Research Article | Volume: 9, Issue: 1, Jan-Feb, 2021

Histopathological changes induced by ectoparasites on gills and skin of Oreochromis niloticus (Burchell 1822) in fish ponds

El-Amin Mohamed Suliman Hassan Ali Osman Waleed Abdul-Aziz Al-Deghayem   

Open Access   

Published:  Jan 17, 2021

DOI: 10.7324/JABB.2021.9109
Abstract

The aim of this study was to investigate the effect of ectoparasites on gills and skin of (Oreochromis niloticus). Fish and water samples were brought to the laboratory from a tilapia fish farm in Riyadh area of Saudi Arabia. A number of (120) fish specimen were equally collected for 1 year on monthly basis. Water samples were examined in the laboratory for physicochemical characteristics (1 L month). Gills and skin tissues were prepared for histopathology and light and scanning electron microscopy. Water characteristics revealed a substantial deterioration of water quality. Mean value ± standard deviation shows low oxygen (2.18 ± 0.08–2.85 ± 0.14 mg/l), high ammonia-N (2.01 ± 0.45–2.92 ± 0.66 mg/l), and high nitrite-N. (0.82 ± 0.49–1.61 ± 0.66 mg/l). Ectoparasites including Trichodina, Monogenea, and Ambiphyra were observed on the infected tissues. Histopathological investigations showed severe gill alterations such as blood congestion, blood hemorrhage, a fusion of secondary lamella, and epithelial lifting. Gill erosion and mucus secretions were also reported on some fishes. The severity of the infection has worsened fish health and lead to death of many individuals. The histopathological changes induced by ectoparasites on fish gills and skin could be used to determine the severity of ectoparasite infection to take measures for better fish farm management and to produce healthy fish for human consumption.


Keyword:     Oreochromis niloticus Ectoparasites Histopathology Saudi Arabia.


Citation:

Suliman EM, Osman HA, Al-Deghayem WA. Histopathological changes induced by ectoparasites on gills and skin of Oreochromis niloticus (Burchell 1822) in fish ponds. J App Biol Biotech. 2021;9(1):68-74. DOI: 10.7324/JABB.2021.9109

Copyright: Author(s). This is an Open Access article distributed under the terms of the Creative Commons Attribution-NonCommercial-ShareAlike license.

HTML Full Text

1. INTRODUCTION

The gill is a system for bringing the blood hemoglobin into close contact with the water so that oxygen can be absorbed and carbon dioxide released [1]. The gills are delicate structures of the teleost fish. The external location of the gills and their direct contact with the water makes them liable to damage. The infected gills of tilapia is pale and covered with excessive mucus and marbling appearance of gill leaflets [2], ectoparasite infested tilapia show signs of emaciation, weakness, sluggish movements, sloughing of scales, and fading of the color [3,4].

El-Khatib [5] mentioned that the fish infested with Trichodina showed pale skin with slime and several spots of blood spread on the fish body, particularly at the fin base. The clinical examinations of the infested Tilapia skin with Trichodina sp. show an increase of mucus secretions with an overall dark gray, slimy, patchy, or mottled gray appearance [6]. Moribund fish appear uncoordinated swimming, emaciated, and abrades the skin. Heavily infested fish shows a grayish-blue coat of mucus, peeled epithelia, and frayed fins. Noga [7] found that the clinical examination of heavily infested fish with Trichodina sp. seemed to be anorexic, weakened condition, and usually involve low-level mortality.

Various parasite species attack the gills and skin of fish. Trichodina and Monogenea are lethal parasites in aquaculture. The reactions of the fish to these parasites include pale gill filaments or a few white spots. In serious conditions, the fish may exhibit a considerable decaying, pale colorations, a number of white spots, and severe secretion of mucus [8].

Occupation of the gills by parasites may cause proliferative alterations on the cells, a fusion of gill lamellar, gill hypertrophy, the formation of inter-lamellar sacs and edema [9-13], which is known as detectable white spots, or injuries of white mucoid on the surface of the gills [12].

Both marine and freshwater fishes are commonly infected with monogeneans on gills and skin. Monogenean parasites graze on the outer surface of the gills and skin, cause opacity of the skin or red spots resulting from the production of excessive mucus [14]. Infected fish with monogenean parasites shows epithelial hyperplasia or hemorrhage on the fish skin area [15]. Histopathological changes to fish epithelium take place due to the attachment or nourishing of monogenean parasites [16], hyperplasia with dermatitis is also common changes of the epithelium [17].

Epidermal superficial lesions may occur as a result of the attachment of the Gyrodactylus sp. on fish skin. The attachment and feeding of this parasite on fish epidermis cause the production of excessive mucus [17].

Fish skin is attacked by Dactylogyrus sp., while the gills are attacked by both Gyrodactylus sp. and Gyrodactylus sp. These parasites affect fish movement and cause blood spots on their body as well as falling fins [18].

Gill area of the fish is mostly infected by monogenean parasites. Merging of the gill secondary lamellae as a result of the attachment of monogenean opisthaptor causes epithelial proliferation of the tissues [16]. Infected individuals with monogenean parasites show fusion and disruption of secondary lamellae as well as inflammation and erosion of the epithelium of gill lamellae. This parasite reduces chloride cell number, which represents ion absorption and secretion site [19].

Kabata and Lester [15,20] studied the effects of Gyrodactylus on different pathological conditions in tropical fish such as epidermal hyperplasia, extensive mucus secretion, localize petechial lesions, skin, and scale sloughing may also occur. The attachment organs such as anchors and hooks create holes in the fish epidermis and enzymatic digestion that causes ulcers [21]. Secondary bacterial and fungal infections of the fish epidermis may also intensify the damage of Gyrodactylus pathogenicity [22].

Heavily infected fish with ectoparasites may suffer from gill lesions and skin injury. Bacteria and fungus may invade the damaged tissue parts and play a significant role in fish pathogenicity. Infested fish become sluggish, emaciated, moribund, and finally died. Histopathological changes induced by ectoparasites on O. niloticus gills and skin indicates the severity of Trichodina and Monogenea infestation on the farmed Nile tilapia.3.


2. MATERIALS AND METHODS

2.1. Fish Collection and Water Quality Analysis

One hundred twenty specimens of O. niloticus were brought to the lab of King Saud University laboratory from a freshwater fish farm in the Riyadh area of Saudi Arabia monthly in all months of the year. Water samples were collected simultaneously with fish samples from the ponds of the fish farm. Dissolved oxygen was measured by a digital oxygen meter (HANNA-HI9142). Water temperature was determined by using a mercury thermometer of (0.1°C) accuracy. The salinity of the water was measured by a refractometer (M300, Hanna, USA) in (PPT). The pH of the water was quantified by a pH meter (HANNA-HI98107). Electrical conductivity (EC) was studied by a digital conductivity meter (AD-31: EC/TDF). Nitrite–nitrogen and ammonia–nitrogen were analyzed in the laboratory using DR2010 spectrophotometer. The outcomes of water analysis were indicated as mg/liter except for temperature and conductivity they were quantified as (°C) and millisiemens (mS/cm), respectively.

2.2. Fish Examination for Ectoparasites

Fish investigation for ectoparasites was done following the modified methodology of [15]. Scarifying the fish was done by striking the head, and instantly, skin scrapes (smears) and gills were prepared in wet mounts and seen under a low-power microscope for the analysis of the ectoparasites. Samples of the wet mount were made from each specimen to measure the intensity of Monogenea and Trichodina parasites.

2.3. Histopathological Analysis

The gills of some of the infected fish were used to study the histopathological effect of the Trichodina and Monogenea with a light microscope (LM). Gills were fixed in neutral buffered formalin solution (10%). Sections of paraffin (5-m thick) were made and stained with hematoxylin-eosin (H & E), according to Roberts [23]. Prepared mounts were observed under the microscope. Histopathological images were captured using the software Motic Images Plus 2.0-Camera and a binocular microscope.

2.4. Scanning Electron Microscope (SEM)

Tissues of infected gills and skins were fixed with 2.5% glutaraldehyde, then fixed in 1% osmium tetroxide; next, the tissues were dehydrated with ethanol of different concentrations and critical point dried. The resulted material was mounted on aluminum stubs, sputter-coated with gold, and examined using the JSM-6380 LA SEM at 0.3–30 kV (55 steps) accelerating voltage.

2.5. Statistical Analysis

Statistical analysis was achieved by the analysis of variance (ANOVA) one factor without replications, according to Sokal and Rohlf [24], to compare the seasonal variation of Monogenea and Trichodina occurrence on gills and skin of Oreochromis niloticus of the studied fish farm. The results were considered significant at 5%.


3. RESULTS AND DISCUSSION

3.1. Water Quality

Table 1 shows the results of the water quality of the studied fish farm. Mean ± standard deviation are calculated for water quality parameters. Oxygen concentration is always below 3 mg/l (2.18 ± 0.08–2.85 ± 0.14 mg/l). Water temperature varies between 18.5 ± 0.27 and 32.3 ± 1.83oC. PH of the water is given between 5.2 ± 0.2 and 7.1 ± 0.9 (tends toward the acidic side). Ammonia-N is found to be between 2.01 ± 0.45 and 2.92 ± 0.66 mg/l. Nitrite-N fluctuates between 0.82 ± 0.49 and 1.61 ± 0.66 mg/l. Nitrate-N varies from 3.41 ± 0.63 to 4.57 ± 0.47 mg/l. Salinity is shown to be between 3.87 ± 0.35 and 4.87 ± 0.33 ppt. Water conductivity is recorded between 239 ± 11.8 and 276.2 ± 10.3 mS/m.

Table 1: Water quality of the studied fish farm.

ParametersAutumn (x? ±sd)Winter (x? ±sd)Spring (x? ±sd)Summer (x? ±sd)
Dissolved oxygen (mg/l)2.7±0.222.85±0.142.18±0.082.59±0.16
Temperature (oC)26.0±0.8718.5±0.2727.6±0.9632.3±1.83
PH5.2±0.25.7±0.106.8±0.27.1±0.9
Ammonia-N (mg/l)2.01±0.452.92±0.662.41±0.342.47±0.73
Nitrite-N (mg/l)1.5±0.560.82±0.491.41±0.571.61±0.66
Nitrate-N (mg/l)4.5±0.454.42±0.653.41±0.634.57±0.47
Salinity (ppt)4.78±0.333.87±0.354.12±0.654.29±0.43
Conductivity (mS/m)256.0±12.5276.2±10.3254±9.7239±11.8

x?: Average, sd: Standard deviation, oC: Degree Celsius, mg/l: Milligram per liter, ppt: Part per thousand, mS/m: Millisiemens per meter.

Several water characteristics have the potential to have negative effects on the health of tilapia on the fish farm. Oxygen level is always <3 mg/l which is below the requirement of tilapia. Tran-Duy et al. [25] reported that Nile tilapia (O. niloticus) of 37 and 190 g average weight at dissolved oxygen between 2.8 mg/l and 3.2 mg/l showed a reduction in feed intake and fish growth. Wurts [26] stated that unionized ammonia increases with the increase of water pH and reduces with its reduction. He also found that high water temperature combined with the increase of the pH will increase the unionized ammonia production. The summer temperature in this study exceeds 32°C which increases unionized ammonia production, but the low pH (5.2 ± 0.2 and 7.1 ± 0.9), on the other hand, decreases its production rate to some extent. Ammonia-N was found to be as high as 2.92 ± 0.66 mg/l during winter and nitrite-N reaches 1.61 ± 0.66 mg/l in the summer. Ammonia-N and nitrite-N are the highest lethal metabolic waste products in fish ponds. Romano and Zeng [27] described that ammonia-N is much lethal to decapod crustaceans succeeded by nitrite-N and nitrate-N, which are less toxic.

Documentation of nitrite toxicity was reported by different authors, including Lewis and Morris and Jensen [28,29]. Acute toxicity of nitrite occurs at 0.2 mg/l in salmonids [30]. Studies of Puntius gonionotus fry showed that their growth rate was significantly lowered by nitrite concentration of 2 mg/l and 100% mortality occurred at the concentration of 4 mg/l at pH 5 after 48 h [31]. Yusoff et al. [32] reported that methemoglobin was formed when nitrite reacts with hemoglobin to affect the rate of oxygen-carrying capacity leading to hypoxia, cyanosis, stress, and eventually fish mortality by a disease known as brown blood syndrome. Hence, in this study, oxygen level, ammonia-N, and nitrite-N are the main responsible factors of health deterioration of O. niloticus, followed by a heavy infestation of ectoparasites such as Trichodina, Monogenea, and Ambiphyra to make it worth especially after the invasion of bacteria.

3.2. Occurrence of Trichodina and Monogenea on Tilapia Gills and Skin

Table 2 shows the prevalence, mean intensity, and mean abundance of Monogenea and Trichodina on tilapia gills. Monogenea data on O. niloticus gills revealed 81.67% mean prevalence, 495.23 mean intensity, and 405.84 mean abundance. Monogenean prevalence, mean intensity, and mean abundance on O. niloticus gills are significantly higher during the summer on tilapia gills with (P < 0.05), while Trichodina on tilapia gills occurs with 97.5% mean prevalence, 443.68 mean intensity, and 1790.83 mean abundance. Prevalence of Trichodina shows 100% occurrence in all seasons except the winter which is significantly lower with P < 0.05, mean intensity and mean abundance of gill Trichodina are significantly greater during the winter the Autumn, respectively, with P < 0.05.

Table 2: Occurrence of Monogenea and Trichodina on gills of Oreochromis niloticus of the studied fish farm

SeasonTrichodinaMonogenea
IF/EFNP %MIMAIF/EFNP %MIMA
Winter27/3055490**2051.85**1846.6724/309180379.17303.33
Spring30/305471001823.331823.3323/308976.67386.96296.67
Summer30/304831001610161030/30173**100**576.67**576.67**
Autumn30/30565**1001883.331883.33**21/3013470638.10446.67
Mean29.6/30537.2597.51842.131790.8324.5121.7581.67495.23405.84

N: Number of collected parasites, IF: Infected fish, EF: Examined fish, P: Prevalence, MI: Mean intensity, MA: Mean abundance,

** High significant difference (P<0.05)

Table 3 shows the prevalence, mean intensity, and mean abundance of Monogenea and Trichodina on tilapia skin. Monogenea data on O. niloticus skin present 66.67%, mean prevalence, 495.23 mean intensity 294.16, and mean abundance. The prevalence and mean abundance of Monogenea on tilapia skin are significantly higher during the summer (P < 0.05), while their mean intensity is higher during the autumn (P < 0.05). On the other hand, Trichodina on tilapia skin shows 97.5% mean prevalence, 1842.13 mean intensity, and 1790.83 as mean abundance, the prevalence of Trichodina on tilapia skin is found to be 100% in all seasons but significantly lower during the winter (P < 0.05) while mean intensity and mean abundance of Trichodina on tilapia skin are higher during the spring (P < 0.05).

Table 3: Occurrence of Monogenea and Trichodina on skin of Oreochromis niloticus of the studied fish farm.

SeasonTrichodinaMonogenea
IF/EFNP %MIMAIF/EFNP %MIMA
Winter27/301899070063019/307663.33400253.33
Spring30/303021001006.671006.6721/308970423.81296.66
Summer30/30268100893.33893.3323/3010176.67439.13336.66
Autumn30/3027010090090017/308756.67511.76290
Mean29.25/30257.2597.5875857.520/3088.2566.67443.68294.16

N: Number of collected parasites, IF: Infected fish, EF: Examined fish, P: Prevalence, MI: Mean intensity, MA: Mean abundance, **: High significant difference (P<0.01)

This study showed that the occurrence of Trichodina and Monogenea on gills and skin in the fish farm was found to be throughout the year with some effects of seasonality on their prevalence, mean intensity, and mean abundance (P < 0.01). The same results reported by Hassan [33], he also stated some effects of seasonality on Trichodina prevalence in the eastern province of Saudi Arabia. Suliman and Al-Harbi [34] reported both Trichodina and Monogenea on fish ponds in all seasons, while Lizama et al. [35] and Jerônimo et al. [36] stated the presence of Monogenea throughout the year on farmed fish.

3.3. Histopathological Changes

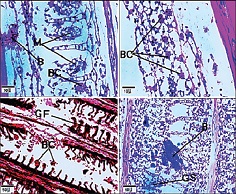
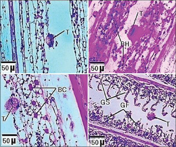
The results of this study revealed the histopathological effects on the gills of O. niloticus cultivated in freshwater fish ponds. Histopathological studies on the parasite-infected gills showed the occurrence of Trichodina and Monogenea in the gills with secondary lamellar damage, fusion, hemorrhage, blood congestion, and mucus secretion [Figures 1-3]. More severely affected gill tissue showed gill sloughing and epithelial lifting and secondary lamellar fusion.

Figure 1: Photomicrographs of Oreochromis niloticus gills infected with Trichodina. T=Trichodina, BH=Blood hemorrhage, BC=Blood congestion, GF=Gill fusion, and GS=Gill sloughing



[Click here to view]
Figure 2: Photomicrographs of the gill of Oreochromis niloticus infected with ectoparasites. B=Bleeding, BC=Blood congestion, GF=Gill lamella fusion and GS=Gill lamella sloughing, M=Mucus



[Click here to view]
Figure 3: Photomicrographs of the gill of Oreochromis niloticus infected with monogenean worms. M=Monogenea; BC=Blood congestion; GF=Gill lamella fusion and GE=Gill erosion; EL=Epithelial lifting; MU=Mucus



[Click here to view]

Degeneration of gill secondary lamellae displays erythrocytes in the attachment position of Trichodina and Monogenea. The continuous dislocation of gill epithelial cells results in gill filament destruction. The fish response was in the form of the extensive secretion of mucus and hyperplasia of gill epithelium [Figures 1-3].

Blood congestion, hemorrhage, a fusion of secondary lamellae, epithelial lifting, and gill erosion were seen on tilapia gills in this study. Ectoparasites such as Trichodina, Monogenea, and Ambiphrya have infested gills and skin of O. niloticus. Ectoparasite infections cause many problems to O. niloticus in fish farms, which varies from simple irritation to full mortality of the fish.

Roberts [37] stated that aquaculture in tropical and subtropical countries suffer greatly from the parasitic infestation of cultured fish due to direct or indirect economic losses.

In general, slight numbers of parasites on gills and skin of the fish do not induce serious problems on fish health, but large numbers, on the other hand, can cause more severe problems and eventually death of fish [8]. Grazing by Trichodina sp. on the epithelial layer of the gill surface and fish skin will cause hyperplasia (proliferation) of the epithelial cells, gill destruction, and filamentous merging. The capability of gills to keep ideal respiratory and execratory functions and the skin to perform optimal osmoregulation activities will be affected by ectoparasite infestation. A severe manifestation of ectoparasites can also lead to ulcerative skin lesions, which permit for secondary bacterial and fungal infection [38]. Trichodina sp. can cause considerable fish mortality in the aquaculture systems.

Monogeneans (Platyhelminthes) are external parasites of the fish. They firmly attach themselves to fish tissues by a posterior organ named opisthaptor with specialized attachment parts [39]. The larger the fluke body, the higher the number of clamps that could attach to the epithelium. The site of attachment causes lamellar clubbing, which could lead to disruption of the gill epithelium and blood vessels. When they disconnected from the filament, lamellar clubbing was even more obvious. The consequences of monogenean infestation on gill lamellae are the proliferation of epithelial tissues and secondary lamellae fusion. The resulting images of histopathological and SEM confirm manifestation of O. niloticus with Monogenea and Trichodina and their significant alterations on gills and skins of the farmed O. niloticus in this study.

3.4. SEM

The result of the SEM shows the Trichodina parasite at low magnification and high magnification [Figure 4a and b], respectively. The denticular ring is seen in both structures. The Trichodina is found to be 72.21 m in diameter and 26.12 m in width. SEM shows the whole body of the monogenean ectoparasite [Figure 5a]. The total length of the Monogenea is 534 m and its width is 64.7 m. The anchor which is used for attachment to fish tissues [Figure 5b] is found to be 53.6 m and the sucker on the head region [Figure 5c] is 0.345 m in diameter, and Figure 5d shows the anchor at a higher magnification.

Figure 4: Scanning electron micrograph of Trichodina collected from the skin Oreochromis niloticus showing the concave side and the denticular ring of Trichodinid sp. (a) low magnification; (b) high magnification



[Click here to view]
Figure 5: Scanning electron micrograph of Monogenea collected from the skin of Oreochromis niloticus showing: (a) Full size of the worm. (b) The anchors and marginal hooks. (c) The suckers (Su) at the head region. And (d) the anchors with higher magnification



[Click here to view]
Figure 6: Scanning electron micrograph showing general morphology of the Ambiphyra spp. on the skin of Oreochromis niloticus. (a) Low magnification; (b) high magnification



[Click here to view]
Figure 7: Oreochromis niloticus skin shows excessive secretion of mucus on fins



[Click here to view]

SEM of Ambiphrya in Figure 6a and b shows the parasite attached to the fin of O. niloticus with its broad scapula at low and high magnifications, respectively. The Ambiphrya is found to be 25.6 m in height and 13.8 m in width. SEM of fins of O. niloticus infected with ectoparasites showed unidentified materials and excessive mucus secretion on the fins [Figure 7a and b], respectively. Many dead fishes were seen floating on the ponds during water and fish sampling. Investigated fish were found to be emaciated, starved, lethargic, and sick.


4. CONCLUSION

It can be concluded that histopathological investigations showed severe ectoparasite infestation occurred on O. niloticus farmed in freshwater ponds with serious alterations on gill lamellae and skin epithelium. Water characteristic was found to be extremely deteriorated with low oxygen, high temperature in the summer, high ammonia-N, and nitrite-N. Fish health was negatively affected by poor water quality which leads to heavy infestation with ectoparasites such as Trichodina, Monogenea, and Ambiphrya. They infect the gills and skin of O. niloticus. Fish mortality occurs as a result of parasitic infestation and poor water quality of the ponds. Although ectoparasites occur in all seasons, the severity of infection occurs during the summer as a result of low oxygen, which is always below 3 mg/l, high ammonia-N, equal to (1.61 ± 0.66 mg/l), and high nitrite-N, equal to1.61 ± 0.66 mg/l. Their effect increases during the summer with the increasing temperature.


5. AUTHOR CONTRIBUTIONS

All authors made substantial contributions to conception and design, acquisition of data, or analysis and interpretation of data; took part in drafting the article or revising it critically for important intellectual content; agreed to submit to the current journal; gave final approval of the version to be published; and agree to be accountable for all aspects of the work.


6. FUNDING

There is no funding to report.


7. CONFLICTS OF INTEREST

The authors report no conflicts of interest in this work.

REFERENCES

1. Yasutake WT, Wales JH. Microscopic Anatomy of Salmonids:An Atlas. Washington, DC:Fish Wild Ser US Department Interest Research Publication 159;1983.

2. El-Khatib NR. Some Studies on Ectoparasitic Infestation in Fresh Water Fishes, M.V. Thesis. Egypt:Cairo University;1989.

3. Alyain SA. Studies on Certain Internal Protozoa Infections of Egyptian Fresh Water Fish, Ph. D. Thesis. Egypt:Faculty of Veterinary Medicine, Cairo University;1990.

4. Mostafa M, Ibrahim MM, Easa M. The effect of seasonal variation on the development of parasitic gill diseases in Cichlid fish (tilapia species). Benha. Vet Med J 1991;2:1-15.

5. El-Khatib NR. Further Studies on Ectoparasitic Infestation in Fresh Water Fishes, Ph. D. Thesis. Egypt:Cairo University;1993.

6. Woo PT. Fish Diseases and Disorders. United Kingdom:CAB;1995.

7. Noga EJ. Fish Disease Diagnosis and Treatment. United States:Mosby-Yearbook, Inc., Watsworth Publishing Co.;1996.

8. Toksen E. Lernanthropus kroyeri van Benden, 1841 (Crustacea:Copepoda) infections of cultured sea bass (Dicentrarchus labrax L.). Bulletin of the Eur Union Fish Pathol 2007;27:49-53.

9. Adams MB, Nowak BF. Distribution and structure of lesions in the gills of Atlantic salmon, Salmo salar L., affected with amoebic gill disease. J Fish Dis 2001;24:535-42. [CrossRef]

10. Bennett SM, Bennett MB. Gilll pathology caused by infestations of adult and preadult dissonus manteri kabata (Copepoda:Dissonidae) on coral trout, Plectropomus leopardus (Lacepede), (Serranidae). J Fish Dis 2001;24:523-33. [CrossRef]

11. Adams MB, Nowak BF. Experimental amoebic gill disease (AGD) of Alantic salmon (Salmo salar L.):Further evidence for the primary pathogenic role of Neoparamoeba sp. JFD 2004;27:105-13. [CrossRef]

12. Taylor RS, Muller WJ, Cook MT, Kube PD, Elliott NG. Gill observations in Atlantic salmon (Salmo salar, L.) during repeated amoebic gill disease (AGD) field exposure and survival challenge. Aquaculture 2009;290:1-8. [CrossRef]

13. Arafa SZ, El-Naggar MM, El-Abbassy SA. Mode of attachment and histopathological effects of macrogyrodactylus clarii, a monogenean gill parasite of the catfish Clarias gariepinus, with a report on host response. Acta Parasitol 2009;54:103-12. [CrossRef]

14. Noga EJ. Fish Disease:Diagnosis and Treatment. 2nd ed. Iowa:Iowa State University Press;2010. [CrossRef]

15. Kabata Z. Parasites and Diseases of Fish Cultured in the Tropics. London, Philadelphia, PA:Taylor &Francis;1985.

16. Dezfuli BS, Giari L, Simoni E, Menegatti R, Shinn AP, Manera M. Gill histopathology of cultured European sea bass, Dicentrarchus labrax (L.), infected with diplectanum aequans (Wagener 1857) Diesing 1958 (Diplectanidae:Monogenea). Parasitol Res 2007;100:707-13. [CrossRef]

17. Ferguson H. Systemic Pathology of Fish:A Text and Atlas of Comparative Tissue Responses in Diseases of Teleost. Ames:Iowa State University Press;1989.

18. Sharma M, Shrivastav AB, Sahni YP, Pandey G. Overviews of the treatment and control of common fish diseases. Int Res J Pharm 2012;3:123-7.

19. Pritchard JB. The gill and homeostasis:Transport under stress. Am J Physiol 2003;285:1269-71. [CrossRef]

20. Lester RJ. Attachment of Gyrodactylus to Gasterosteus and host response. J. Parasitol 1972;58:717-22. [CrossRef]

21. Mo TA. Status of Gyrodactylus salaris problems and research in Norway. In:Pike AW, Lewis JW, editors. Parasitic Diseases of Fish. Dyfed:Samara Publishing Ltd.;1994.

22. Collins CM, Mo TA, Buchmann K, Cunningham CO. Diagnosis of Gyrodactylus (Monogenea;Platyhelminthes) infecting Salmonid. In:Fish in Northern Europe. Fisheries Research Services Report No 07/02. Victoria, Aberdeen:Marine Laboratory;2002.

23. Roberts RJ. Fish Pathology. 2nd ed. Scotland:Institute of Aquaculture Bailliere Tindall London University of Stirling;1989.

24. Sokal RR, Rohlf FJ. Biometry:The Principles and Practice of Statistics in Biological Research. 3rd ed. New York:WH Freeman;1995.

25. Tran-Duy A, Schrama JW, van Dam AA, Verreth JA. Effects of oxygen concentration and body weight on maximum feed intake, growth and hematological parameters of Nile tilapia Oreochromis niloticus. Aquaculture 2008;275:152-62. [CrossRef]

26. Wurts W. Daily pH cycle and ammonia toxicity. World Aquac 2003;34:20-1.

27. Romano N, Zeng C. Toxic effects of ammonia, nitrite, and nitrate to decapod crustaceans:A review on factors influencing their toxicity, physiological consequences, and coping mechanisms. Rev Fish Sci 2013;21:1-21. [CrossRef]

28. Lewis WM, Morris DP. Toxicity of nitrite to ?sh:A review. Trans Am Fish Soc 1986;115:183-95. [CrossRef]

29. Jensen FB. Nitrite disrupts multiple physiological functions in aquatic animals. Comp Biochem Physiol Part A 2003;135:9-24. [CrossRef]

30. Haywood GP. Ammonia toxicity in teleost ?shes:A review. Can Tech Rep Fish Aquat Sci 1983;1177:1-35.

31. Yusoff FM, Law AT, Goh YJ, Subasinghe R. Effects of nitrite and pH on a tropical fish fry, Puntius gonionotus (Bleeker). Pertanika J Trop Agric Sci 1998;21:29-36.

32. Yusoff FM, Banerjee S, Khatoon H, Shariff M. Biological approaches in management of nitrogenous compounds in aquaculture systems. Dyn Biochem Proc Biotechnol Mol Biol 2011;5:21-31.

33. Hassan MA. Trichodiniasis in farmed freshwater tilapia in Eastern Saudi Arabia. J King Abdulaziz Univ 1999;10:157-68. [CrossRef]

34. Suliman EM, Al-Harbi AH. Prevalence and seasonal variation of ectoparasites in cultured Nile tilapia Oreochromis niloticus in Saudi Arabia. J Parasit Dis 2016;40:1487-93. [CrossRef]

35. Lizama ML, Takemoto RM, Ranzani-Paiva MJ, Ayroza LM, Pavanelli GC. Relação parasito-hospedeiro em peixes de pisciculturas da região de Assis, Estado de São Paulo, Brasil. 1. Oreochromis niloticus (Linnaeus, 1757). Acta Sci Biol Sci 2007;29:223-31. [CrossRef]

36. Jerônimo GT, Speck GM, Cechinel MM, Gonçalves EL, Martins ML. Seasonal variation on the ectoparasitic communities of Nile tilapia cultured in three regions in Southern Brazil. Braz J Biol 2011;71:365-73. [CrossRef]

37. Roberts RJ. Fish Pathology. London:Bailliere Tindall;1978.

38. Justine JL, Rahmouni C, Gey D, Schoelinck C, Hoberg EP. The monogenean which lost its clamps. PLoS One 2013;8:e79155. [CrossRef]

39. Lom J. Trichodinidae and other Ciliates (Phylum ciliophora). In:Woo PT, editor. Fish Diseases and Disorders:Protozoan and Metazoan Infections. Cambridge:CAB International;1995. 229-62.

Reference

1. Yasutake WT, Wales JH. Microscopic Anatomy of Salmonids: An Atlas. Washington, DC: Fish Wild Ser US Department Interest Research Publication 159; 1983.

2. El-Khatib NR. Some Studies on Ectoparasitic Infestation in Fresh Water Fishes, M.V. Thesis. Egypt: Cairo University; 1989.

3. Alyain SA. Studies on Certain Internal Protozoa Infections of Egyptian Fresh Water Fish, Ph. D. Thesis. Egypt: Faculty of Veterinary Medicine, Cairo University; 1990.

4. Mostafa M, Ibrahim MM, Easa M. The effect of seasonal variation on the development of parasitic gill diseases in Cichlid fish (tilapia species). Benha. Vet Med J 1991;2:1-15.

5. El-Khatib NR. Further Studies on Ectoparasitic Infestation in Fresh Water Fishes, Ph. D. Thesis. Egypt: Cairo University; 1993.

6. Woo PT. Fish Diseases and Disorders. United Kingdom: CAB; 1995.

7. Noga EJ. Fish Disease Diagnosis and Treatment. United States: Mosby-Yearbook, Inc., Watsworth Publishing Co.; 1996.

8. Toksen E. Lernanthropus kroyeri van Benden, 1841 (Crustacea: Copepoda) infections of cultured sea bass (Dicentrarchus labrax L.). Bulletin of the Eur Union Fish Pathol 2007;27:49-53.

9. Adams MB, Nowak BF. Distribution and structure of lesions in the gills of Atlantic salmon, Salmo salar L., affected with amoebic gill disease. J Fish Dis 2001;24:535-42. https://doi.org/10.1046/j.1365-2761.2001.00330.x

10. Bennett SM, Bennett MB. Gilll pathology caused by infestations of adult and preadult dissonus manteri kabata (Copepoda: Dissonidae) on coral trout, Plectropomus leopardus (Lacepede), (Serranidae). J Fish Dis 2001;24:523-33. https://doi.org/10.1046/j.1365-2761.2001.00321.x

11. Adams MB, Nowak BF. Experimental amoebic gill disease (AGD) of Alantic salmon (Salmo salar L.): Further evidence for the primary pathogenic role of Neoparamoeba sp. JFD 2004;27:105-13. https://doi.org/10.1111/j.1365-2761.2004.00522.x

12. Taylor RS, Muller WJ, Cook MT, Kube PD, Elliott NG. Gill observations in Atlantic salmon (Salmo salar, L.) during repeated amoebic gill disease (AGD) field exposure and survival challenge. Aquaculture 2009;290:1-8. https://doi.org/10.1016/j.aquaculture.2009.01.030

13. Arafa SZ, El-Naggar MM, El-Abbassy SA. Mode of attachment and histopathological effects of macrogyrodactylus clarii, a monogenean gill parasite of the catfish Clarias gariepinus, with a report on host response. Acta Parasitol 2009;54:103-12. https://doi.org/10.2478/s11686-009-0026-2

14. Noga EJ. Fish Disease: Diagnosis and Treatment. 2nd ed. Iowa: Iowa State University Press; 2010. https://doi.org/10.1002/9781118786758

15. Kabata Z. Parasites and Diseases of Fish Cultured in the Tropics. London, Philadelphia, PA: Taylor & Francis; 1985.

16. Dezfuli BS, Giari L, Simoni E, Menegatti R, Shinn AP, Manera M. Gill histopathology of cultured European sea bass, Dicentrarchus labrax (L.), infected with diplectanum aequans (Wagener 1857) Diesing 1958 (Diplectanidae: Monogenea). Parasitol Res 2007; 100:707-13. https://doi.org/10.1007/s00436-006-0343-4

17. Ferguson H. Systemic Pathology of Fish: A Text and Atlas of Comparative Tissue Responses in Diseases of Teleost. Ames: Iowa State University Press; 1989.

18. Sharma M, Shrivastav AB, Sahni YP, Pandey G. Overviews of the treatment and control of common fish diseases. Int Res J Pharm 2012;3:123-7.

19. Pritchard JB. The gill and homeostasis: Transport under stress. Am J Physiol 2003;285:1269-71. https://doi.org/10.1152/ajpregu.00516.2003

20. Lester RJ. Attachment of Gyrodactylus to Gasterosteus and host response. J. Parasitol 1972;58:717-22. https://doi.org/10.2307/3278299

21. Mo TA. Status of Gyrodactylus salaris problems and research in Norway. In: Pike AW, Lewis JW, editors. Parasitic Diseases of Fish. Dyfed: Samara Publishing Ltd.; 1994.

22. Collins CM, Mo TA, Buchmann K, Cunningham CO. Diagnosis of Gyrodactylus (Monogenea; Platyhelminthes) infecting Salmonid. In: Fish in Northern Europe. Fisheries Research Services Report No 07/02. Victoria, Aberdeen: Marine Laboratory; 2002.

23. Roberts RJ. Fish Pathology. 2nd ed. Scotland: Institute of Aquaculture Bailliere Tindall London University of Stirling; 1989.

24. Sokal RR, Rohlf FJ. Biometry: The Principles and Practice of Statistics in Biological Research. 3rd ed. New York: WH Freeman; 1995.

25. Tran-Duy A, Schrama JW, van Dam AA, Verreth JA. Effects of oxygen concentration and body weight on maximum feed intake, growth and hematological parameters of Nile tilapia Oreochromis niloticus. Aquaculture 2008;275:152-62. https://doi.org/10.1016/j.aquaculture.2007.12.024

26. Wurts W. Daily pH cycle and ammonia toxicity. World Aquac 2003;34:20-1.

27. Romano N, Zeng C. Toxic effects of ammonia, nitrite, and nitrate to decapod crustaceans: A review on factors influencing their toxicity, physiological consequences, and coping mechanisms. Rev Fish Sci 2013;21:1-21. https://doi.org/10.1080/10641262.2012.753404

28. Lewis WM, Morris DP. Toxicity of nitrite to fish: A review. Trans Am Fish Soc 1986;115:183-95. https://doi.org/10.1577/1548-8659(1986)115<183:TONTF>2.0.CO;2

29. Jensen FB. Nitrite disrupts multiple physiological functions in aquatic animals. Comp Biochem Physiol Part A 2003;135:9-24. https://doi.org/10.1016/S1095-6433(02)00323-9

30. Haywood GP. Ammonia toxicity in teleost fishes: A review. Can Tech Rep Fish Aquat Sci 1983;1177:1-35.

31. Yusoff FM, Law AT, Goh YJ, Subasinghe R. Effects of nitrite and pH on a tropical fish fry, Puntius gonionotus (Bleeker). Pertanika J Trop Agric Sci 1998;21:29-36.

32. Yusoff FM, Banerjee S, Khatoon H, Shariff M. Biological approaches in management of nitrogenous compounds in aquaculture systems. Dyn Biochem Proc Biotechnol Mol Biol 2011;5:21-31.

33. Hassan MA. Trichodiniasis in farmed freshwater tilapia in Eastern Saudi Arabia. J King Abdulaziz Univ 1999;10:157-68. https://doi.org/10.4197/mar.10-1.11

34. Suliman EM, Al-Harbi AH. Prevalence and seasonal variation of ectoparasites in cultured Nile tilapia Oreochromis niloticus in Saudi Arabia. J Parasit Dis 2016;40:1487-93. https://doi.org/10.1007/s12639-015-0717-6

35. Lizama ML, Takemoto RM, Ranzani-Paiva MJ, Ayroza LM, Pavanelli GC. Relação parasito-hospedeiro em peixes de pisciculturas da região de Assis, Estado de São Paulo, Brasil. 1. Oreochromis niloticus (Linnaeus, 1757). Acta Sci Biol Sci 2007;29:223-31. https://doi.org/10.4025/actascibiolsci.v29i2.594

36. Jerônimo GT, Speck GM, Cechinel MM, Gonçalves EL, Martins ML. Seasonal variation on the ectoparasitic communities of Nile tilapia cultured in three regions in Southern Brazil. Braz J Biol 2011;71:365-73. https://doi.org/10.1590/S1519-69842011000300005

37. Roberts RJ. Fish Pathology. London: Bailliere Tindall; 1978.

38. Justine JL, Rahmouni C, Gey D, Schoelinck C, Hoberg EP. The monogenean which lost its clamps. PLoS One 2013;8:e79155. https://doi.org/10.1371/journal.pone.0079155

39. Lom J. Trichodinidae and other Ciliates (Phylum ciliophora). In: Woo PT, editor. Fish Diseases and Disorders: Protozoan and Metazoan Infections. Cambridge: CAB International; 1995. p. 229-62.

Article Metrics
378 Views 294 Downloads 672 Total

Year

Month

Related Search

By author names