflamm 2015;2015:248060. https://doi.org/10.1155/2015/248060

40. Nebert DW, Vasiliou V. Analysis of the glutathione S-transferase (GST) gene family. Hum Genomics 2004;1:460-4. https://doi.org/10.1186/1479-7364-1-6-460

41. Hayes JD, Strange RC. Glutathione S-transferase polymorphisms and their biological consequences. Pharmacology 2000;61:154-66. https://doi.org/10.1159/000028396

42. Mansvelder HD, De Rover M, McGehee DS, Brussaard AB. Cholinergic modulation of dopaminergic reward areas: Upstream and downstream targets of nicotine addiction. Eur J Pharmacol 2003;480:117-23. https://doi.org/10.1016/j.ejphar.2003.08.099

43. Massoulié J, Pezzementi L, Bon S, Krejci E, Vallette FM. Molecular and cellular biology of cholinesterases. Prog Neurobiol 1993;41:31-91. https://doi.org/10.1016/0301-0082(93)90040-Y

44. Li B, Stribley JA, Ticu A, Xie W, Schopfer LM, Hammond P, et al. Abundant tissue butyrylcholinesterase and its possible function in the acetylcholinesterase knockout mouse. J Neurochem 2000;75:1320-31. https://doi.org/10.1046/j.1471-4159.2000.751320.x

45. Melo JB, Agostinho P, Oliveira CR. Involvement of oxidative stress in the enhancement of acetylcholinesterase activity induced by amyloid beta-peptide. Neurosci Res 2003;45:117-27. https://doi.org/10.1016/S0168-0102(02)00201-8

46. Lowry OH, Rosebrough NJ, Farr AL, Randall RJ. Protein measurement with the folin phenol reagent. J Biol Chem 1951;193:265-75.

47. Ohkawa H, Ohishi N, Yagi K. Assay for lipid peroxides in animal tissues by thiobarbituric acid reaction. Anal Biochem 1979;95:351-8. https://doi.org/10.1016/0003-2697(79)90738-3

48. Jabłońska E, Kiersnowska-Rogowska B, Ratajczak W, Rogowski F, Sawicka-Powierza J. Reactive oxygen and nitrogen species in the course of B-CLL. Adv Med Sci 2007;52:154-8.

49. Kurtel H, Granger DN, Tso P, Grisham MB. Vulnerability of intestinal interstitial fluid to oxidant stress. Am J Physiol 1992;263:G573-8.

50. Wendel A. Glutathione peroxidase. Methods Enzymol 1981;77:325-33. https://doi.org/10.1016/S0076-6879(81)77046-0

51. Habig WH, Pabst MJ, Jakoby WB. Glutathione S-transferases. The first enzymatic step in mercapturic acid formation. J Biol Chem 1974;249:7130-9.

52. Ellman GL, Courtney KD, Andres V Jr. Feather-Stone RM. A new and rapid colorimetric determination of acetylcholinesterase activity. Biochem Pharmacol 1961;7:88-95. https://doi.org/10.1016/0006-2952(61)90145-9

53. Humason GL. Specific Staining Methods. Animal Tissue Techniques. San Francisco, CA: WH Freeman and Co; 1972.

54. Cadenas E, Davies KJ. Mitochondrial free radical generation, oxidative stress, and aging1. Free Radic Biol Med 2000;29:222-30. https://doi.org/10.1016/S0891-5849(00)00317-8

55. Schieber M, Chandel NS. ROS function in redox signaling and oxidative stress. Curr Biol 2014;24:R453-62. https://doi.org/10.1016/j.cub.2014.03.034

56. Valko M, Leibfritz D, Moncol J, Cronin MT, Mazur M, Telser J, et al. Free radicals and antioxidants in normal physiological functions and human disease. Int J Biochem Cell Biol 2007;39:44-84. https://doi.org/10.1016/j.biocel.2006.07.001

57. Vasseur P, Leguille C. Defense systems of benthic invertebrates in response to environmental stressors. Environ Toxicol 2004;19:433-6. https://doi.org/10.1002/tox.20024

58. Maiese K, Chong ZZ, Hou J, Shang YC. Oxidative stress: Biomarkers and novel therapeutic pathways. Exp Gerontol 2010;45:217-34. https://doi.org/10.1016/j.exger.2010.01.004

59. Dix TA, Aikens J. Mechanisms and biological relevance of lipid peroxidation initiation. Chem Res Toxicol 1993;6:2-18. https://doi.org/10.1021/tx00031a001

60. Lucca G, Comim CM, Valvassori SS, Réus GZ, Vuolo F, Petronilho F, et al. Effects of chronic mild stress on the oxidative parameters in the rat brain. Neurochem Int 2009;54:358-62. https://doi.org/10.1016/j.neuint.2009.01.001

61. Ferrario R, Takahashi K, Fogo A, Badr KF, Munger KA. Consequences of acute nitric oxide synthesis inhibition in experimental glomerulonephritis. J Am Soc Nephrol 1994;4:1847-54.

62. Nussler AK, Billiar TR. Inflammation, immunoregulation, and inducible nitric oxide synthase. J Leukoc Biol 1993;54:171-8. https://doi.org/10.1002/jlb.54.2.171

63. Kim K. Effect of subchronic acrylamide exposure on the expression of neuronal and inducible nitric oxide synthase in rat brain. J Biochem Mol Toxicol 2005;19:162-8. https://doi.org/10.1002/jbt.20069

64. Eren I, NaziroÄŸlu M, DemirdaÅŸ A, Celik O, UÄŸuz AC, AltunbaÅŸak A, et al. Venlafaxine modulates depression-induced oxidative stress in brain and medulla of rat. Neurochem Res 2007;32:497-505. https://doi.org/10.1007/s11064-006-9258-9

65. Dringen R, Hirrlinger J. Glutathione pathways in the brain. Biol Chem 2003;384:505-16. https://doi.org/10.1515/BC.2003.059

66. Dringen R. Metabolism and functions of glutathione in brain. Prog Neurobiol 2000;62:649-71. https://doi.org/10.1016/S0301-0082(99)00060-X

67. Gandhi S, Abramov AY. Mechanism of oxidative stress in neurodegeneration. Oxid Med Cell Longev 2012;2012:428010. https://doi.org/10.1155/2012/428010

68. Pe-a-Llopis S, Ferrando MD, Pe-a JB. Impaired glutathione redox status is associated with decreased survival in two organophosphate-poisoned marine bivalves. Chemosphere 2002;47:485-97. https://doi.org/10.1016/S0045-6535(01)00323-X

69. Trevisan R, Arl M, Sacchet CL, Engel CS, Danielli NM, Mello DF, et al. Antioxidant deficit in gills of pacific oyster (Crassostrea gigas) exposed to chlorodinitrobenzene increases menadione toxicity. Aquat Toxicol 2012;108:85-93. https://doi.org/10.1016/j.aquatox.2011.09.023

70. Brigelius-Flohé R, Maiorino M. Glutathione peroxidases. Biochim Biophys Acta 2013;1830:3289-303. https://doi.org/10.1016/j.bbagen.2012.11.020

71. Chatziargyriou V, Dailianis S. The role of selenium-dependent glutathione peroxidase (Se-GPx) against oxidative and genotoxic effects of mercury in haemocytes of mussel Mytilus galloprovincialis (Lmk.). Toxicol In Vitro 2010;24:1363-72. https://doi.org/10.1016/j.tiv.2010.04.008

72. Dasari S, Gonuguntla S, Meriga B, Kedam T. Adverse influence of β-methylcholanthrene on detoxification function of chick embryo brain glutathione S-transferases and degenerative changes of brain. J Appl Pharm Sci 2018;8:111-9.

73. Trevisan R, Mello DF, Uliano-Silva M, Delapedra G, Arl M, Dafre AL, et al. The biological importance of glutathione peroxidase and peroxiredoxin backup systems in bivalves during peroxide exposure. Mar Environ Res 2014;101:81-90. https://doi.org/10.1016/j.marenvres.2014.09.004

74. Coleman J, Blake-Kalff M, Davies E. Detoxification of xenobiotics by plants: chemical modification and vacuolar compartmentation. Trends Plant Sci 1997;2:144-51. https://doi.org/10.1016/S1360-1385(97)01019-4

75. Laborde E. Glutathione transferases as mediators of signaling pathways involved in cell proliferation and cell death. Cell Death Differ 2010;17:1373-80. https://doi.org/10.1038/cdd.2010.80

76. Board PG, Coggan M, Chelvanayagam G, Easteal S, Jermiin LS, Schulte GK, et al. Identification, characterization, and crystal structure of the omega class glutathione transferases. J Biol Chem 2000;275:24798-806. https://doi.org/10.1074/jbc.M001706200

77. Dasari S, Ganjayi MS, Oruganti L, Balaji H, Meriga B. Glutathione s-transferases detoxify endogenous and exogenous toxic agents-minireview. J Dairy Vet Anim Res 2017;5:154. https://doi.org/10.15406/jdvar.2017.05.00154

78. Di Pietro G, Magno LA, Rios-Santos F. Glutathione S-transferases: An overview in cancer research. Expert Opin Drug Metab Toxicol 2010;6:153-70. https://doi.org/10.1517/17425250903427980

79. Mehri S, Abnous K, Khooei A, Mousavi SH, Shariaty VM, Hosseinzadeh H, et al. Crocin reduced acrylamide-induced neurotoxicity in wistar rat through inhibition of oxidative stress. Iran J Basic Med Sci 2015;18:902-8.

80. Hart AD. Relationships between behavior and the inhibition of acetylcholinesterase in birds exposed to organophosphorus pesticides. Environ Toxicol Chem 1993;12:321-36. https://doi.org/10.1002/etc.5620120215

81. Friboulet A, Rieger F, Goudou D, Amitai G, Taylor P. Interaction of an organophosphate with a peripheral site on acetylcholinesterase. Biochemistry 1990;29:914-20. https://doi.org/10.1021/bi00456a010

82. Singh AK, Saxena PN, Sharma HN. Stress induced by beta-cyfluthrin, a type-2 pyrethroid, on brain biochemistry of Albino rat (Rattus norvegicus). Biol Med 2009;1:74-86.

83. Tüzmen MN, Candan N, Kaya E. The evaluation of altered antioxidative defense mechanism and acetylcholinesterase activity in rat brain exposed to chlorpyrifos, deltamethrin, and their combination. Toxicol Mech Methods 2007;17:535-40. https://doi.org/10.1080/15376510701380463

84. Sharma P, Firdous S, Singh R. Neurotoxic effect of cypermethrin and protective role of resveratrol in Wistar rats. Int J Nutr Pharmacol Neurol Dis 2014;4:104. https://doi.org/10.4103/2231-0738.129598

85. Anderson CM, Swanson RA. Astrocyte glutamate transport: Review of properties, regulation, and physiological functions. Glia 2000;32:1-4. https://doi.org/10.1002/1098-1136(200010)32:1<1::AID-GLIA10>3.0.CO;2-W

86. Cerbai F, Lana D, Nosi D, Petkova-Kirova P, Zecchi S, Brothers HM, et al. The neuron-astrocyte-microglia triad in normal brain ageing and in a model of neuroinflammation in the rat hippocampus. PLoS One 2012;7:e45250. https://doi.org/10.1371/journal.pone.0045250

87. Li Y, Tan MS, Jiang T, Tan L. Microglia in Alzheimer's disease. Biomed Res Int 2014;2014:1-7. https://doi.org/10.1155/2014/437483

88. Jangir BL, Mahaprabhu R, Rahangadale S, Bhandarkar AG, Kurkure NV. Neurobehavioral alterations and histopathological changes in brain and spinal cord of rats intoxicated with acrylamide. Toxicol Ind Health 2016;32:526-40. https://doi.org/10.1177/0748233713505893

89. Zhao M, Wang P, Zhu Y, Liu X, Hu X, Chen F, et al. The chemoprotection of a blueberry anthocyanin extract against the acrylamide-induced oxidative stress in mitochondria: Unequivocal evidence in mice liver. Food Funct 2015;6:3006-12. https://doi.org/10.1039/C5FO00408J

Article Metrics
808 Views 356 Downloads 1164 Total

Year

Month

Related Search

By author names

Similar Articles