1. INTRODUCTION
The hepatitis C virus (HCV) is a spherical enveloped, positive-sense, and single-stranded RNA virus that belongs to genus Hepaciviridae, a member of family Flaviviridae. Based on genetic differences between HCV isolates, the HCV species is classified into six genotypes [1,2] of which genotype 3 is thought to have its origin in South East Asia [3]. Genotypes differ by 30–35% of the nucleotide sites over the complete genome [4]. Geographically, HCV genotypes 1, 2, and 3 are more prevalent and affect approximately 170–200 million individuals around the world with an addition of 3-4 million people being infected and causing 350,000 deaths every year [5-7]. HCV is transmitted through contaminated blood which makes the intravenous drug users, hemodialysis (HD) patients, and recipients of blood products at higher risk. Moreover, it has been found that one of the most common modes of HCV transmission is nosocomial [8]. No effective HCV vaccine is currently available and recent studies indicate that it is possible to develop a vaccine to prevent HCV. Depending on the absence or presence of cirrhosis, treatment with pan-genotypic direct-acting antivirals may cure most patients with HCV infection, and the duration of treatment is limited (usually 12–24 weeks) [9].
Most of the dialysis centres follow Tri-dot and ELISA methods to screen HCV which are highly sensitive in normal cases. However, reports confirmed that dialysis treatment may show a decrease in cellular and humoral immunity, which may lower the sensitivity of the HCV test and show false-negative results [2,4]. Comparison studies conducted in 2019 in Kolkata, East India, have shown that ELISA alone cannot be recommended for diagnosis because of high number of false positives. They also found that TRI-dot was cost-efficient, rapid, and sensitive with exceptions of early infection detection for which PCR was considered a better option [10]. The HCV prevalence rate of HD patients in India is reported to be 3–45% [8]. This study aims to investigate the HCV prevalence in HD patients of Andhra Pradesh, Southern India and to inspect the efficiency of different serological and molecular detection methods. A similar study conducted in 2015 in Punjab, Northern India, where 15% of people are actively infected by HCV showed that the awareness in common people was below 50% in all of the above-mentioned categories [11,12].
2. METHODOLOGY
2.1. Sample Collection
A total of 1656 patients in various districts of Andhra Pradesh are admitted to different government and private dialysis centres. Those districts covered are predominantly Chittoor, Kadapa, Kurnool, Anantapur, and Nellore. First screened for date of joining and number of dialysis per week using oral questionnaire and data collected from record, those eligible were selected and consent was taken. Four hundred and ten patients are selected for above 2 years who have been under the treatment for the last more than 2 years were voluntarily enrolled in this study. These 410 patients are screened serologically for HCV before and current treatment.
Three-milliliter blood samples collected from chronic HD non-remunerated patients who have been under the treatment for the last more than 2 years were voluntarily enrolled in this study. The collected blood was centrifuged and separated serum, 1 ml serum was stored in –80°C in further use. The 410 (328 male and 82 female) patients belonged to different parts of Andhra Pradesh.
2.2. Serological Method
Initial screening was performed using Tri-dot (antibody) method 100 µl serum was used according to the manufacturer’s protocol (J Mitra and Co Pvt. Ltd, India), 200 µl of serum was used for investigation of SGOT and SGPT automation analysis according to the manufacturer’s protocol (Aspen Laboratories Pvt. Ltd., India).
2.3. RNA Isolation and Complementary DNA (cDNA) Synthesis
Total RNA was extracted by mixing 250 μl patients’ blood serum with 750 μl TRI Reagent (1:3) (Ambion Life Technology, USA) by following the manufactures instructions and the isolated RNA was stored at –80°C.
cDNA was synthesized from isolated total RNA using the RevertAid Reverse transcriptase enzyme (Thermo Scientific, USA) as per the manufacturer’s protocol. Total RT reaction volume is 20 μL (1 μL of a random hexamer primer; 1 μL reverse transcriptase; 1 μL RiboLock RNase inhibitor; 4 μL of ×5 reaction buffer; and 2 μL of 10 Mm dNTP mix) and the reaction was carried out in a thermocycler with the following conditions 65°C for 5 min, 25°C for 5 min, 42°C for 60 min, and 72°C for 5 min.
2.4. PCR Amplification, Cloning, and Sequencing of HCV Core Region
PCR amplification of the core region was done using universal and genotype-specific outer, inner forward primer and outer, inner reverse primer as illustrated in Table 1. The PCR amplification was standardized in a 50 μL reaction mix comprising of ×10 Taq DNA polymerase buffer (20 Mm Tri-HCL PH 8.8, 10 mM Mgcl2, 10 mM (NH4)2SO4, 0.1% Tween 20) 0.2 mM dNTPS, 10 pmol of each of primers forward, and reverse, 1.5 mM Mgcl2, 20 ng of cDNA as a template, and 2.5 U of recombinant Taq DNA polymerase (Thermo Fermentas, USA). Thermal cycling was programmed in Applied Biosystems, USA, with an initial denaturation of 94°C for 5 min followed by 35 cycles of 94°C for the 30 s, 59–61°C for 45 s, 72°C for 1.5 min, and the final extension at 72°C for 7 min. The genotype 3b specific primer condition is an initial denaturation of 94°C for 3 min followed by 35 cycles of 94°C for the 30 s, 62°C for 45 s, 72°C for 1.5 min, and a final extension at 72°C for 7 min. The amplified PCR product was resolved on a 1.5% agarose gel and documentation system (UVP, USA). The HCV amplified region was eluted from agarose gel using the QIA quick gel extraction kit (QIAGEN, USA). The purified PCR product was cloned into a Ptz57R/T vector using INSTA Clone PCR Cloning Kit (Thermo Scientific, USA) according to the manufacturer’s protocol. The recombinant plasmid was confirmed in the presence of the HCV gene by PCR, a positive plasmid was sequenced at Sci Genome Pvt. Ltd., India, and the sequence analysis was performed using the BLAST TOOL (Online CLUSTALW, BioEdit (ver-7.2.5).
2.5. Statistical Analysis
Data analysis was performed using the SPSS20 statistical software to describe different variables such as percentage, mean, standard deviation, and P-value to compare HCV Tri-dot positive with PCR positive values. Perform Chi-square tests.
2.6. Phylogenetic Analysis
Construction of phylogenetic trees based on sequences from the HCV sequence database. The final sequences contig was assembled using CAP program of BioEdit v 7.2.5. The nucleotide and deduced amino acid sequences were confirmed using the BLAST tool. Using the nucleotide sequence of HCV as a query in NCBI-tBLASTn and collect the different genotypes and sub-genotypes of HCV core region sequences from sequence database (NCBI). Seven different genotypes and subtypes, 28 sequences were considered for phylogenetic analysis. Translated nucleotide sequences obtained were aligned using MUSCLE 3.8 [13]. MEGA X was used to compare all the sequences, and phylogenetic trees were constructed using the maximum likelihood method (MEGA X), and the reliability of the trees was evaluated by the bootstrap method with 1000 replications.
3. RESULTS
3.1. Identification and Prevalence Rate of HCV in HD Patients
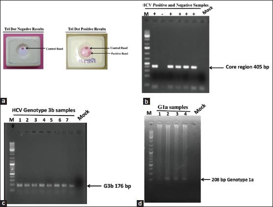
The first objective of the study was to evaluate the prevalence of HCV in dialysis patients through two different diagnostic methods such as Tri-dot (antibody) method and the PCR (molecular) method [Figure 1], a total of 410 patients agreed to participate in this study and serum samples were collected from all the regions of Andhra Pradesh, India. Samples were analyzed by the tri-dot method; out of 410 samples, 57 samples are positive, and the infection rate is 13.9%. At the same time, samples were analyzed by the PCR method, in which 87 positive samples were identified and the infection rate is 21.2%. The difference between an antibody and molecular method infection rate is about 7.3%, only 9 positive samples which are identified HCV positive by tri-dot but negative by PCR and the infection rate is 2.1%. In another hand, 39 PCR positive samples were identified, and the infection rate is 9.5%; however, these samples have shown false negative in the tri-dot method [Figure 1]. The cloned core region partial sequences obtained from HCV infection were deposited in GenBank with accession no MH174980, MH253323, MH374908, MH374909, MH374910, and MH374911.
3.2. Hepatitis C Prevalence in HD Patients: Comparative Study of Two Methods, that is, Tri-dot Method and PCR Method
As summarized in Table 2, a total of 410 HCV patients agreed for analysis in which 328 are males and 82 are females who have been under HD treatment for more than 2 years. In which, 13.4% were positive in tri-dot method, but the same samples were investigated by PCR method and the infection rate was 21.2%. Compared to male patients, females are more susceptible with 15.9% in tri-dot method, 22% in PCR method. Comparative analysis of HCV prevalence rate by antibody method and molecular methods along with enzymatic analysis, co-infection study, different hepatic symptoms, and prevalence rate were summarized in Table 2. We also studied co-infection of HCV and found jaundice (icterus) with 32.4% in tri-dot positive patients and 45.1% in RNA positive patients; cirrhosis with 24% in tri-dot positive patients and 64% in RNA positive patients; liver cancer with 0% in tri-dot patients and 66.7% in RNA positive patients; and hepatitis B surface antigens were also identified in HD patient with 25.6% in tri-dot positive patients and 39.5% in RNA positive patients. The incidence of HCV disease in rural and urban areas, is 12.1% in tri-dot positive patients and 22% in RNA positive patients are from rural areas, followed by urban with 16% in tri-dot positive patients and 20.3% RNA positive patients [Figure 2], is the results obtained from agarose gel electrophoresis of PCR products for the detection of HCV positive samples. Moreover, we have summarized the risk factors of HCV infected HD patients in Table 3 with prevalence ration.
![]() | Table 1: Details of PCR amplification universal, genotyping specific primers, and base pairs. [Click here to view] |
![]() | Figure 1: Exposure detection of hepatitis C virus in dialysis patients’ clinical samples by tri-dot (antibody) method and PCR (molecular) method (due to more antibodies). [Click here to view] |
3.3. Awareness of HCV and HIV Infection in HD Patients
For this study, 410 voluntarily enrolled HD patients were divided into four categories based on their education level and a set of questions that would help determine their awareness of HCV were asked. The questions were categorized into general knowledge about HCV, its transmission, vaccine availability, and treatment and the results were summarized in Figure 3. Surprisingly, most of the patients are unaware of the spread of the disease and co-infections. They are completely unaware of the major risk factors including the use of syringes and other precautionary measurements to avoid contamination. Sharing needles or other drug-injection equipment that increases the risk of contact with HIV or HCV infected blood. Most people have awareness of HIV and its transmission but very few have awareness of HCV and its transmission. Due to the lack of knowledge/awareness on HCV, more than 60% of patients were admitted to the hospital at the stage of liver cirrhosis. As per the collected information [Figure 3], there is very little awareness among people about this disease in both rural and urban areas as individuals often do not feel sick for many years. As illustrated in Figure 3, a large proportion of respondents are ignorant and do not have the awareness regarding the HCV transmission. Due to this, in most cases, hospitals and diagnostic centres have become a reason for HCV transmission.
![]() | Table 2: Comparison of HCV prevalence rate in antibody method and molecular methods along with enzymatic analysis, co‑infection study, different hepatic symptoms, and prevalence rate. [Click here to view] |
![]() | Figure 2: Represent hepatitis C virus (HCV) antibodies detect tri-dot method, one is negative results control band, second one is positive results control band and test result band. (b) Represents 1.5% agarose gel electrophoresis of PCR products for the detection of HCV positive samples, identification of HCV infected samples core region positive, and one negative sample 405 base pairs. M represents 1 kb plus DNA ladder (Fermentas, USA). (c) Represents HCV genotype 3b positive and one negative sample samples 176 base pairs, M represents 100 bp DNA ladder (Fermentas, USA). (d) Represents HCV genotype 1a positive and one negative sample samples 208 base pairs, M represents 100 bp DNA ladder (Fermentas, USA), collected from various dialysis centres in Andhra Pradesh. [Click here to view] |
![]() | Table 3: Summary of HCV risk factors associated with hemodialysis patients. [Click here to view] |
![]() | Figure 3: Awareness of hepatitis C virus and HIV in uneducated and various levels of educated dialysis patients (uneducated patients [UEP], patients with school level education [PSLE], patients with pre-university education [PULE], patients graduated and above [PGRAD]). [Click here to view] |
3.4. Phylogenetic Analysis
Molecular and phylogenetic studies have demonstrated that the evolution of HCV core region cloned in the present study showed maximum likelihood with other seven different types of genotyping sequences deposited in GenBank, NCBI, and all these sequences formed a separate clade with good branch support [Figure 4]. Sequences of HCV submitted genotype 3a and 3b into a different clade. Previous studies used neighbor joining method for phylogenetics of HCV which is used to cluster the sequences based on their relativity but in recent times, maximum likelihood and Bayesian approaches are found to be robust in phylogenetic analysis.
4. DISCUSSION
The results of the analysis showed that by the molecular method, RT-PCR, the prevalence of HCV is 21.2%; but the same samples were tested using the Tri-dot (antibody) method and the prevalence rate is 13.4%. Therefore, it is better than the other kit methods to recommend molecular methods for diagnosing the disease. As the procedures used during dialysis itself are one of the simplest modes of transmission by droplets, dialysis accidental blood spillage, infected equipment handling, it is advisable to educate HD patients to prevent contamination. Many developing countries, including India, are not following the proper sterilization methods during the HD process [14]. Another important contamination mode of HCV is surgery, where dialysis patients usually experienced a kind of surgery or kidney transplantation [15]. In our study, we found that blood transfusion was significantly associated with HCV and is one of the highest mode transmissions of infection. Our results also revealed that 3b is the most predominant genotype with 83.3%; whereas genotype 1a is with 16.6%, out of 87 tested HCV RNA positive samples.
![]() | Figure 4: Phylogenetic tree of 22 whole and partial hepatitis C virus (HCV) core region sequences, collected from the HCV database, (http://hcv.lanl.gov/content/sequence/NEWALIGN/align.html). Seven different types of genotypes and subgenotypes with our isolates MH174980, MH253323, MH374908, MH374909, MH374910, and MH374911, respectively. [Click here to view] |
In our study, we noticed that the prevalence rate of HCV during the HD period has increased dramatically. The prevalence rate of infection was categorized every 2 years and the prevalence rate over 2 years is 12.9%; the infection rate is 19.4% in the 3rd–4th year; the infection rate is 33.3% in patients in the 5th–6th year; the infection rate is 44.8% in the 7th–8th year; and the infection rate is 37.5% after 9 years. There are a lot of variations in the prevalence rate of detecting disease by kit methods and by molecular methods. In many incidences, kit methods are not successful in detecting the disease. The data indicate that women HCV RNA prevalence rate is slightly higher than men. The genotype identification of the virus is a very important diagnostic method for planning the treatment with drug combinations in a cost-effective manner as different genotypes act in a different manner [16]. Most of the Indian studies showed that the most prevalent HCV genotype is 3 but some south Indian studies also show that the high prevalent genotype 1 [17]. It is also observed that the highest prevalence of 3a/3b in the north and eastern region; whereas 1a/1b and equivalently distributed in the western and southern region; genotype 4 and are rare genotype in India [18]. Our studies revealed that the predominant genotype in Andhra Pradesh, India, is 3 and the sub-genotype is identified as 3b. In general, SGOT and SGPT levels are in normal range in HD patients, whereas in chronic renal disease patients and in HCV infected renal patients SGOT, SGPT enzyme levels are slightly increased [19]. Similarly, in this study, we observed the increased SGOT and SGPT levels in all the chronic HD-HCV patients and more levels of enzymes observed in HD-HCV patients with co-infections such as jaundice, liver cirrhosis, and liver cancer. Our studies clearly indicate the poor awareness of the HCV disease and the transmission which is very dangerous and spreads the disease rapidly. Surprisingly, even the dental students have no complete awareness of HCV; because the association of HCV with special oral conditions has also been reported recurrently to prevent the transmission of during the treatment of HCV infection [20,21]. Increase the awareness to create a more impact HCV is seen as a first step in the breaking of the cycle of diseases and their ripple effect on populations influenced [22]. Like HIV awareness programs, it is mandatory to educate people with more awareness of HCV. Our present results represent that most of the HCV infections are from the hospital and infected patients do not have a complete awareness of its transmission and precautionary measures to avoid contamination. As the HCV infection is 4 times higher than the HIV infection rate, it is very essential to provide awareness programs to the public. The clinical use of antiviral drugs could be driven by the HCV genotype [23], but now there are a few days of single drugs specifically targeted to the non-structural NS5B region, so that almost all types of genotypes can be affectively inhibited by a single drug, so that the method of genotyping detection is not used in the therapeutic guidelines but necessary for successful vaccine development.
5. CONCLUSION
HCV is a significant problem for patients undergoing HD treatment and this medical problem has never been studied in Andhra Pradesh, India. Therefore, this study investigated the HCV prevalence in 410 HD patients from Andhra Pradesh, Southern India, during the period 2015-17 and inspected different diagnostic methods. All HD patients, who are undergoing HD treatment for the last 2 and more years, were invited for a questionnaire discussion to collect data about their personal status and their awareness of HCV. Of the 410 HD patients, 57 were positive for HCV in the tri-dot detection method, but 87 were positive for HD in the molecular (PCR) detection method. In some incidences (9.5%) where tri-dot showed HCV negative, when diagnosed by molecular methods, they showed positive. In addition, 2.1% of HD patients were positive for tri-dot, but negative for molecular methods.
To conclude, hepatitis C genotype 3, which is more difficult to diagnose than other genotypes and more difficult to treat, is the most prevalent HCV genotype in this study. Antibody methods are not fully successful in detecting HCV-positive samples, especially in HD patients. Therefore, it is important to diagnose HD patients with sensitive HCV RNA detection through molecular methods. In addition, many HCV-infected HD patients are unaware of the health care system and more rules on bio-safety and intensive measures are needed to inform patients and prevent serious contamination.
6. AUTHORS’ CONTRIBUTIONS
NT and PHR carried out the experiments. NT and RR wrote the manuscript with support from MCD. MCD and RR supervised the project.
7. ETHICAL STATEMENT
This study is completely approved by the Institutional Ethics Committee (240/2015-30/10/2015) of Sri Venkateswara Medical College, Tirupati, India. The patient’s details and blood samples were collected with the patients’ consent.
8. ACKNOWLEDGMENTS
First author Naveen T is thankful to UGC, New Delhi, for their financial support under the scheme of Rajiv Gandhi National Fellowship.
9. CONFLICTS OF INTEREST
The authors have no conflicts of interest to disclose.
10. PUBLISHER’S NOTE
This journal remains neutral with regard to jurisdictional claims in published institutional affiliation.
REFERENCES
1. Simmonds P, Holmes EC, Cha TA, Chan SW, McOmish F, Irvine B, et al. Classification of hepatitis C virus into six major genotypes and a series of subtypes by phylogenetic analysis of the NS-5 region. J Gen Virol 1993;74 Pt 11:2391-9. CrossRef
2. Tatsunori N, Gillian MG, Grace ML, Masaya S, Masashi M. An updated analysis of hepatitis C virus genotypes and subtypes based on the complete coding region. Liver Int 2011;32:339-45. CrossRef
3. Simmonds P. Genetic diversity and evolution of hepatitis C virus 15 years on. J Gen Virol 2004;85 Pt 11:3173-88. CrossRef
4. Ohno O, Mizokami M, Wu RR, Saleh MG, Ohba K, Orito E, et al. New hepatitis C virus (HCV) genotyping system that allows for identification of HCV genotypes 1a, 1b, 2a, 2b, 3a, 3b, 4, 5a, and 6a. J Clin Microbiol 2007;35:201-7. CrossRef
5. Kumar T, Ahmad N, Hayat MK, Gao BX, Faisal S, Ilahi N, et al. Prevalence and genotypic distribution of hepatitis C virus in peshawar KPK, Pakistan. Hayati J Biosci 2017;24:22-5. CrossRef
6. Yuan G, Liu J, Hu C, Huang H, Qi M, Wu T, et al. Genotype distribution and molecular epidemiology of Hepatitis C virus in Guangzhou, China: Predominance of genotype 1b and increasing incidence of genotype 6a. Cell Physiol Biochem 2017;43:775-87. CrossRef
7. Jülicher P, Galli C. Identifying cost-effective screening algorithms for active hepatitis C virus infections in a high prevalence setting. J Med Econ 2018;21:1-10. CrossRef
8. Alter MJ. HCV routes of transmission: what goes around comes around. Semin Liver Dis 2011;31:340-6. CrossRef
9. Scott N, Wilson DP, Thompson AJ, Barnes E, El-Sayed M, Benzaken AS, et al. The case for a universal hepatitis C vaccine to achieve hepatitis C elimination. BMC Med 2019;17:175.
10. Barik G, Acharya S, SenGupta M, Sadhukhan PC, Aich I, Chakraborty A. Comparison of HCV TRI-DOT with RNA PCR for Confirmation of ELISA Positive Results and Evaluation of a Combination of ELISA and HCV TRI-DOT Assay for Diagnosis of HCV Infection; 2019.
11. Arora D, Jindal D, Dang R, Kumar R. Rising sero-prevalance of HCV a silent killer-emerging problem. Int J Pharm Pharm Sci 2011;3:57-9.
12. Ravinder G, Simmi A, Sarabjot K, Parveen B, Aril B. Awareness and attitude appraisal toward Hepatitis-C among North West population of India-a cross sectional study. Br J Med Med Res 2015;10:1-5. CrossRef
13. Edgar RC. MUSCLE: Multiple sequence alignment with high accuracy and high throughput. Nucleic Acids Res 2004;32:1792-7. CrossRef
14. Vidales-Braz BM, da Silva NM, Lobato R, Germano FN, da Mota LD, Barros EJ, et al. Detection of hepatitis C virus in patients with terminal renal disease undergoing dialysis in Southern Brazil: Prevalence, risk factors, genotypes, and viral load dynamics in hemodialysis patients. Virol J 2015;12:8. CrossRef
15. Baid-Agrawal S, Pascual M, Moradpour D, Somasundaram R, Muche M Hepatitis C virus infection and kidney transplantation in 2014: What’s new? Am J Transplant 2014;14:2206-20. CrossRef
16. Khaja MN, Madhavi C, Thippavazzula R, Nafeesa F, Habib AM, Habibullah CM, et al. High prevalence of hepatitis C virus infection and genotype distribution among general population, blood donors and risk groups. Infect Genet Evol 2006;6:198-204. CrossRef
17. Raghuraman S, Abraham P, Sridharan G, Ramakrishna BS. Hepatitis C virus genotype 6 infection in India. Indian J Gastroenterol 2005;24:72-3.
18. Hissar SS, Goyal A, Kumar M, Pandey C, Suneetha PV, Sood A, et al. Hepatitis C virus genotype 3 predominates in North and Central India and is associated with significant histopathologic liver disease. J Med Virol 2006;78:452-8. CrossRef
19. Narahari S, Juwle A, Basak S, Saranath D. Prevalence and geographic distribution of Hepatitis C Virus genotypes in Indian patient cohort. Infect Genet Evol 2009;9:643-5. CrossRef
20. Gupta V, Kumar A, Sharma P, Bansal N, Singla V, Arora A. Most patients of hepatitis C virus infection in India present late for interferon-based antiviral treatment: An epidemiological study of 777 patients from a North Indian tertiary care center. J Clin Exp Hepatol 2015;5:134-41. CrossRef
21. Gambhir RS, Kumar M, Singh G, Singh A, Kaur A. Hepatitis C: Knowledge and awareness of private dental practitioners of a tricity in India. J Educ Health Promot 2018;7:7. CrossRef
22. Naveen T, Naidu LT, Ramesh R, Devi MC. The hidden risk of health-care-associated hepatitis C virus infection: Scenarios, past, present, and future. In: Recent Developments in Applied Microbiology and Biochemistry. Cambridge: Academic Press; 2021. p. 35-45. CrossRef
23. Wendt A, Adhoute X, Castellani P, Oules V, Ansaldi C, Benali S, et al. Chronic hepatitis C: Future treatment. Clin Pharmacol 2014;6:1-17. CrossRef






