1. INTRODUCTION
Herbicides are frequently chemical substances that keep undesired plants from growing in residential or agricultural settings, such as invasive species and weeds. The majority of herbicides, especially when sprayed aerially, can significantly reduce the number of non-target plants and the insects that depend on them. Herbicides are frequently used to boost crop yield by stunting the growth of weeds and reducing the farmer’s labor-intensive attempts to do the same. Herbicides are quickly replacing hand weeding, the most traditional form of weed control, in developing nations to increase crop yield [1]. They can cause everything from minor skin irritation to fatalities in terms of health problems. Attackers may come into contact with field workers directly or indirectly as a result of improper application. Herbicide uses among rice farmers increased throughout Asia, particularly in the Philippines, from 14% in 1966 to 61% in 1974 [2]. However, today, 96–98% of rice growers in the Philippines use herbicides [3]. Ninety percentages of the world’s population rely on rice as a staple diet in daily living. Herbicide sprays are widely used nowadays to control weeds, although they are extremely dangerous to both people and animals.
A systemic herbicide belonging to the triazolopyrimidine sulfonamide family is penoxsulam (TP). According to its chemical formula, it is known as [2-(2,2-difluoroethoxy)-N-(5,8-dimethoxy1,2,4] triazolo [1,5-c] pyrimidin-(2-yl)-6-(trifluoromethy) benze-nesulfonamide] [4]. In California, this exacting herbicide was initially applied on rice to combat post-emergence, broad-spectrum weeds (Oryza sativa L). It internally disrupts growing weeds following absorption by the phloem and xylem tissues which lead to death. When rice is transplanted, dry-seeded, or water-seeded, penoxsulam is responsible for controlling grass, sedge, and broadleaf weeds [5]. Penoxsulam overuse has resulted in a number of environmental issues, and as a result, it is now considered to pose a severe threat to the ecosystem and is a source of concern [6].
This herbicide works by inhibiting the acetolactate synthase (ALS) enzyme, which produces valine, leucine, and isoleucine, three branched-chain amino acids required for the synthesis of new plant tissues [7]. Like all herbicides, if used improperly, this one poses a serious toxicity danger. Even though corneal harm is unlikely, eye contact with penoxsulam dust or granules may produce minor irritation. It is not expected that ingesting little amounts will have any negative effects [8].
However, the continuous utilization of herbicide in rice crops field resulting highly adverse impact on the standard of soil which is having dangerous impact to our ecosystems provides mammals, birds, aquatic plants, as well as for the soil ecophysiological population [9]. When soil moisture levels were enhanced, a substantial rise in the penoxsulam dissolving ratio was reported. Reduced surface assimilation of the herbicide ions by the soil particles may be the cause of the half-life reduction at higher soil moisture levels. Herbicide dose levels in the soil formulation increase with higher soil moisture levels as a result of water macromolecules’ interaction with the herbicide as they compete for adsorption sites on the soil colloidal suspension and make the herbicide more readily available to soil microorganisms [10]. Through the processes of transformation or degradation, herbicides may influence the soil environment after entering into soils [11]. For herbicides to be used in a rational and responsible manner, it is crucial to assess their impacts on the soil ecology. The herbicide used for preemergence is applied directly to the soil surface before to the emergence of crops; as a result, it has an impact on the soil’s chemical and microbial environment before postemergence crop maturity. However, little is currently known about how preemergence herbicides affect the soil’s microbial community [12]. Few comparative studies have been done on male rats regarding the negative consequences anticipated to come from repeated exposure to penoxsulam, but it is important to focus on the ecosystem affect. In the present study, Wistar rats were treated to penoxsulam orally and topically to examine the toxicity potential on male rats against it as well as the effects of this herbicide on male Wistar rats, which was chosen as an animal model.
2. MATERIALS AND METHODS
2.1. Animal Selection
2.1.1. Experiment design for dermal and oral exposure
In this investigation, young adult male Wistar rats (weighing 200–300 g) were utilized for topical exposure, along with healthy Wistar rats (aged 6–8 weeks, weighing 130–190 g, and bred at the animal house facility at Shriram Institute for Industrial Research, Delhi).
2.1.2. Animal identification and acclimatization
Rats were housed in wire-mesh topped cages with autoclaved corncob bedding. Each male rat was housed separately in a polypropylene cage with a wire mesh grill. Before the trial, the male rats were acclimated for 5 days, and they were all checked twice daily for any new changes. Animals were randomly assigned on the final day of the acclimatization phase, and each rat was housed separately and given a distinct identifying number using tail marking.
2.1.3. Environmental and fed conditions
In the animal housing facility at the Toxicology Center of the Shriram Institute for Industrial Research, Delhi, the experiment room was maintained at a temperature of 21–23°C, 55–60% humidity, and a 12-h cycle of light and dark (India). The male rats were provided with food and water daily, both of which were monitored in the national accreditation board for testing and calibration laboratories-accredited laboratory at the Shriram Institute for Industrial Research in Delhi [13,14].
2.1.4. Animal welfare
IAEC’s (the Institutional Animal Ethics Committee) consent was obtained before the study could begin. According to good laboratory practices, all animals were handled with respect for their welfare. Adherence to the guidelines established by the Indian government’s CPCSEA committee for the control and supervision of animal studies. Every day, a D-125 disinfection solution was used to wash the floor of the experimental space.
2.1.5. Grouping of animals and dose level
Animals were randomized according to their body weight and divided into four groups of five male rats per group belonging to dermal exposure and ten male rats per group belonging to oral exposure [Table 1]. All the concentration were freshly prepared in a volumetric flask using corn oil as a vehicle for oral exposure and for dermal exposure as such chemical was applied to the skin for various concentrations. All groups are as follows with their concentrations [Table 1] [13].
Table 1: Groups and Dose levels for repeated dermal and oral exposure.
| Group | Repeated dermal exposure | Repeated oral exposure |
|---|---|---|
| Group A | Control group (only distilled water was applied to the skin of the male rats) | Control group (only corn oil was administered to the male rats) |
| Group B | Penoxsulam applied directly to the skin of the male rats with Lowest concentration at 200 mg/kg body weight | Penoxsulam administered orally with Lowest concentration at 100 mg/kg body weight |
| Group C | Penoxsulam applied directly to the skin of the male rats with Mid concentration at 500 mg/kg body weight | Penoxsulam administered orally with Mid concentration at 300 mg/kg body weight |
| Group D | Penoxsulam applied directly to the skin of the male rats with Highest concentration at 1000 mg/kg body weight | Penoxsulam administered orally with Highest concentration at 500 mg/kg body weight |
2.2. Repeated Dose 28 Days Dermal Toxicity Study
A test for repeated exposure of cutaneous toxicity was performed in accordance with Occupation Economic Corporation and Development (OECD) Guideline 410 for Chemical Testing. The prepared penoxsulam was applied directly to the dorsal lateral region of the clean-shaven skin. The chemical was applied to the immediate area of the test animals and, then, covered with porous gauze, non-irritating tape, and an occlusive bandage [Figure 1]. After 6 h of exposure, the dressing was taken off, the “Penoxsulam Technical” was cleaned with cotton wet in distilled water, and the rats in the control group just received a gauze patch moistened with distilled water. 5 days a week for 4 weeks, five male rats per group were treated to three different concentrations throughout a 28-day period using this approach. Weekly intervals saw repeated shaving of the affected area [13].
![]() | Figure 1: Repeated topical application treated with “Penoxsulam Technical” and the treated site was covered with non-irritating and non-toxic adhesive tape. [Click here to view] |
2.2.1. Preparation of animals for skin exposure for dermal experiment before application
Hair on the dorsal region of each animal, which covered 10% of its body surface area, was carefully removed the day before the topical administration to prevent abrasion of the skin and serve as a control for the treatment. Following 6 h of dermal exposure, the test patch was removed, and Draize scoring criteria were used to evaluate the test patch region severely for dermal reactivity. In terms of behavior, this study recorded daily indications of toxicity and appearance in male rats [15]. The scoring criteria (based on Draize J.H.) that are listed below in Table 2 were also used to evaluate the skin reactions that resulted from cutaneous repeated exposure. The body surface area was calculated as follows [15]:
Table 2: Skin reaction for repeated dermal exposure evaluated by Draize scoring criteria.
| Group/Dose (mg/kg body weight) | Observed signs | |
|---|---|---|
| Erythma | Edema | |
| Group A | Not observed | Not observed |
| Group B | Not observed | Not observed |
| Group C | Not observed | Not observed |
| Group D | Not observed | Not observed |
Body surface area = K (body weight of the animal in gram)2/3
Since predictive formulas are straight forward and easy to apply, they are frequently employed to calculate total body surface area (TBSA); approximately, 10% of the body surface area was shaved 24 h before the dermal application of the herbicide. Each animal was applied with the calculated amount of test item and spread uniformly to cover approximately 10% of the total body surface area. Animal models must be used extensively in biomedical research. Numerous studies have focused on the accurate calculation of the TBSA of live laboratory animals for a very long period. The approved Meeh-Rubner formula (TBSA = k W2/3), where W stands for weight, 2/3 is an exponent, and k is a constant, is currently the most widely used approach. Hence, it is simple to utilize for accurate computation of TBSA in a specific weight range of a widely used rat strain, a new precise k constant of Meeh’s equation was established [16].
2.3. Repeated Oral Exposure 90 Days
Based on the acute study and dose range-finding study and existing literature on penoxsulam, concentrations of 100, 300, and 500 mg/kg bodyweight were selected for the main study. The primary study was performed with ten male Wistar rats grouped into four (Group A, Group B, Group C, and Group D) Control group, lowest concentration group, mid concentration group, highest concentration group, and dosages were only supplied to them orally using an appropriate cannula for 90 days. Clinical symptoms, biochemical markers, body weight, organ weight, and feed consumption data were all collected from the animals [14].
2.4. Anesthesia Procedure
Blood was taken from the retro-orbital sinus after carbon dioxide (CO2) exposure to anesthetize all of the male rats for both repeated cutaneous and oral exposure. In a gel tube containing dipotassium ethylenediaminetetra acetic acid anticoagulant, the whole blood was collected. The Beckman Coulter AU480 Clinical chemistry analyzer system measured biochemical parameters such as serum glutamic-pyruvic transaminase (SGPT) u/L, serum glutamine-oxaloacetic transaminase (SGOT) u/L, blood urea nitrogen (BUN) mg/dL, urea, serum alkaline phosphatase (SAP), albumin (ALB), glucose (GLU), and creatinine [14].
2.5. Observation and Evaluation
Throughout the entire experiment, repeated dermal exposure, meticulous on-the-spot observations were made for skin reactions (such as erythema and edema). All changes in the repeated oral experiment were instantly noted during the live portion of the trial. Male rats’ body weights were likewise routinely tracked every week. All of the animals were slaughtered under a mild CO2 anesthesia to collect blood for biochemical analysis, and postmortem examinations were performed in accordance with established standards [17].
2.6. Statistical Analysis
Using Origin Pro 2022, all data were expressed as mean and standard deviation. One-way analysis of variance was used to analyze the data on biochemical markers, body weight, organ weight, and feed consumption using Dunnett’s multiple comparison tests. For several parameters that depend on P-value, statistically significant differences were determined at a 95% confidence level.
If P < 0.05 = Significant
If P > 0.05 = Non-significant.
3. RESULTS AND DISCUSSION
Repeated dermal and oral exposure is a risk to workers, because it is one of the most significant ways to be exposed to pesticides. Herbicide used in market more than 60% in crops and same amount in diet undoubtedly, they have notorious to health as well as ecosystem. Role of herbicides damages the various activities of nervous system, endocrine system, birth defects, cancer, immune system, and reproductive system [18]. Due to a lack of information on the responsible use of pesticides, farmers are uninformed of the potential short- and long-term health impacts of pesticides. Farmers’ front and rear hands frequently showed more than 87% of the deposition, whereas on the other side, farmers’ right upper arms and backs of right thighs frequently showed 19% of the deposition [19].
3.1. Repeated Dermal Exposure for 28 Days
3.1.1. Clinical signs
No mortality was found in the treatment group as well as in the control group of animals. In addition, as compared to the animals in the control group, the treated animals’ skin showed no signs of erythema and edema according to the Draize method [Table 2].
3.1.2. Body weight evaluation
Every male rat’s body weight was measured on a weekly basis, and it was discovered [Figure 2] that there were no variations between the means of the animals from the three concentrations (Group B, C.D., and the control/Group A of animals) that were non- statistically significant [Table 3].
![]() | Figure 2: All the equal bars shows no differences in mean ± standard deviation (SD) of body weight in all the treated male rats along with control male rats at day 1 (before dosing) and day terminal (before sacrifice). [Click here to view] |
Table 3: Mean body weight data of male rats before dosing (day 1) and on the terminal day (29th day).
| Group | Male | |
|---|---|---|
| Day 1 | Terminal | |
| Group A | 248.20±5.02 | 268.00±4.30 |
| Group B | 251.40±5.59 | 271.40±4.93 |
| Group C | 249.20±5.72 | 269.80±5.10 |
| Group D | 248.60±6.99 | 270.40±3.36 |
3.1.3. Organ weight
Organ weight data of liver, kidney, testis, adrenal, heart, spleen, brain, and seminal vesicles for male animals of all the treated groups were found to be comparable with the organ weights of control group of animals [Table 4] and there were not found statistically significant differences mean in exposed rats along with control rats [Figure 3].
Table 4: Mean percentile organ weight data on day 29th after repeated dermal exposure in male rats.
| Experimental Groups | Liver | Kidney | Adrenal | Heart | Spleen | Brain | Testis | Seminal vesicles |
|---|---|---|---|---|---|---|---|---|
| Group A | 4.00±0.04 | 0.95±0.06 | 0.03±0.00 | 0.43±0.02 | 0.25±0.07 | 0.74±0.03 | 0.98±0.02 | 1.41±0.14 |
| Group B | 4.06±0.33 | 0.95±0.04 | 0.03±0.00 | 0.44±0.02 | 0.24±0.02 | 0.72±0.03 | 0.99±0.03 | 1.50±0.06 |
| Group C | 3.94±0.05 | 0.94±0.02 | 0.03±0.00 | 0.42±0.02 | 0.24±0.01 | 0.71±0.01 | 0.96±0.03 | 145±0.06 |
| Group D | 3.99±0.20 | 0.93±0.06 | 0.03±0.00 | 0.42±0.01 | 0.24±0.01 | 0.70±0.02 | 0.96±0.04 | 1.49±0.11 |
![]() | Figure 3: Weight of all the organs as adrenal, heart, brain, spleen, test is, and seminal vesicle organs had observed of exposed rats and found non-significant P > 0.05 differences mean compared with untreated rats. [Click here to view] |
3.1.4. Feed consumption data
Feed consumed by control male rats and all the treated male rats were shown no alterations in whole lifephase experiment in the feed [Table 5]; on the other hand, the growth of feed consumption was elevated as usual as control male rats [Figure 4].
Table 5: Average feed consumption data of male rats after repeated dermal exposure for 28 days.
| Groups | Male (mean±SD) | ||||
|---|---|---|---|---|---|
| Group A | Animal No. 1 | Animal No. 2 | Animal No. 3 | Animal No. 4 | Animal No 5 |
| 14.65±0.47 | 14.81±0.39 | 14.63±0.45 | 14.41±0.40 | 14.49±0.41 | |
| Group B | Animal No. 6 | Animal No. 7 | Animal No. 8 | Animal No. 9 | Animal No. 10 |
| 14.45±0.81 | 14.35±0.84 | 14.30±0.65 | 14.48±0.74 | 14.31±0.79 | |
| Group C | Animal No. 11 | Animal No. 12 | Animal No. 13 | Animal No. 14 | Animal No. 15 |
| 14.38±0.91 | 14.32±0.89 | 14.23±0.63 | 14.07±0.72 | 14.00±0.66 | |
| Group D | Animal No. 16 | Animal No. 17 | Animal No. 18 | Animal No. 19 | Animal No. 20 |
| 14.75±0.68 | 14.26±0.62 | 14.41±0.75 | 14.35±0.66 | 14.33±0.65 | |
![]() | Figure 4: A non-significant (P > 0.05) change in the amount of feed consumed by male rats in each of the three concentration groups as well as the control group of rats is shown by all corresponding bars. [Click here to view] |
3.1.5. Biochemical Evaluation
BUN, serum alkaline phosphatase, ALB, GLU, SGPT, and SGOT were all measured in serum samples from all groups using the AU480 Beckman Coulter auto-analyzer system [Table 6]. No changes were noticed in serum sample of male rats after dose application [Figure 5].
Table 6: Biochemical examination done at the terminal sacrifice on day 29th.
| Parameters | ALB (g/dL) | GLU (mg/dL) | SGOT (u/L) | SGPT (u/L) | BUN (mg/dL) | SAP (u/L) |
|---|---|---|---|---|---|---|
| Group A | 4.66±0.51 | 89.60±2.19 | 89.40±7.73 | 48.06±4.25 | 21.92±3.65 | 129.66±3.34 |
| Group B | 4.88±0.36 | 89.00±3.94 | 88.60±3.91 | 49.58±3.46 | 23.46±2.21 | 128.46±4.12 |
| Group C | 4.72±0.31 | 87.80±3.76 | 90.60±6.74 | 48.14±0.98 | 19.54±1.34 | 129.14±8.41 |
| Group D | 4.29±0.12 | 86.60±1.34 | 89.40±7.02 | 50.13±5.83 | 20.74±2.81 | 127.00±2.35 |
SGPT: Serum glutamic-pyruvic transaminase u/L, SGOT: Serum glutamine-oxaloacetic transaminase u/L, ALB: Albumin g/dL, GLU: Glucose mg/dL, BUN: Blood urea nitrogen mg/dL, SAP: Serum alkaline phosphatase u/L, M: Male
![]() | Figure 5: Non-significant (P > 0.05) changes were seen in both treatment and control group male rats following topical dermal patch application. [Click here to view] |
In a study on repeated exposure, daily doses of penoxsulam administered to male animals at doses of 200, 500, and 1000 mg/kg for 28 days in a row did not result in any casualties or toxic symptoms, but non-significant (P > 0.05) changes were found in feed consumption, body weight, organ weight, and biochemical parameters in serum samples. Our results were in agreement with EPA, 2004.
Overall, the Draize Scoring System for Erythema and Edema and any specific skin indication were not significantly correlated [Table 2]. According to a study conducted in 1993 by Chester, the negative effects of pesticide exposure through the skin can result in many systemic diseases that can be fatal as well as skin irritation. Our findings on oral and cutaneous toxicity were similarly validated by EPA, 2004 [20].
3.2. Repeated Oral Exposure for 90 Days
3.2.1. Clinical symptoms
Male animal was observed daily for clinical symptoms and, in this study, found no mortality or toxic signs and symptoms in any of the dose concentration (Group A, Group B, and Group C). However, in the highest concentration (Group D), all the animals demonstrated ruffled fur, lethargy, anorexia, discoloration of feces, emaciation, hunched posture, and polyuria [Table 7].
Table 7: Clinical observation during 90 days oral exposure (lifephase experiment).
| Group and Dose level | Clinical symptoms |
|---|---|
| Group A | No toxic sign and symptoms were noticed |
| Group B | No treatment-related toxic sign and symptoms were noticed |
| Group C | No treatment-related toxic sign and symptoms were noticed |
| Group D | Ruffled fur, lethargy, anorexia, discoloration of feces, emaciation, hunched posture and polyuria |
3.2.2. Mean body weight
Body weight was recorded accurately and promptly on the weekly basis till 90 days. Body weight gain of the lowest concentration (Group B) and mid concentration (Group C) animals was comparable to that of control (Group A) animals. However, bodyweight gain in the highest concentration (Group D) of animals was reduced in male rats from 6 week onward till end of the experiment when compared to that of the control (Group A) of animals after administration of the dose; though the reduction was statistically significant in the highest concentration (Group D) [Table 8 and Figure 6].
Table 8: Effect of various dose levels on body weight of male Wistar rats during repeated 90 days lifephase experiment before dosing and on the end day of experiment before sacrifice.
| Week | Before dosing | 1 | 2 | 3 | 4 | 5 | 6 | 7 | 8 | 9 | 10 | 11 | 12 | end day of experiment before sacrifice |
|---|---|---|---|---|---|---|---|---|---|---|---|---|---|---|
| Group A | 121.80±4.92 | 141.40±4.35 | 157.90±3.28 | 168.50±3.50 | 175.30±3.80 | 183.20±3.97 | 193.10±3.41 | 200.70±2.91 | 208.70±2.67 | 220.50±2.51 | 231.60±2.88 | 241.80±3.65 | 252.90±4.65 | 262.70±5.76 |
| Group B | 122.70±3.62 | 142.30±6.06 | 159.40±4.67 | 166.80±4.66 | 174.80±4.73 | 181.70±4.60 | 190.00±4.16 | 200.50±4.88 | 208.20±4.32 | 218.50±3.89 | 229.90±4.51 | 242.30±4.24 | 252.30±3.68 | 261.60±3.31 |
| Group C | 124.40±4.33 | 143.10±4.86 | 159.10±4.48 | 169.60±5.52 | 174.60±5.62 | 183.80±4.44 | 191.50±4.88 | 199.00±4.94 | 207.30±4.76 | 215.60±4.93 | 226.20±5.35 | 236.20±5.63 | 246.00±5.77 | 257.00±5.77 |
| Group D | 122.10±3.93 | 139.40±5.02 | 155.10±4.68 | 167.30±4.47 | 173.90±3.87 | 181.10±4.70 | 186.30**±4.47 | 191.50**±4.97 | 196.60**±4.81 | 201.80**±4.92 | 206.80**±4.83 | 210.70**±5.08 | 214.90**±5.00 | 219.00**±5.23 |
** Significant (P > 0.05)
![]() | Figure 6: Growth curve of male rats during the period of the life-phase experiment. [Click here to view] |
3.2.3. Feed consumption analysis
Feed consumption of the animals was recorded weekly for 90 days. Feed consumption data of the male animals were found similar in Group B and Group C concerning the control (Group A) group except in highest concentration Group D, there was observed reduction in feed consumption of male rats 8 weeks onward [Table 9]. All astric value shows significantly reduced in feed consumed by male rats [Figure 7].
Table 9: Effect of penoxsulam on feed consumption data of male rats in life phase of 90 days experiment.
| Weeks | Total feed wt. (in gms) | Group A | Group B | Group C | Group D | ||||
|---|---|---|---|---|---|---|---|---|---|
| Feed consumed (gms) | Remaining feed (gms) | Feed consumed (gms) | Remaining feed (gms) | Feed consumed (gms) | Remaining feed (gms) | Feed consumed (gms) | Remaining feed (gms) | ||
| 1 | 200.00±0.00 | 189.14±0.90 | 10.86±0.90 | 189.43±0.98 | 10.57±0.98 | 188.86±1.57 | 11.14±1.57 | 189.43±0.98 | 10.57±0.98 |
| 2 | 200.00±0.00 | 189.86±1.07 | 10.14±1.07 | 189.71±1.11 | 10.29±1.11 | 189.86±1.21 | 10.14±1.21 | 188.71±2.43 | 11.29±2.43 |
| 3 | 200.00±0.00 | 189.57±0.98 | 10.43±0.98 | 189.29±1.38 | 10.71±1.38 | 190.00±1.15 | 10.00±1.15 | 189.43±1.51 | 10.57±1.51 |
| 4 | 200.00±0.00 | 189.43±0.79 | 10.57±0.79 | 189.71±1.11 | 10.29±1.11 | 189.29±1.11 | 10.71±1.11 | 190.29±1.50 | 9.71±1.50 |
| 5 | 200.00±0.00 | 189.86±2.19 | 10.14±2.19 | 190.71±1.38 | 9.29±1.38 | 190.43±1.27 | 9.57±1.27 | 189.29±1.38 | 10.71±1.38 |
| 6 | 200.00±0.00 | 189.71±1.11 | 10.29±1.11 | 189.86±1.07 | 10.14±1.07 | 189.57±1.72 | 10.43±1.72 | 189. 189.43±1.13 | 10.57±1.13 |
| 7 | 200.00±0.00 | 189.71±1.80 | 10.29±1.80 | 188.86±1.35 | 11.14±1.35 | 189.43±1.51 | 10.57±1.51 | 188.29±1.89 | 11.71±1.89 |
| 8 | 200.00±0.00 | 190.71±0.76 | 9.29±0.76 | 190.57±0.98 | 9.43±0.98 | 189.00±1.53 | 11.00±1.53 | 177.14±4.30** | 22.86±4.30** |
| 9 | 200.00±0.00 | 189.57±1.90 | 10.43±1.90 | 189.71±1.80 | 10.29±1.80 | 189.71±1.50 | 10.29±1.50 | 179.71±2.98** | 20.29±2.98** |
| 10 | 200.0±0.00 | 190.14±1.35 | 9.86±1.35 | 188.86±1.57 | 11.14±1.57 | 189.43±2.15 | 10.57±2.15 | 177.14±3.29** | 22.86±3.29** |
| 11 | 200.00±0.00 | 190.00±0.82 | 10.00±0.82 | 189.00±1.53 | 11.00±1.53 | 188.71±2.29 | 11.29±2.29 | 179.14±2.27** | 20.86±2.27** |
| 12 | 200.00±0.00 | 189.86±1.68 | 10.14±1.68 | 189.57±0.98 | 10.43±0.98 | 189.71±1.80 | 10.29±1.80 | 177.43±5.35** | 22.57±5.35** |
| 13 | 200.00±0.00 | 189.00±1.26 | 11.00±1.26 | 190.00±1.90 | 10.00±1.90 | 188.17±1.47 | 11.83±1.47 | 178.17±2.48** | 21.83±2.48** |
** Significant (P > 0.05)
![]() | Figure 7: Weekly growth curve of feed consumption data in male rats during life phase experiment. Group D represent drastic reduction in feed intake by male rats at highest concentration. [Click here to view] |
In this regard [20], discovered that male rats given penoxsulam orally for repeated 90 days saw lower body weight and feed consumption than the animals in the control group. We noticed lower feed intake in the treated rats at the highest concentration in the current trial, together with reduced body weight in the treatment group of animals. The liver and kidneys’ organ weights have decreased as a result of losing weight. Reduced food and water intake in treated rats, as reported by Lee et al. [18] and Tayeb et al. [21], may have contributed to the decreased body weight gain in treatment animals [22].
3.2.4. Organ weight
Organ weight data of liver, kidney, adrenal, heart, brain, spleen, testis, and seminal vesicle for exposed male rats for lowest and mid concentration (Group B and Group C) were found to be comparable with the organ weights of untreated animals (Group A). However, there was found statistically decreased in liver and kidney weight of male rats after sacrificing the animals on day 91st [Figure 8] at the highest concentration (Group D) while, the weight of adrenal, heart, brain, spleen, testis and seminal vesicle were recorded in the normal range [Table 10]. Relative organ weight was calculated by given formula from the absolute organ weight and fasted body weight.
![]() | Figure 8: Graph represents the significant data of organ weight (liver and kidney) in male rats after sacrifice the animals on 91st day, besides this adrenal, heart, brain, spleen, test is, and seminal vesicle organs values were found normal in range. [Click here to view] |
Table 10: Post dosing effect of penoxsulam on organ weight in Wistar rats on day 91st.
| Group | Liver | Kidney | Adrenal | Heart | Brain | Spleen | Testis | Seminal vesicles |
|---|---|---|---|---|---|---|---|---|
| Group A | 9.54±0.54 | 1.96±0.06 | 0.08±0.01 | 0.79±0.25 | 1.62±0.33 | 0.52±0.05 | 1.99±0.16 | 1.29±0.06 |
| Group B | 9.32±0.34 | 2.00±0.02 | 0.09±0.01 | 0.88±0.03 | 1.78±0.05 | 0.52±0.02 | 1.94±0.09 | 1.24±0.05 |
| Group C | 9.06±0.24 | 1.94±0.09 | 0.08±0.01 | 0.90±0.02 | 1.77±0.06 | 0.51±0.01 | 2.00±0.05 | 1.19±0.09 |
| Group D | 7.57±0.63** | 0.75±0.15** | 0.09±0.01 | 0.87±0.04 | 1.70±0.03 | 0.52±0.03 | 1.92±0.15 | 1.20±0.05 |
** Significant (P > 0.05)
Relative organ weight (%) = Absolute organ weight ÷ Fasted body weight (g) × 100
The results of the current investigation show that male rat liver weight was 7.57 ± 0.63** g and kidney weight was 0.75 ± 0.15** g which was significant than control male liver 9.54 ± 0.54 g and kidney male weight 1.96 ± 0.06 g. It was also found by few scientists that the weight of organs liver and kidney had a together correlation between body weight and organ weight. Based on research demonstrating that chronic circulatory disturbance is a necessary action preceding sacrifice, decreased body weight discovered that there were favorable reductions in organ weights [11]. The author recently found, in accordance with the findings of a few other studies like [23], that there is a positive correlation between the weight of the male rat kidneys and body weight. Recent discoveries also corroborated the findings of Sahni et al. [24], who found that a male’s kidney weight was lower than that of a control guy as a result of a reduction in body weight.
3.2.5. Biochemical Evaluation
The biochemical parameters of all the male Wistar rats were examined in the serum sample revealed no modifications and no significant change in the lowest concentration (Group B) and mid concentration (Group C) group concerning the control (Group A) group; however, a slight increase in serum glutamate oxaloacetate transferase, serum glutamate pyruvate transferase, BUN, urea, and creatinine [Table 11] was noticed in animals belonging to the highest concentration (Group D) group that was observed at terminal sacrifice, that is, the 91st day. Figure 9 present that the biochemical enzymes i.e SGOT, SGPT, BUN, Urea, and Creatinine of the highest concentration (Group D) showed highly significant values as compared to the control group (Group A) of male rats.
Table 11: Effect of penoxsulam on biochemical parameters in male Wistar rats on day 91st (after sacrificed).
| Group and Dose level | SGOT U/L | SGPT U/L | BUN mg/dL | Urea mg/dL | Creatinine mg/dL |
|---|---|---|---|---|---|
| Group A | 87.70±2.31 | 51.05±3.18 | 17.99±0.72 | 38.37±1.43 | 0.77±0.07 |
| Group B | 90.81±5.56 | 51.08±2.34 | 18.42±0.83 | 39.23±1.65 | 0.77±0.05 |
| Group C | 88.74±2.89 | 50.79±2.05 | 18.16±1.22 | 38.71±2.44 | 0.76±0.03 |
| Group D | 97.91±2.08** | 63.65±2.05** | 22.44±2.11** | 47.27±4.21** | 1.29±0.28** |
SGPT: Serum glutamic-pyruvic transaminase u/L, SGOT: Serum glutamine-oxaloacetic transaminase u/L, BUN: Blood urea nitrogen mg/dL.
** Significant (P > 0.05)
![]() | Figure 9: Biochemical representation on male rats was found normal values in lowest concentration and mid concentration as compared to control male rats. However, P < 0.05 = highly significant in serum glutamic oxaloacetic transaminase, as serum glutamic-pyruvic transaminase, blood urea nitrogen, urea, and creatinine of highest concentration (Group D). [Click here to view] |
Aminotransferase enzymes include Serum Glutamate Oxaloacetate Transferase (SGOT), Serum Glutamate Pyruvate Transferase (SGPT) are enzymes produced by the liver and its cells, elevated SGPT and SGOT levels are an indication of hepatic cells injury. Increased activity of SGPT and SGOT enzymes denotes the restricted growth of hepatic cells [25]. Observation of recent experiment shows the significant increased in serum glutamate oxaloacetate transferase and serum glutamate pyruvate transferase activities in treated rats at the highest concentration [Table 11]. It was communicated that higher value of serum glutamate oxaloacetate transferase and serum glutamate pyruvate transferase in animals exposed to herbicide is due to the leakage of aminotransferase enzymes from damaged liver cells [26].
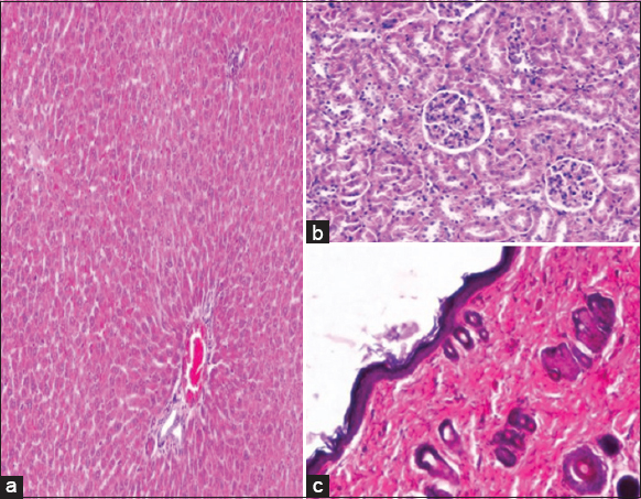
3.2.6. Histopathological findings for repeated dermal exposure
3.2.6.1. Liver
Penoxsulam (1000 mg/kg b.wt.) treatment of the liver tissues revealed a normal structure of the liver hepatocytes on histological examination. Serum levels of ALB, GLU, glutamine-oxaloacetic transaminase, and glutamic-pyruvic transaminase in male rats in the treatment groups as well as in the control group were all within normal ranges, and no significant modifications are shown [Figure 10a].
![]() | Figure 10: (a-c) Histopathology section for repeated dermal exposure in Wistar rats. [Click here to view] |
3.2.6.2. Kidney
BUN levels and SAP are both normal. The glomeruli and Bowman’s capsule in the renal tissues of male rats that had been given the maximum dose of penoxsulam, or 1000 mg/kg b.wt, had normal structures and showed no differences from those in the control group [Figure 10b].
3.2.6.3. Skin
Male rats treated with penoxsulam at the highest concentration (1000 mg/kg b.wt) displayed a normal epidermis layer with a perfect cell sequence in the histological analysis of their skin; in contrast to the control group of animals, no microscopic abnormalities were visible [Figure 10c]. The following is a summary of the histopathological alterations in the current study:
Enormous ratio of ALP is found in liver and in bones. It is an important enzyme that helps in body metabolism. Activity of SGPT, SGOT, and ALP enzyme is the biomarker major connected to hepatic injury [27]. The current study, exposure of Penoxsulam to the Wistar rats observed a elevation of SGPT, SGOT and ALP enzymes direct communicated to hepatic cell death.
Value of creatinine and urea at upper side are indication of kidney dysfunction activity. As Creatinine is squander enzyme largely from the muscle breakdown [28]. Highest concentration of Penoxsulam showed a significant elevation in urea and creatinine acccording to Jestadi et al., [26] elevated value of urea and creatinine indication of nephrotoxicity.
To reduce the long-term health effects of cutaneous pesticide contamination, it was crucial to take this factor into account. For 100 of years, scientists have used animals as replicas to predict what substances and environmental conditions would do to people [29]. Short-term exposure may not have immediate impacts due to the body’s chemical buildup, but repeated exposures can have delayed effects. The negative or harmful general toxicological consequences of repeated exposure can be localized or systemic [30,31]. Due to the widespread use of multi-drug therapy in modern human clinical pharmacology, there are numerous documented instances of both advantageous and potentially harmful interactions with pesticides [32]. Symptoms of the smooth muscle of the bladder contracting include strangulation and frequent, unintentional urine.
When subjected to a cocktail of pesticides (monocrotophos, hexachlorocyclohexane, and endosulfan) at various intervals, the liver, kidney, and muscles of normal, protein-malnourished, diabetic, and both protein-malnourished and diabetic albino rats experienced histopathologic alterations. Hepatotoxic, nephrotoxic, and muscle necrotic effects were discovered in the evaluation of the pesticide-exposed rats. The toxicity was made worse and more severe in mice with diabetes and protein malnutrition, or in animals with both of these illnesses [33,34]. According to Mostafa et al. [35], mice given carbofuran have higher serum transaminases and BUN levels, which indicate damage to hepatic and renal tissues. Biochemical indications of pesticide exposure at work include serum values of urea, creatinine, bilirubin, aspartate amino transferase, and alanine amino transferase. The significantly higher levels of alanine transaminase (ALT), aspartate transaminase (AST), and alkaline phosphatase (ALP) in mango plantation pesticide sprayers compared to the control group suggest that high levels of pesticide exposure cause liver tissue damage [36]. The pesticide sprayers of the mango plantation in Malihabad had much higher levels of ALT, AST, and ALP than the control group, which suggests that there has been severe liver tissue damage as a result of the pesticide exposure. ALP and transaminase enzyme levels have been found to be higher in populations that have been exposed to OP and carbamate insecticides [37]. Since, almost a century ago, rats have been beneficial or profitable in toxicological pre-clinical animal research studies.
4. CONCLUSION
This study used several physiological tests on rats to look at the effects of herbicides on the cutaneous and oral routes. A crucial component of forward biological analysis is the rat model. The widespread view is that rodent models of rat reactions to physical exertion resemble human responses. More crucially, because rats and people have similar basic anatomical structures, they frequently contract the same poisons that make us sick. This study’s findings show that the herbicide penoxsulam had no negative effects on the outer layer of skin (epidermis), and that it had no physiological or histological effects on the skin of the liver or kidney of the rats exposed to it for a period of 28 days.
The most severe clinical symptoms are, however, caused by repeated oral exposure and are accompanied by a drop in body weight, organ weight, and feed consumption data with an elevated serum value. This implies that at the highest concentration, the body’s overall chemical activity is out of homeostasis. According to the trial’s findings, penoxsulam herbicide is hazardous when administered orally repeatedly at the highest dose yet safe for repeated topical treatment at the highest concentration.
5. AUTHORS’ CONTRIBUTIONS
All authors made substantial contributions to conception and design, acquisition of data, or analysis and interpretation of data; took part in drafting the article or revising it critically for important intellectual content; agreed to submit to the current journal; gave final approval of the version to be published; and agreed to be accountable for all aspects of the work. All the authors are eligible to be an author as per the International Committee of Medical Journal Editors (ICMJE) requirements/guidelines.
6. FUNDING
This research received no specific grant from any funding agency in the public.
7. CONFLICTS OF INTEREST
The authors report no financial or any other conflicts of interest in this work.
8. ETHICAL APPROVALS
Before the start of the experiment, the Institutional Animal Ethics Committee (IAEC’s) consent for this investigation was received with the reference number (SRI/IAEC/2/11/2017/80).
9. DATA AVAILABILITY
Data will be made available as per the journal policy.
10. PUBLISHER’S NOTE
This journal remains neutral with regard to jurisdictional claims in published institutional affiliation.
REFERENCES
1. Zhang ZP. Development of chemical weed control and integrated weed management in China. Weed Biol Manag 2003;3:197-203. [CrossRef]
2. De Datta SK, Barker R. Economic evaluation of modern weed control techniques in rice. Agricultural Economics Department, International Rice Research Institute;1975.
3. Marsh S. Herbicide Use Strategies and Weed Management Options in Filipino and Australian cropping. Australia:Australian Centre for International Agricultural Research;2009.
4. Yasuor H, Osuna MD, Ortiz A, Saldain NE, Eckert JW, Fischer AJ. Mechanism of resistance to penoxsulam in late watergrass [
5. Deboer GJ, Thornburgh S, Ehr RJ. Uptake, translocation and metabolism of the herbicide florasulam in wheat and Broadleaf weeds. Pest Manag Sci 2006;62:316-24. [CrossRef]
6. Torrents A, Jayasundera S, Schmidt WJ. Influence of the polarity of organic matter on the sorption of acetamide pesticides. J Agric Food Chem 1997;45:3320-5. [CrossRef]
7. Koschnick TJ, Netherland MD, Haller WT. Effects of three ALS-inhibitors on five emergent native plant species in florida. J Aquat Plant Manag 2007;45:47-51.
8. GR Herbicide Material Safety Data Sheet, Product Code:66747. Indiana, United States:Dow Agro Sciences LLC;2004. p. 2-3.
9. Sondhia S, Rajput S, Varma RK, Kumar A. Biodegradation of the herbicide penoxsulam (triazolopyrimidine sulphonamide) by fungal strains of
10. Ismail BS, Mazlinda M, Zuriati Z. Effects of temperature, soil moisture content and soil type on the degradation of cypermethrin in two types of Malaysian agricultural soils. World Appl Sci J 2012;17:428-32.
11. Chowdhury A, Pradhan S, Saha M, Sanyal N. Impact of pesticides on soil microbiological parameters and possible bioremediation strategies. Indian J Microbiol 2008;48:114-27. [CrossRef]
12. Pereira JL, Antunes SC, Castro BB, Marques CR, Gonçalves AM, Gonçalves F,
13. Guideline OT. OECD Guidelines for the Testing of Chemicals. Test Guideline. Paris, France:Organisation for Economic Co-operation and Development;1981. 201.
14. Organisation for Economic Co-operation and Development. OECD Guideline for Testing of Chemicals:Repeated dose 90 Days Oral toxicity Study in Rodents Guideline No. 408. Vol. 25. Paris, France:Organization for Economic Co-operation and Development;2018.1-14.
15. Draize JH, Woodard G, Calvery HO. Methods for the study of irritation and toxicity of substances applied directly to the skin and mucous membranes. J Pharmacol Exp Ther 1944;82:377-90.
16. Gouma E, Simos Y, Verginadis I, Lykoudis E, Evangelou A, Karkabounas S. A simple procedure for estimation of total body surface area and determination of a new value of Meeh's constant in rats. Lab Anim 2012;46:40-5. [CrossRef]
17. Luna LG. Manual of Histological Staining Methods of the Armed Forced Institute of Pathology. New York:McGraw Hill;1969.
18. Lee K, Johnson VL, Blakley BR. The effect of exposure to a commercial 2, 4-D formulation during gestation on the immune response in CD-1 mice. Toxicology 2001;165:39-49. [CrossRef]
19. Aragon A, Blanco LE, Funez A, Ruepert C, Liden C, Nise G,
20. Environmental Protection Agency. Penoxsulam:Report of the Cancer Assessment Review Committee PC Code:119031. Office of Prevention, Pesticides and Toxic Substances. United States:Environmental Protection Agency;2004
21. Tayeb W, Nakbi A, Trabelsi M, Attia N, Miled A, Hammami M. Hepatotoxicity induced by sub-acute exposure of rats to 2, 4-dichlorophenoxyacetic acid based herbicide “désormone lourd“. J Hazard Mater 2010;180:225-33. [CrossRef]
22. Mansour SA, Mossa AT. Oxidative damage, biochemical and histopathological alterations in rats exposed to chlorpyrifos and the antioxidant role of zinc. Pestic Biochem Physiol 2010;96:14-23. [CrossRef]
23. Kasiske BL, Umen AJ. The influence of age, sex, race, and body habitus on kidney weight in humans. Arch Pathol Lab Med 1986;110:55-60.
24. Sahni D, Jit I, Sodhi L. Weight and measurements of kidneys in northwest Indian adults. Am J Hum Biol 2001;13:726-32. [CrossRef]
25. Patrick-Iwuanyanwu KC, Wegwu MO, Ayalogu EO. The protective nature of garlic, ginger and Vitamin E on CCl4-induced hepatotoxicity in rats. Asian J Biochem 2007;2:409-14. [CrossRef]
26. Jestadi DB, Phaniendra A, Babji U, Srinu T, Shanmuganathan B, Periyasamy L. Effects of short term exposure of atrazine on the liver and kidney of normal and diabetic rats. J Toxicol 2014;2014:536759. [CrossRef]
27. Gad SC. Laws and regulations governing animal care and use in research. In:Animal Models in Toxicology. Oxfordshire:Taylor and Francis;2007.
28. Sharafeldin K, Abdel-Gawad H, Ramzy E, Sweilum M, Nagy M. Harmful impact of profenofos on the physiological parameters in Nile tilapia,
29. Vinardell MP, Mitjans M. Alternative methods for eye and skin irritation tests:An overview. J Pharm Sci 2008;97:46-59. [CrossRef]
30. Andersen V, Sonne J, Sletting S, Prip A. The volume of the liver in patients correlates to body weight and alcohol consumption. Alcohol Alcohol 2000;35:531-2. [CrossRef]
31. Liu XM, Shao JZ, Xiang LX, Chen XY. Cytotoxic effects and apoptosis induction of atrazine in a Grass carp (
32. Johnson M, OA D. Hepatotoxicity of House Hold Kerosene (HHK) on liver enzyme markers and its effect on hematological and oxidative stress parameters on wistar albino rats. Sci J Med Clin Trials. 2014:2-6. [CrossRef]
33. Benjamin N, Kushwah A, Sharma RK, Katiyar AK. Histopathological changes in liver, kidney and muscles of pesticides exposed malnourished and diabetic rats. Indian J Exp Biol 2006;44:228-32.
34. Bhatnagar VK, Sharma RP, Malviya AN. Effects of pesticidal stress amongst pesticide factory workers in Agra, India. Public Health 1980;94:375-8. [CrossRef]
35. Mostafa IY, Zayed SM, Farghaly M, Mahdy F. Bioavailability to rats and toxicity in mice of carbofuran residues bound to faba beans. J Environ Sci Health B 1992;27:399-405. [CrossRef]
36. Jamal F, Haque SQ, Singh S, Arshad MD. The influence of pesticides on hepatic and renal functions in occupational sprayers of rural Malihabad, Lucknow (India). Toxicol Open Access 2016;1:2. [CrossRef]
37. Michalek JE, Ketchum NS, Longnecker MP. Serum dioxin and hepatic abnormalities in veterans of operation ranch hand. Ann Epidemiol 2001;11:304-11. https://doi.org/10.1016/S1047-2797(00)00218-0 PMid:11399444









